Skip to main content

Carbohydrate Sulfotransferase 5/CHST5 Antibody - BSA Free

Novus Biologicals, part of Bio-Techne | Catalog # NBP1-91785

Novus Biologicals, part of Bio-Techne
Catalog #
Availability
Size / Price
Qty
Loading...
NBP1-91785
NBP1-91785-25ul

Key Product Details

Validated by

Orthogonal Validation

Species Reactivity

Validated:

Human

Cited:

Human

Applications

Validated:

Immunohistochemistry, Immunohistochemistry-Paraffin

Cited:

Immunocytochemistry/ Immunofluorescence

Label

Unconjugated

Antibody Source

Polyclonal Rabbit IgG

Format

BSA Free

Concentration

Concentrations vary lot to lot. See vial label for concentration. If unlisted please contact technical services.

Product Specifications

Immunogen

This antibody was developed against Recombinant Protein corresponding to amino acids: MGMRARVPKVAHSTRRPPAARMWLPRF

Clonality

Polyclonal

Host

Rabbit

Isotype

IgG

Description

Novus Biologicals Rabbit Carbohydrate Sulfotransferase 5/CHST5 Antibody - BSA Free (NBP1-91785) is a polyclonal antibody validated for use in IHC and ICC/IF. Anti-Carbohydrate Sulfotransferase 5/CHST5 Antibody: Cited in 1 publication. All Novus Biologicals antibodies are covered by our 100% guarantee.

Scientific Data Images for Carbohydrate Sulfotransferase 5/CHST5 Antibody - BSA Free

Immunohistochemistry-Paraffin: Carbohydrate Sulfotransferase 5/CHST5 Antibody [NBP1-91785]

Immunohistochemistry-Paraffin: Carbohydrate Sulfotransferase 5/CHST5 Antibody [NBP1-91785]

Immunohistochemistry-Paraffin: Carbohydrate Sulfotransferase 5/CHST5 Antibody [NBP1-91785] - Staining in human small intestine and liver tissues using anti-CHST5 antibody. Corresponding CHST5 RNA-seq data are presented for the same tissues.
Immunohistochemistry-Paraffin: Carbohydrate Sulfotransferase 5/CHST5 Antibody [NBP1-91785]

Immunohistochemistry-Paraffin: Carbohydrate Sulfotransferase 5/CHST5 Antibody [NBP1-91785]

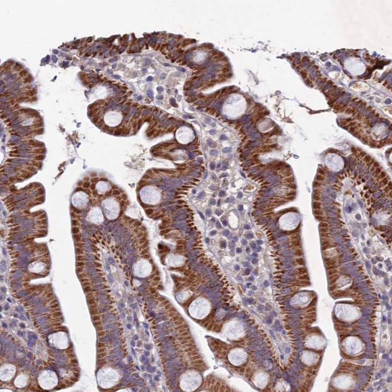
Immunohistochemistry-Paraffin: Carbohydrate Sulfotransferase 5/CHST5 Antibody [NBP1-91785] - Staining of human small intestine shows strong cytoplasmic positivity in glandular cells.
Immunohistochemistry-Paraffin: Carbohydrate Sulfotransferase 5/CHST5 Antibody [NBP1-91785]

Immunohistochemistry-Paraffin: Carbohydrate Sulfotransferase 5/CHST5 Antibody [NBP1-91785]

Immunohistochemistry-Paraffin: Carbohydrate Sulfotransferase 5/CHST5 Antibody [NBP1-91785] - Staining of human liver shows low expression as expected.

Applications for Carbohydrate Sulfotransferase 5/CHST5 Antibody - BSA Free

Application
Recommended Usage

Immunohistochemistry

1:20 - 1:50

Immunohistochemistry-Paraffin

1:20 - 1:50
Application Notes
For IHC-Paraffin, HIER pH 6 retrieval is recommended.

Formulation, Preparation, and Storage

Purification

Immunogen affinity purified

Formulation

PBS (pH 7.2) and 40% Glycerol

Format

BSA Free

Preservative

0.02% Sodium Azide

Concentration

Concentrations vary lot to lot. See vial label for concentration. If unlisted please contact technical services.

Shipping

The product is shipped with polar packs. Upon receipt, store it immediately at the temperature recommended below.

Stability & Storage

Store at 4C short term. Aliquot and store at -20C long term. Avoid freeze-thaw cycles.

Background: Carbohydrate Sulfotransferase 5/CHST5

CHST5 is a gene that codes for a protein with two isoforms, measuring 411 and 417 amino acids in length, with weights of approximately 46 and 47 kDa respectively. CHST5 functions as a sulfotransferase that does not transfer sulfate to longer carbohydrate structures nor does it have activity toward keratin. Current research is being done of several diseases and disorders related to this gene including corneal dystrophy, adenocarcinoma, esophagitis, cholesterol, immunodeficiency, and hepatitis. CHST5 has also been shown to have interactions with CHST1, KERA, LUM, ST#GAL3, and FMOD in pathways such as the metabolism, Maroteaux-Lamy syndrome, and Hunter syndrome pathways.

Alternate Names

CHST5, GlcNAc6ST3, GST4-alpha, hIGn6ST, I-GlcNAc6ST

Gene Symbol

CHST5

Additional Carbohydrate Sulfotransferase 5/CHST5 Products

Product Documents for Carbohydrate Sulfotransferase 5/CHST5 Antibody - BSA Free

Certificate of Analysis

To download a Certificate of Analysis, please enter a lot number in the search box below.

Product Specific Notices for Carbohydrate Sulfotransferase 5/CHST5 Antibody - BSA Free

This product is for research use only and is not approved for use in humans or in clinical diagnosis. Primary Antibodies are guaranteed for 1 year from date of receipt.

Loading...
Loading...
Loading...
Loading...