Skip to main content

CCDC5 Antibody - BSA Free

Novus Biologicals, part of Bio-Techne | Catalog # NBP1-88159

Novus Biologicals, part of Bio-Techne
Catalog #
Availability
Size / Price
Qty
Loading...
NBP1-88159
NBP1-88159-25ul

Key Product Details

Validated by

Independent Antibodies

Species Reactivity

Human

Applications

Immunohistochemistry, Immunohistochemistry-Paraffin, Western Blot, Immunocytochemistry/ Immunofluorescence

Label

Unconjugated

Antibody Source

Polyclonal Rabbit IgG

Format

BSA Free

Concentration

Concentrations vary lot to lot. See vial label for concentration. If unlisted please contact technical services.

Product Specifications

Immunogen

This antibody was developed against Recombinant Protein corresponding to amino acids: QEERETQVAAWLKKIFGDHPIPQYEVNPRTTEILHHLSERNRVRDRDVYLVIEDLKQKASEYESEAKYLQDLLMESVNFSPANLSSTGSRYLNALVD

Reactivity Notes

Immunogen displays the following percentage of sequence identity for non-tested species: Mouse (82%), Rat (85%)

Clonality

Polyclonal

Host

Rabbit

Isotype

IgG

Scientific Data Images for CCDC5 Antibody - BSA Free

Immunocytochemistry/ Immunofluorescence: CCDC5 Antibody [NBP1-88159]

Immunocytochemistry/ Immunofluorescence: CCDC5 Antibody [NBP1-88159]

Immunocytochemistry/Immunofluorescence: CCDC5 Antibody [NBP1-88159] - Staining of human cell line U-2 OS shows localization to cytosol & centrosome. Antibody staining is shown in green.
CCDC5 Antibody - BSA Free Immunohistochemistry-Paraffin: CCDC5 Antibody - BSA Free [NBP1-88159]

Immunohistochemistry-Paraffin: CCDC5 Antibody - BSA Free [NBP1-88159]

Staining of human small intestine shows strong cytoplasmic positivity in glandular cells.
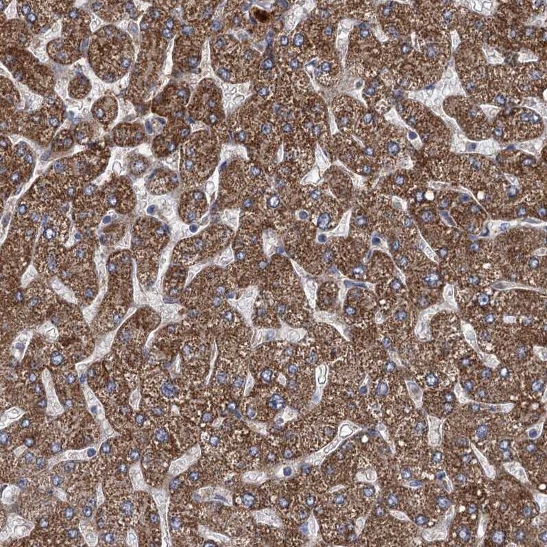
CCDC5 Antibody - BSA Free Immunohistochemistry-Paraffin: CCDC5 Antibody - BSA Free [NBP1-88159]

Immunohistochemistry-Paraffin: CCDC5 Antibody - BSA Free [NBP1-88159]

Staining of human liver shows strong cytoplasmic positivity in hepatocytes.

Applications for CCDC5 Antibody - BSA Free

Application
Recommended Usage

Immunocytochemistry/ Immunofluorescence

0.25-2 ug/ml

Immunohistochemistry

1:200 - 1:500

Immunohistochemistry-Paraffin

1:200 - 1:500

Western Blot

0.04-0.4 ug/ml
Application Notes
For IHC-Paraffin, HIER pH 6 retrieval is recommended. ICC/IF Fixation Permeabilization: Use PFA/Triton X-100.

Formulation, Preparation, and Storage

Purification

Affinity purified

Formulation

PBS (pH 7.2) and 40% Glycerol

Format

BSA Free

Preservative

0.02% Sodium Azide

Concentration

Concentrations vary lot to lot. See vial label for concentration. If unlisted please contact technical services.

Shipping

The product is shipped with polar packs. Upon receipt, store it immediately at the temperature recommended below.

Stability & Storage

Store at 4C short term. Aliquot and store at -20C long term. Avoid freeze-thaw cycles.

Background: CCDC5

CCDC5 belongs to the HAUS1 family. More specifically, CCDC5 is a component of the HAUS augmen complex. Originally founded in Drosophila, the complex plays an important role in spindle assembly, maintenance of centrosome integrity and completion of cytokinesis.

Alternate Names

CCDC5Enhancer of invasion-cluster, coiled-coil domain containing 5 (spindle associated), FLJ40084, HAUS augmin-like complex subunit 1, HAUS augmin-like complex, subunit 1, HEI-CCoiled-coil domain-containing protein 5, HEICFLJ21094, HsT1461

Gene Symbol

HAUS1

Additional CCDC5 Products

Product Documents for CCDC5 Antibody - BSA Free

Certificate of Analysis

To download a Certificate of Analysis, please enter a lot number in the search box below.

Product Specific Notices for CCDC5 Antibody - BSA Free

This product is for research use only and is not approved for use in humans or in clinical diagnosis. Primary Antibodies are guaranteed for 1 year from date of receipt.

Loading...
Loading...
Loading...
Loading...