Skip to main content

Bromodeoxyuridine/BrdU Antibody

R&D Systems, part of Bio-Techne | Catalog # MAB7225

R&D Systems, part of Bio-Techne
Catalog #
Availability
Size / Price
Qty
Loading...
MAB7225
MAB7225-SP

Key Product Details

Validated by

Biological Validation

Species Reactivity

Validated:

Multi-Species

Cited:

Human, Mouse, Transgenic Mouse

Applications

Validated:

Immunohistochemistry, Intracellular Staining by Flow Cytometry, Immunocytochemistry, CyTOF-ready

Cited:

Neutralization, Immunofluorescence, Immunocytochemistry, In vivo assay, CyTOF-reported

Label

Unconjugated

Antibody Source

Monoclonal Mouse IgG2A Clone # BU-1

Product Specifications

Immunogen

5-iodourindine (5-IO) coupled to ovalbumin

Specificity

Detects Bromodeoxyuridine/BrdU.

Clonality

Monoclonal

Host

Mouse

Isotype

IgG2A

Scientific Data Images for Bromodeoxyuridine/BrdU Antibody

Bromodeoxyuridine/BrdU antibody in MCF-7 Human Cell Line by Immunocytochemistry (ICC).

Bromodeoxyuridine/BrdU in MCF‑7 Human Cell Line.

Bromodeoxyuridine/BrdU was detected in immersion fixed MCF-7 human breast cancer cell line stimulated with BrdU using Mouse Anti-Bromodeoxyuridine/ BrdU Antigen Affinity-purified Monoclonal Antibody (Catalog # MAB7225) at 10 µg/mL for 3 hours at room temperature. Cells were stained using the NorthernLights™ 557-conjugated Anti-Mouse IgG Secondary Antibody (red; Catalog # NL007) and counterstained with DAPI (blue). Specific staining was localized to nuclei. View our protocol for Fluorescent ICC Staining of Cells on Coverslips.

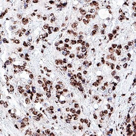
Bromodeoxyuridine/BrdU in Human Breast Cancer Tissue.

Bromodeoxyuridine/BrdU was detected in immersion fixed paraffin-embedded sections of human breast cancer tissue using Mouse Anti-Bromodeoxyuridine/BrdU Monoclonal Antibody (Catalog # MAB7225) at 1 µg/mL for 1 hour at room temperature followed by incubation with the Anti-Mouse IgG VisUCyte™ HRP Polymer Antibody (VC001). Before incubation with the primary antibody, tissue was subjected to heat-induced epitope retrieval using Antigen Retrieval Reagent-Basic (CTS013). Tissue was stained using DAB (brown) and counterstained with hematoxylin (blue). Specific staining was localized to cell nuclei. Staining was performed using our protocol for IHC Staining with VisUCyte HRP Polymer Detection Reagents.

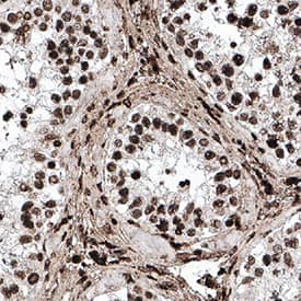
Bromodeoxyuridine/BrdU in Human Testis.

Bromodeoxyuridine/BrdU was detected in immersion fixed paraffin-embedded sections of human testis using Mouse Anti-Bromodeoxyuridine/BrdU Monoclonal Antibody (Catalog # MAB7225) at 1 µg/mL for 1 hour at room temperature followed by incubation with the Anti-Mouse IgG VisUCyte™ HRP Polymer Antibody (VC001). Before incubation with the primary antibody, tissue was subjected to heat-induced epitope retrieval using Antigen Retrieval Reagent-Basic (CTS013). Tissue was stained using DAB (brown) and counterstained with hematoxylin (blue). Specific staining was localized to cell nuclei. Staining was performed using our protocol for IHC Staining with VisUCyte HRP Polymer Detection Reagents.

Applications for Bromodeoxyuridine/BrdU Antibody

Application
Recommended Usage

CyTOF-ready

Ready to be labeled using established conjugation methods. No BSA or other carrier proteins that could interfere with conjugation.

Immunocytochemistry

8-25 µg/mL
Sample: Immersion fixed MCF‑7 human breast cancer cell line stimulated with BrdU

Immunohistochemistry

1-25 µg/mL
Sample: Immersion fixed paraffin-embedded sections of human breast cancer tissue and immersion fixed paraffin-embedded sections of human testis

Intracellular Staining by Flow Cytometry

0.25 µg/106 cells
Sample: Human peripheral blood mononuclear cells (PBMCs), treated with PMA, Ionomycin, and BrdU, were fixed with ethanol, DNA was denatured with HCl, and then cells were permeabilized with Flow Cytometry Permeabilization/Wash Buffer I (Catalog # FC005)

Reviewed Applications

Read 3 reviews rated 5 using MAB7225 in the following applications:

Formulation, Preparation, and Storage

Purification

Protein A or G purified from hybridoma culture supernatant

Reconstitution

Sterile PBS to a final concentration of 0.5 mg/mL. For liquid material, refer to CoA for concentration.

Reconstitution Buffer Available:
Size / Price
Qty
Loading...

Formulation

Lyophilized from a 0.2 μm filtered solution in PBS with Trehalose. *Small pack size (SP) is supplied either lyophilized or as a 0.2 µm filtered solution in PBS.

Shipping

Lyophilized product is shipped at ambient temperature. Liquid small pack size (-SP) is shipped with polar packs. Upon receipt, store immediately at the temperature recommended below.

Stability & Storage

Use a manual defrost freezer and avoid repeated freeze-thaw cycles.
  • 12 months from date of receipt, -20 to -70 °C as supplied.
  • 1 month, 2 to 8 °C under sterile conditions after reconstitution.
  • 6 months, -20 to -70 °C under sterile conditions after reconstitution.

Background: Bromodeoxyuridine/BrdU

Bromodeoxyuridine (BrdU) is a nucleoside analog that is incorporated into DNA in place of thymidine. The detection of newly synthesized DNA containing BrdU is a commonly used measure of cell proliferation and progression through S phase of the cell cycle.

Alternate Names

5-bromo-2-deoxyuridine, BrdU

Additional Bromodeoxyuridine/BrdU Products

Product Documents for Bromodeoxyuridine/BrdU Antibody

Certificate of Analysis

To download a Certificate of Analysis, please enter a lot number in the search box below.

Note: Certificate of Analysis not available for kit components.

Product Specific Notices for Bromodeoxyuridine/BrdU Antibody

For research use only

Loading...
Loading...
Loading...
Loading...
Loading...