Skip to main content

CCL21/6Ckine Antibody - BSA Free

Novus Biologicals, part of Bio-Techne | Catalog # NBP2-37928

Novus Biologicals, part of Bio-Techne
Catalog #
Availability
Size / Price
Qty
Loading...
NBP2-37928
NBP2-37928-25ul

Key Product Details

Validated by

Orthogonal Validation

Species Reactivity

Validated:

Human

Cited:

Human

Applications

Validated:

Immunohistochemistry, Immunohistochemistry-Paraffin

Cited:

Immunohistochemistry-Paraffin, IF/IHC

Label

Unconjugated

Antibody Source

Polyclonal Rabbit IgG

Format

BSA Free

Concentration

Concentrations vary lot to lot. See vial label for concentration. If unlisted please contact technical services.

Product Specifications

Immunogen

This antibody was developed against a recombinant protein corresponding to amino acids: KELWVQQLMQHLDKTPSPQKPAQGCRKDRGASKTGKKGKGSKGCKRTERSQT

Clonality

Polyclonal

Host

Rabbit

Isotype

IgG

Description

Novus Biologicals Rabbit CCL21/6Ckine Antibody - BSA Free (NBP2-37928) is a polyclonal antibody validated for use in IHC. Anti-CCL21/6Ckine Antibody: Cited in 2 publications. All Novus Biologicals antibodies are covered by our 100% guarantee.

Scientific Data Images for CCL21/6Ckine Antibody - BSA Free

Immunohistochemistry-Paraffin: CCL21/6Ckine Antibody [NBP2-37928]

Immunohistochemistry-Paraffin: CCL21/6Ckine Antibody [NBP2-37928]

Immunohistochemistry-Paraffin: CCL21/6Ckine Antibody [NBP2-37928] - Staining in human lymph node and cerebral cortex tissues using anti-CCL21 antibody. Corresponding CCL21 RNA-seq data are presented for the same tissues.
Immunohistochemistry-Paraffin: CCL21/6Ckine Antibody [NBP2-37928]

Immunohistochemistry-Paraffin: CCL21/6Ckine Antibody [NBP2-37928]

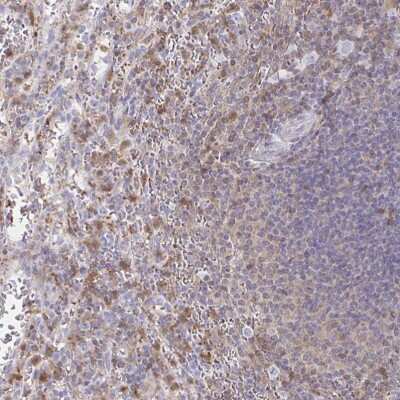
Immunohistochemistry-Paraffin: CCL21/6Ckine Antibody [NBP2-37928] - Staining of human spleen shows moderate cytoplasmic positivity in cells in red pulp.
Immunohistochemistry-Paraffin: CCL21/6Ckine Antibody [NBP2-37928]

Immunohistochemistry-Paraffin: CCL21/6Ckine Antibody [NBP2-37928]

Immunohistochemistry-Paraffin: CCL21/6Ckine Antibody [NBP2-37928] - Staining of human cerebral cortex shows low expression as expected.

Applications for CCL21/6Ckine Antibody - BSA Free

Application
Recommended Usage

Immunohistochemistry

1:500 -1:1000

Immunohistochemistry-Paraffin

1:500 - 1:1000
Application Notes
For IHC-Paraffin, HIER pH 6 retrieval is recommended.

Formulation, Preparation, and Storage

Purification

Immunogen affinity purified

Formulation

PBS (pH 7.2) and 40% Glycerol

Format

BSA Free

Preservative

0.02% Sodium Azide

Concentration

Concentrations vary lot to lot. See vial label for concentration. If unlisted please contact technical services.

Shipping

The product is shipped with polar packs. Upon receipt, store it immediately at the temperature recommended below.

Stability & Storage

Store at 4C short term. Aliquot and store at -20C long term. Avoid freeze-thaw cycles.

Background: CCL21/6Ckine

CCL21 is found on the p-arm of chromosome 9 with other CC cytokine genes. As part of the cytokine family of proteins, CCL21 is involved in immunoregulatory and inflammatory processes. CCL21 is also thought to have a role in mediating homing of lymphocytes to secondary lymphoid organs. This protein is known to have interactions with UBQLN4, VCAN, CCR7, CTSD and CCBP2.

Alternate Names

6Ckine, exodus-2, SCYA21, SLC, TCA-4

Gene Symbol

CCL21

UniProt

Additional CCL21/6Ckine Products

Product Documents for CCL21/6Ckine Antibody - BSA Free

Certificate of Analysis

To download a Certificate of Analysis, please enter a lot number in the search box below.

Product Specific Notices for CCL21/6Ckine Antibody - BSA Free

This product is for research use only and is not approved for use in humans or in clinical diagnosis. Primary Antibodies are guaranteed for 1 year from date of receipt.

Loading...
Loading...
Loading...
Loading...