Skip to main content

CCDC5 Antibody - BSA Free

Novus Biologicals, part of Bio-Techne | Catalog # NBP3-06419

Novus Biologicals, part of Bio-Techne
Catalog #
Availability
Size / Price
Qty
Loading...
NBP3-06419-100ul
NBP3-06419-50ul

Key Product Details

Species Reactivity

Human

Applications

Western Blot, Immunocytochemistry/ Immunofluorescence

Label

Unconjugated

Antibody Source

Polyclonal Rabbit IgG

Format

BSA Free

Concentration

Please see the vial label for concentration. If unlisted please contact technical services.

Product Specifications

Immunogen

Produced in rabbits immunized with E. coli-derived Human CCDC5 fragment.

Clonality

Polyclonal

Host

Rabbit

Isotype

IgG

Description

This antibody can be stored at 2C-8C for one month without detectable loss of activity. Antibody products are stable for twelve months from date of receipt when stored at -20C to -80C. Avoid repeated freeze-thaw cycles.

Scientific Data Images for CCDC5 Antibody - BSA Free

Western Blot: CCDC5 Antibody [NBP3-06419]

Western Blot: CCDC5 Antibody [NBP3-06419]

Western Blot: CCDC5 Antibody [NBP3-06419] - CCDC5 Antibody was immunoprecipitated using: Lane A:0.5 mg U937 Whole Cell Lysate. 4 uLCCDC5 Antibody and 60 ug of Immunomagnetic beads Protein A/G. Primary antibody: CCDC5 Antibody, at 1:100 dilution. Secondary antibody: Goat Anti-Rabbit IgG (H+L)/HRP at 1/10000 dilution. Developed using the ECL technique. Performed under reducing conditions. Observed band size :32 kDa
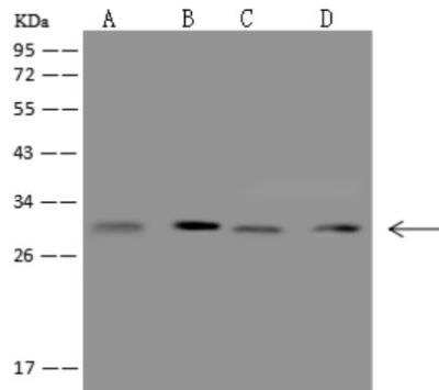
Western Blot: CCDC5 Antibody [NBP3-06419]

Western Blot: CCDC5 Antibody [NBP3-06419]

Western Blot: CCDC5 Antibody [NBP3-06419] - CCDC5 antibody at 1:500 dilution. Lane A: HL60 Whole Cell Lysate Lane B: U937 Whole Cell Lysate Lane C: MOLT4 Whole Cell Lysate Lane D: Daudi Whole Cell Lysate. Lysates/proteins at 30 ug per lane. Secondary: Goat Anti-Rabbit IgG (H+L)/HRP at 1/10000 dilution. Developed using the ECL technique. Performed under reducing conditions. Observed band size:32 kDa
CCDC5 Antibody - BSA Free

Immunocytochemistry/Immunofluorescence: CCDC5 Antibody [NBP3-06419] -

Immunocytochemistry/Immunofluorescence: CCDC5 Antibody [NBP3-06419] - Immunofluorescence staining of CCDC5 in U2OS cells. Cells were fixed with 4% PFA, permeabilzed with 0.1% Triton X-100 in PBS,blocked with 10% serum, and incubated with NBP3-06419 antibody (green) and counterstained with DAPI (blue).Positive staining was localized to Cytoplasm.

Applications for CCDC5 Antibody - BSA Free

Application
Recommended Usage

Immunocytochemistry/ Immunofluorescence

1:100-1:500

Western Blot

1:500-1:2000

Formulation, Preparation, and Storage

Purification

Antigen and protein A Affinity-purified

Formulation

PBS

Format

BSA Free

Preservative

0.03% Proclin 300

Concentration

Please see the vial label for concentration. If unlisted please contact technical services.

Shipping

The product is shipped with polar packs. Upon receipt, store it immediately at the temperature recommended below.

Stability & Storage

Store at 4C short term. Aliquot and store at -20C long term. Avoid freeze-thaw cycles.

Background: CCDC5

CCDC5 belongs to the HAUS1 family. More specifically, CCDC5 is a component of the HAUS augmen complex. Originally founded in Drosophila, the complex plays an important role in spindle assembly, maintenance of centrosome integrity and completion of cytokinesis.

Alternate Names

CCDC5Enhancer of invasion-cluster, coiled-coil domain containing 5 (spindle associated), FLJ40084, HAUS augmin-like complex subunit 1, HAUS augmin-like complex, subunit 1, HEI-CCoiled-coil domain-containing protein 5, HEICFLJ21094, HsT1461

Gene Symbol

HAUS1

Additional CCDC5 Products

Product Documents for CCDC5 Antibody - BSA Free

Certificate of Analysis

To download a Certificate of Analysis, please enter a lot number in the search box below.

Product Specific Notices for CCDC5 Antibody - BSA Free

This product is for research use only and is not approved for use in humans or in clinical diagnosis. Primary Antibodies are guaranteed for 1 year from date of receipt.

Loading...
Loading...
Loading...
Loading...