Skip to main content

Calponin 2 Antibody (OTI2B5) - Azide and BSA Free

Novus Biologicals, part of Bio-Techne | Catalog # NBP2-70421

Novus Biologicals, part of Bio-Techne

Key Product Details

Species Reactivity

Human, Mouse, Rat, Monkey

Applications

Immunohistochemistry, Immunohistochemistry-Paraffin, Western Blot, Immunocytochemistry/ Immunofluorescence

Label

Unconjugated

Antibody Source

Monoclonal Mouse IgG1 Clone # OTI2B5

Format

Azide and BSA Free

Concentration

LYOPH mg/ml

Product Specifications

Immunogen

Full length human recombinant protein of human CNN2(NP_004359) produced in HEK293T cell.

Reactivity Notes

Please note that this antibody is reactive to Mouse and derived from the same host, Mouse. Mouse-On-Mouse blocking reagent may be needed for IHC and ICC experiments to reduce high background signal. You can find these reagents under catalog numbers PK-2200-NB and MP-2400-NB. Please contact Technical Support if you have any questions.

Clonality

Monoclonal

Host

Mouse

Isotype

IgG1

Theoretical MW

33.5 kDa.
Disclaimer note: The observed molecular weight of the protein may vary from the listed predicted molecular weight due to post translational modifications, post translation cleavages, relative charges, and other experimental factors.

Description

Novus Biologicals Mouse Calponin 2 Antibody (OTI2B5) - Azide and BSA Free (NBP2-01325) is a monoclonal antibody validated for use in IHC, WB and ICC/IF. All Novus Biologicals antibodies are covered by our 100% guarantee.

Scientific Data Images for Calponin 2 Antibody (OTI2B5) - Azide and BSA Free

Western Blot: Calponin 2 Antibody (OTI2B5)Azide and BSA Free [NBP2-70421]

Western Blot: Calponin 2 Antibody (OTI2B5)Azide and BSA Free [NBP2-70421]

Western Blot: Calponin 2 Antibody (OTI2B5) - Azide and BSA Free [NBP2-70421] - HEK293T cells were transfected with the pCMV6-ENTRY control (Left lane) or pCMV6-ENTRY Calponin 2 (Right lane) cDNA for 48 hrs and lysed. Equivalent amounts of cell lysates (5 ug per lane) were separated by SDS-PAGE and immunoblotted with anti-Calponin 2.
Immunocytochemistry/ Immunofluorescence: Calponin 2 Antibody (OTI2B5) - Azide and BSA Free [NBP2-70421]

Immunocytochemistry/ Immunofluorescence: Calponin 2 Antibody (OTI2B5) - Azide and BSA Free [NBP2-70421]

Immunocytochemistry/Immunofluorescence: Calponin 2 Antibody (OTI2B5) - Azide and BSA Free [NBP2-70421] - Staining of COS7 cells transiently transfected by pCMV6-ENTRY Calponin 2.
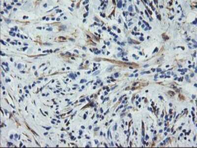
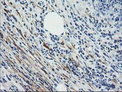
Immunohistochemistry: Calponin 2 Antibody (OTI2B5) - Azide and BSA Free [NBP2-70421]

Immunohistochemistry: Calponin 2 Antibody (OTI2B5) - Azide and BSA Free [NBP2-70421]

Immunohistochemistry: Calponin 2 Antibody (OTI2B5) - Azide and BSA Free [NBP2-70421] - Staining of paraffin-embedded Human lymphoma tissue using anti-Calponin 2 mouse monoclonal antibody.

Applications for Calponin 2 Antibody (OTI2B5) - Azide and BSA Free

Application
Recommended Usage

Immunocytochemistry/ Immunofluorescence

1:100

Immunohistochemistry

1:150

Western Blot

1:500-2000

Formulation, Preparation, and Storage

Purification

Immunogen affinity purified

Reconstitution

we recommend adding 100uL distilled water to a final antibody concentration of about 1 mg/mL. To use this carrier-free antibody for conjugation experiment, we strongly recommend performing another round of desalting process.

Formulation

Lyophilized from PBS (pH 7.3) with 8% Trehalose

Format

Azide and BSA Free

Preservative

No Preservative

Concentration

LYOPH mg/ml

Shipping

The product is shipped with polar packs. Upon receipt, store it immediately at the temperature recommended below.

Stability & Storage

Store at -20C. Avoid freeze-thaw cycles.

Background: Calponin 2

Calponin, a 34 kDa protein, regulates smooth muscle cell contraction and is a marker of smooth muscle cell differentiation. Calponin, an actin- and tropomyosin-binding protein, is characterized as an inhibitory factor of smooth-muscle actomyosin activity. Calponin is implicated in the regulation of smooth muscle contraction through its interaction with F-actin and inhibition of the actin-activated MgATPase activity of phosphorylated myosin.Both properties are lost following phosphorylation (primarily at serine 175) by protein kinase C or calmodulin-dependent protein kinase II. The three forms of Calponin, Calponin 1 (basic Calponin), Calponin 2 (neutral Calponin), and Calponin 3 (acidic Calponin) are found in smooth muscle tissue. Additionally, Calponin 2 is found in heart muscle tissue and Calponin 3 is found in the brain.

Alternate Names

calponin 2, Calponin H2, smooth muscle, calponin-2, Neutral calponin

Gene Symbol

CNN2

Additional Calponin 2 Products

Product Documents for Calponin 2 Antibody (OTI2B5) - Azide and BSA Free

Certificate of Analysis

To download a Certificate of Analysis, please enter a lot number in the search box below.

Product Specific Notices for Calponin 2 Antibody (OTI2B5) - Azide and BSA Free

This product is for research use only and is not approved for use in humans or in clinical diagnosis. Primary Antibodies are guaranteed for 1 year from date of receipt.

Loading...
Loading...
Loading...
Loading...
Loading...