Skip to main content

CD163 Antibody (6D3.2F3) - Azide and BSA Free

Novus Biologicals, part of Bio-Techne | Catalog # NBP2-80632

Novus Biologicals, part of Bio-Techne
Catalog #
Availability
Size / Price
Qty
Loading...
NBP2-80632

Key Product Details

Species Reactivity

Human

Applications

Immunohistochemistry, Immunohistochemistry-Paraffin, Western Blot, Flow Cytometry, CyTOF-ready

Label

Unconjugated

Antibody Source

Monoclonal Mouse IgG2b Kappa Clone # 6D3.2F3

Format

Azide and BSA Free

Concentration

1 mg/ml

Product Specifications

Immunogen

A synthetic peptide made to the human CD163 protein sequence (between residues 200-400).

Reactivity Notes

Immunogen's sequence similarity with other species: Bovine (88%), Porcine (87%), Canine (87%), Rat (80%)

Localization

Cell Membrane

Clonality

Monoclonal

Host

Mouse

Isotype

IgG2b Kappa

Description

Novus Biologicals Mouse CD163 Antibody (6D3.2F3) - Azide and BSA Free (NBP2-36495) is a monoclonal antibody validated for use in IHC, WB and Flow. All Novus Biologicals antibodies are covered by our 100% guarantee.

Scientific Data Images for CD163 Antibody (6D3.2F3) - Azide and BSA Free

Western Blot: CD163 Antibody (6D3.2F3)Azide and BSA Free [NBP2-80632]

Western Blot: CD163 Antibody (6D3.2F3)Azide and BSA Free [NBP2-80632]

Western Blot: CD163 Antibody (6D3.2F3) - Azide and BSA Free [NBP2-80632] - Analysis of (A) partial recombinant 15 kDa human CD163 protein and (B) human lungs lysate with 2 ug/ml concentration of CD163 antibody clone 6D3.2F3 Image from the standard format of this antibody.
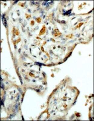
Immunohistochemistry: CD163 Antibody (6D3.2F3) - Azide and BSA Free [NBP2-80632]

Immunohistochemistry: CD163 Antibody (6D3.2F3) - Azide and BSA Free [NBP2-80632]

Immunohistochemistry: CD163 Antibody (6D3.2F3) - Azide and BSA Free [NBP2-80632] - Analysis of FFPE tissue section of human placenta using 1:200 dilution of CD163 antibody (clone 6D3.2F3). CD163 is a histiocytic marker and in the tested placental tissue section, this antibody generated a specific staining in the Hofbauer cells which are
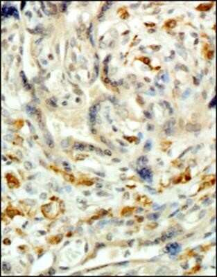
Immunohistochemistry-Paraffin: CD163 Antibody (6D3.2F3) - Azide and BSA Free [NBP2-80632]

Immunohistochemistry-Paraffin: CD163 Antibody (6D3.2F3) - Azide and BSA Free [NBP2-80632]

Immunohistochemistry-Paraffin: CD163 Antibody (6D3.2F3) - Azide and BSA Free [NBP2-80632] - Analysis of FFPE tissue section of human placenta using 1:200 dilution of CD163 antibody (clone 6D3.2F3). CD163 is a histiocytic marker and in the tested placental tissue section, this antibody generated a specific staining in the Hofbauer cells which are

Applications for CD163 Antibody (6D3.2F3) - Azide and BSA Free

Application
Recommended Usage

Immunohistochemistry

1:200 - 1:500

Immunohistochemistry-Paraffin

1:200 - 1:500

Western Blot

2 ug/ml
Application Notes
The unprocessed CD163 protein is 125.5 kDa which undergoes post translational modifications including cleavage and glycosylation, and in Western blot, the mature protein may run at a different than expected molecular weight position.

Formulation, Preparation, and Storage

Purification

Protein G purified

Formulation

PBS

Format

Azide and BSA Free

Preservative

No Preservative

Concentration

1 mg/ml

Shipping

The product is shipped with polar packs. Upon receipt, store it immediately at the temperature recommended below.

Stability & Storage

Store at 4C short term. Aliquot and store at -20C long term. Avoid freeze-thaw cycles.

Background: CD163

CD163 (Cluster of Differentiation 163), also known by several other names including M130, p155, RM3/1, Ki-M8, Ber-MAC3, SM4, and GHI/61, is a type I transmembrane glycoprotein that is a member of the scavenger receptor cysteine-rich (SRCR) super family class B (1-3). CD163 is expressed specifically on the monocyte/macrophage lineage and has a theoretical molecular weight of 130-160 kDa in reducing conditions and 110 kDa in non-reducing conditions (2 - 6). CD163 is synthesized as 1076 amino acid (aa) protein consisting of a large extracellular domain (ECD) with nine SRCR domains, proline-serine-threonine rich (PST) linker domain, a transmembrane segment, and a cytoplasmic tail which has varying lengths depending on the isoform due to alternative splicing, with the short 49 aa form being the most common (1-3, 6).

One of the primary functions of CD163 is uptake of haptoglobin-hemoglobin (Hp-Hb) complexes from the liver, spleen, and bone marrow, ultimately triggering an anti-inflammatory response (3, 5, 7). CD163 also functions as an erythroblast adhesion receptor and promotes cell maturation and survival (3, 5, 7). Furthermore, CD163 functions in immune sensing of bacteria and as a receptor for tumor necrosis factor (TNF)-like weak inducer of apoptosis (TWEAK) (3, 5, 7). As mentioned above, CD163 is expressed on cells in the monocyte/macrophage lineage and, in general, anti-inflammatory signals including glucocorticoids, interleukin (IL)-6, and IL-10 stimulate CD163 synthesis and expression while, conversely, pro-inflammatory signals such as interferon-gamma (INF-gamma), TNF-alpha, and lipopolysaccharide (LPS) downregulate CD163 (3, 5). In addition to membrane-bound form of CD163, the protein can be cleaved by metalloproteinases (MMP) and induced by LPS or phorbol myristate acetate (PMA) to release a soluble form (sCD163) into the plasma (7). Increased levels of sCD163 in the plasma and an increased number of CD163-expressing macrophages at the site of inflammation are associated with a variety of pathologies (3, 5-7). CD163/sCD163 is often increased and a suitable clinical marker for inflammatory diseases including rheumatoid arthritis (RA), Gaucher disease, chronic kidney disease, diabetes, and Crohn's disease (3, 5-7).

Alternative names for CD163 includes GHI/61, HbSR, Hemoglobin scavenger receptor, M130, macrophage-associated antigen, MM130, RM3/1, SCARI1, scavenger receptor cysteine-rich type 1 protein M130, sCD163, and soluble CD163.

References

1. Law, S. K., Micklem, K. J., Shaw, J. M., Zhang, X. P., Dong, Y., Willis, A. C., & Mason, D. Y. (1993). A new macrophage differentiation antigen which is a member of the scavenger receptor superfamily. European journal of immunology. https://doi.org/10.1002/eji.1830230940

2. Onofre, G., Kolackova, M., Jankovicova, K., & Krejsek, J. (2009). Scavenger receptor CD163 and its biological functions. Acta medica (Hradec Kralove).

3. Van Gorp, H., Delputte, P. L., & Nauwynck, H. J. (2010). Scavenger receptor CD163, a Jack-of-all-trades and potential target for cell-directed therapy. Molecular immunology. https://doi.org/10.1016/j.molimm.2010.02.008

4. Sulahian, T. H., Hogger, P., Wahner, A. E., Wardwell, K., Goulding, N. J., Sorg, C., Droste, A., Stehling, M., Wallace, P. K., Morganelli, P. M., & Guyre, P. M. (2000). Human monocytes express CD163, which is upregulated by IL-10 and identical to p155. Cytokine. https://doi.org/10.1006/cyto.2000.0720

5. Etzerodt, A., & Moestrup, S. K. (2013). CD163 and inflammation: biological, diagnostic, and therapeutic aspects. Antioxidants & redox signaling. https://doi.org/10.1089/ars.2012.4834

6. Skytthe, M. K., Graversen, J. H., & Moestrup, S. K. (2020). Targeting of CD163+ Macrophages in Inflammatory and Malignant Diseases. International journal of molecular sciences, 21(15), 5497. https://doi.org/10.3390/ijms21155497

7. Moller H. J. (2012). Soluble CD163. Scandinavian journal of clinical and laboratory investigation. https://doi.org/10.3109/00365513.2011.626868

Alternate Names

CD163, GHI/61, HbSR, M130, RM3/1

Gene Symbol

CD163

Additional CD163 Products

Product Documents for CD163 Antibody (6D3.2F3) - Azide and BSA Free

Certificate of Analysis

To download a Certificate of Analysis, please enter a lot number in the search box below.

Product Specific Notices for CD163 Antibody (6D3.2F3) - Azide and BSA Free

This product is for research use only and is not approved for use in humans or in clinical diagnosis. Primary Antibodies are guaranteed for 1 year from date of receipt.

Loading...
Loading...
Loading...
Loading...
Loading...