Skip to main content

Calponin 2 Antibody (OTI2B5)

Novus Biologicals, part of Bio-Techne | Catalog # NBP2-01325

Novus Biologicals, part of Bio-Techne
Catalog #
Availability
Size / Price
Qty
Loading...
NBP2-01325

Key Product Details

Species Reactivity

Human, Mouse, Rat, Monkey

Applications

Validated:

Immunohistochemistry, Immunohistochemistry-Paraffin, Western Blot, Immunocytochemistry/ Immunofluorescence

Cited:

Western Blot

Label

Unconjugated

Antibody Source

Monoclonal Mouse IgG1 Clone # OTI2B5

Concentration

0.26 mg/ml

Product Specifications

Immunogen

Full length human recombinant protein of human CNN2(NP_004359) produced in HEK293T cell.

Reactivity Notes

Please note that this antibody is reactive to Mouse and derived from the same host, Mouse. Mouse-On-Mouse blocking reagent may be needed for IHC and ICC experiments to reduce high background signal. You can find these reagents under catalog numbers PK-2200-NB and MP-2400-NB. Please contact Technical Support if you have any questions.

Clonality

Monoclonal

Host

Mouse

Isotype

IgG1

Theoretical MW

33.5 kDa.
Disclaimer note: The observed molecular weight of the protein may vary from the listed predicted molecular weight due to post translational modifications, post translation cleavages, relative charges, and other experimental factors.

Description

Novus Biologicals Mouse Calponin 2 Antibody (OTI2B5) (NBP2-01325) is a monoclonal antibody validated for use in IHC, WB and ICC/IF. Anti-Calponin 2 Antibody: Cited in 1 publication. All Novus Biologicals antibodies are covered by our 100% guarantee.

Scientific Data Images for Calponin 2 Antibody (OTI2B5)

Western Blot: Calponin 2 Antibody (2B5) [NBP2-01325] Analysis of extracts (35ug) from 9 different cell lines by using anti-Calponin 2 monoclonal antibody.
Immunocytochemistry/ Immunofluorescence: Calponin 2 Antibody (OTI2B5) [NBP2-01325]

Immunocytochemistry/ Immunofluorescence: Calponin 2 Antibody (OTI2B5) [NBP2-01325]

Immunocytochemistry/Immunofluorescence: Calponin 2 Antibody (2B5) [NBP2-01325] - Staining of COS7 cells transiently transfected by pCMV6-ENTRY Calponin 2.
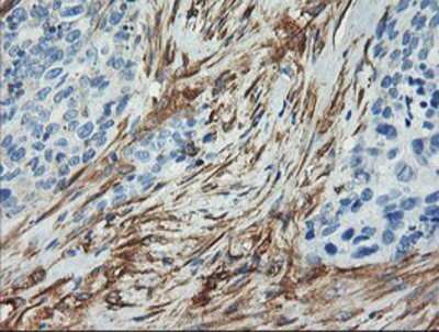
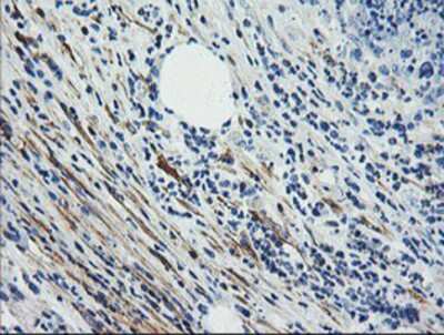
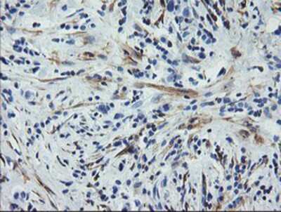
Immunohistochemistry-Paraffin: Calponin 2 Antibody (OTI2B5) [NBP2-01325]

Immunohistochemistry-Paraffin: Calponin 2 Antibody (OTI2B5) [NBP2-01325]

Immunohistochemistry-Paraffin: Calponin 2 Antibody (2B5) [NBP2-01325] - Staining of paraffin-embedded Human tonsil using anti-Calponin 2 mouse monoclonal antibody.

Applications for Calponin 2 Antibody (OTI2B5)

Application
Recommended Usage

Immunocytochemistry/ Immunofluorescence

1:100

Immunohistochemistry

1:150

Immunohistochemistry-Paraffin

1:150

Western Blot

1:500-2000

Formulation, Preparation, and Storage

Purification

Immunogen affinity purified

Formulation

PBS (pH 7.3), 1.0% BSA and 50% Glycerol

Preservative

0.02% Sodium Azide

Concentration

0.26 mg/ml

Shipping

The product is shipped with polar packs. Upon receipt, store it immediately at the temperature recommended below.

Stability & Storage

Store at -20C. Avoid freeze-thaw cycles.

Background: Calponin 2

The protein encoded by this gene, which can bind actin, calmodulin, troponin C, and tropomyosin, may function in the structural organization of actin filaments. The encoded protein could play a role in smooth muscle contraction and cell adhesion. Two transcript variants encoding different isoforms have been found for this gene. [provided by RefSeq].

Alternate Names

calponin 2, Calponin H2, smooth muscle, calponin-2, Neutral calponin

Entrez Gene IDs

1265 (Human)

Gene Symbol

CNN2

Additional Calponin 2 Products

Product Documents for Calponin 2 Antibody (OTI2B5)

Certificate of Analysis

To download a Certificate of Analysis, please enter a lot number in the search box below.

Product Specific Notices for Calponin 2 Antibody (OTI2B5)

This product is for research use only and is not approved for use in humans or in clinical diagnosis. Primary Antibodies are guaranteed for 1 year from date of receipt.

Loading...
Loading...
Loading...
Loading...