Skip to main content

Cannabinoid R2/CB2/CNR2 Antibody - BSA Free

Novus Biologicals, part of Bio-Techne | Catalog # NLS34

Novus Biologicals, part of Bio-Techne
Catalog #
Availability
Size / Price
Qty
Loading...
NLS34

Key Product Details

Species Reactivity

Validated:

Human, Canine, Monkey, Primate

Predicted:

Bat (90%), Equine (90%), Hamster (90%), Mouse (95%), Rat (95%). Backed by our 100% Guarantee.

Applications

Immunohistochemistry, Immunohistochemistry-Paraffin

Label

Unconjugated

Antibody Source

Polyclonal Rabbit IgG

Format

BSA Free

Concentration

1.0 mg/ml

Product Specifications

Immunogen

Synthetic 20 amino acid peptide from 3rd cytoplasmic domain of human Cannabinoid R2/CB2/CNR2.

Reactivity Notes

Predicted cross-reactivity based on sequence identity: Gorilla (100%), Gibbon (100%), Marmoset (100%), Rabbit (85%).

Specificity

Human Cannabinoid R2/CB2/CNR2. BLAST analysis of the peptide immunogen showed no homology with other human proteins, except CNR1 (60%).

Clonality

Polyclonal

Host

Rabbit

Isotype

IgG

Description

Novus Biologicals Rabbit Cannabinoid R2/CB2/CNR2 Antibody - BSA Free (NLS34) is a polyclonal antibody validated for use in IHC. All Novus Biologicals antibodies are covered by our 100% guarantee.

Scientific Data Images for Cannabinoid R2/CB2/CNR2 Antibody - BSA Free

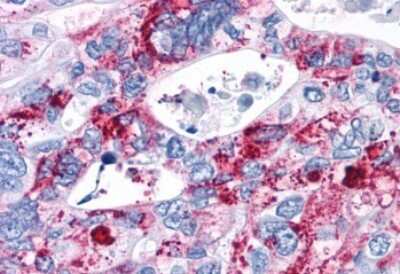
Immunohistochemistry-Paraffin: Cannabinoid R2/CB2/CNR2 Antibody [NLS34]

Immunohistochemistry-Paraffin: Cannabinoid R2/CB2/CNR2 Antibody [NLS34]

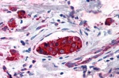
Immunohistochemistry-Paraffin: Cannabinoid R2/CB2/CNR2 Antibody [NLS34] - Anti-CNR2 / CB2 antibody IHC of human Skin, Melanoma. Immunohistochemistry of formalin-fixed, paraffin-embedded tissue after heat-induced antigen retrieval.
Immunohistochemistry-Paraffin: Cannabinoid R2/CB2/CNR2 Antibody [NLS34]

Immunohistochemistry-Paraffin: Cannabinoid R2/CB2/CNR2 Antibody [NLS34]

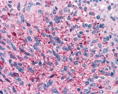
Immunohistochemistry-Paraffin: Cannabinoid R2/CB2/CNR2 Antibody [NLS34] - Analysis of anti-CNR2 / CB2 antibody with human brain, glioblastoma.
Immunohistochemistry-Paraffin: Cannabinoid R2/CB2/CNR2 Antibody [NLS34]

Immunohistochemistry-Paraffin: Cannabinoid R2/CB2/CNR2 Antibody [NLS34]

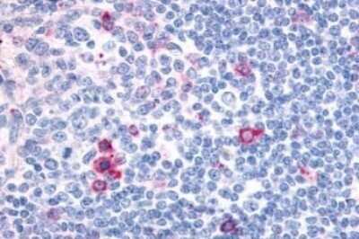
Immunohistochemistry-Paraffin: Cannabinoid R2/CB2/CNR2 Antibody [NLS34] - Anti-CNR2 / CB2 antibody IHC of human tonsil, germinal center and mantle zone. Immunohistochemistry of formalin-fixed, paraffin-embedded tissue after heat-induced antigen retrieval.

Applications for Cannabinoid R2/CB2/CNR2 Antibody - BSA Free

Application
Recommended Usage

Immunohistochemistry-Paraffin

13 - 26 ug/ml
Application Notes
.

Formulation, Preparation, and Storage

Purification

Immunogen affinity purified

Formulation

PBS

Format

BSA Free

Preservative

0.1% Sodium Azide

Concentration

1.0 mg/ml

Shipping

The product is shipped with polar packs. Upon receipt, store it immediately at the temperature recommended below.

Stability & Storage

Store at 4C short term. Aliquot and store at -20C long term. Avoid freeze-thaw cycles.

Background: Cannabinoid R2/CB2/CNR2

CB2 Cannabinoid receptors are present in the immune system and are associated with producing antinociception to external stimuli, such as temperature. Unlike CB(1) receptors, CB(2) receptors are expressed in the periphery, and not the central nervous system. CB2 has been reported in tissues of the immune system, including spleen and tonsil. In blood, CB2 is highest in B-cells, natural killer cells, monocytes, polymorphonuclear neutrophil cells, T8 cells, T4 cells (Giliegue et al., 1995). ESTs have been isolated from blood, lymph, placenta, and tonsil libraries.

Long Name

Cannabinoid Receptor 2

Alternate Names

CannabinoidR2, CB2R, CNR2, CX5

Entrez Gene IDs

1269 (Human)

Gene Symbol

CNR2

Additional Cannabinoid R2/CB2/CNR2 Products

Product Documents for Cannabinoid R2/CB2/CNR2 Antibody - BSA Free

Certificate of Analysis

To download a Certificate of Analysis, please enter a lot number in the search box below.

Product Specific Notices for Cannabinoid R2/CB2/CNR2 Antibody - BSA Free

This product is for research use only and is not approved for use in humans or in clinical diagnosis. Primary Antibodies are guaranteed for 1 year from date of receipt.

Loading...
Loading...
Loading...
Loading...