Skip to main content

Calcium Activated Nucleotidase 1/CANT1 Antibody - BSA Free

Novus Biologicals, part of Bio-Techne | Catalog # NBP1-87082

Novus Biologicals, part of Bio-Techne
Catalog #
Availability
Size / Price
Qty
Loading...
NBP1-87082
NBP1-87082-25ul

Key Product Details

Validated by

Orthogonal Validation, Independent Antibodies

Species Reactivity

Human

Applications

Immunohistochemistry, Immunohistochemistry-Paraffin

Label

Unconjugated

Antibody Source

Polyclonal Rabbit IgG

Format

BSA Free

Concentration

Concentrations vary lot to lot. See vial label for concentration. If unlisted please contact technical services.

Product Specifications

Immunogen

This antibody was developed against Recombinant Protein corresponding to amino acids: LLLSASPDFGDIAVSHVGAVVPTHGFSSFKFIPNTDDQIIVALKSEEDSGRVASYIMAFTLDGRFLLPETKIGSVK

Reactivity Notes

Immunogen displays the following percentage of sequence identity for non-tested species: Mouse (82%), Rat (86%)

Clonality

Polyclonal

Host

Rabbit

Isotype

IgG

Scientific Data Images for Calcium Activated Nucleotidase 1/CANT1 Antibody - BSA Free

Immunohistochemistry-Paraffin: Calcium Activated Nucleotidase 1/CANT1 Antibody [NBP1-87082]

Immunohistochemistry-Paraffin: Calcium Activated Nucleotidase 1/CANT1 Antibody [NBP1-87082]

Immunohistochemistry-Paraffin: Calcium Activated Nucleotidase 1/CANT1 Antibody [NBP1-87082] - Staining in human rectum and pancreas tissues using anti-CANT1 antibody. Corresponding CANT1 RNA-seq data are presented for the same tissues.
Immunohistochemistry-Paraffin: Calcium Activated Nucleotidase 1/CANT1 Antibody [NBP1-87082]

Immunohistochemistry-Paraffin: Calcium Activated Nucleotidase 1/CANT1 Antibody [NBP1-87082]

Immunohistochemistry-Paraffin: Calcium Activated Nucleotidase 1/CANT1 Antibody [NBP1-87082] - Staining of human cerebral cortex, pancreas, prostate and rectum using Anti-CANT1 antibody NBP1-87082 (A) shows similar protein distribution across tissues to independent antibody NBP1-87081 (B).
Immunohistochemistry-Paraffin: Calcium Activated Nucleotidase 1/CANT1 Antibody [NBP1-87082]

Immunohistochemistry-Paraffin: Calcium Activated Nucleotidase 1/CANT1 Antibody [NBP1-87082]

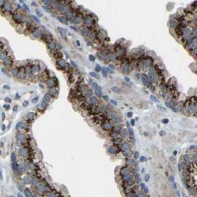
Immunohistochemistry-Paraffin: Calcium Activated Nucleotidase 1/CANT1 Antibody [NBP1-87082] - Staining of human prostate.

Applications for Calcium Activated Nucleotidase 1/CANT1 Antibody - BSA Free

Application
Recommended Usage

Immunohistochemistry

1:200 - 1:500

Immunohistochemistry-Paraffin

1:200 - 1:500
Application Notes
For IHC-Paraffin, HIER pH 6 retrieval is recommended.

Formulation, Preparation, and Storage

Purification

Affinity purified

Formulation

PBS (pH 7.2) and 40% Glycerol

Format

BSA Free

Preservative

0.02% Sodium Azide

Concentration

Concentrations vary lot to lot. See vial label for concentration. If unlisted please contact technical services.

Shipping

The product is shipped with polar packs. Upon receipt, store it immediately at the temperature recommended below.

Stability & Storage

Store at 4C short term. Aliquot and store at -20C long term. Avoid freeze-thaw cycles.

Background: Calcium Activated Nucleotidase 1/CANT1

Calcium-activated nucleotidase-1 (EC 3.6.1.6) is an extracellular protein that functions as a nucleotide tri- anddiphosphatase (Smith et al., 2002 (PubMed 12234496)).(supplied by OMIM)

Long Name

Soluble Calcium Activated Nucleotidase 1

Alternate Names

DBQD, SCAN1, SHAPY

Gene Symbol

CANT1

Additional Calcium Activated Nucleotidase 1/CANT1 Products

Product Documents for Calcium Activated Nucleotidase 1/CANT1 Antibody - BSA Free

Certificate of Analysis

To download a Certificate of Analysis, please enter a lot number in the search box below.

Product Specific Notices for Calcium Activated Nucleotidase 1/CANT1 Antibody - BSA Free

This product is for research use only and is not approved for use in humans or in clinical diagnosis. Primary Antibodies are guaranteed for 1 year from date of receipt.

Loading...
Loading...
Loading...
Loading...