Skip to main content

beta-1,4-Galactosyltransferase 1/B4GalT1 Antibody - BSA Free

Novus Biologicals, part of Bio-Techne | Catalog # NBP1-88654

Novus Biologicals, part of Bio-Techne
Catalog #
Availability
Size / Price
Qty
Loading...
NBP1-88654

Key Product Details

Validated by

Orthogonal Validation, Independent Antibodies

Species Reactivity

Human

Applications

Immunohistochemistry, Immunohistochemistry-Paraffin, Western Blot, Immunocytochemistry/ Immunofluorescence

Label

Unconjugated

Antibody Source

Polyclonal Rabbit IgG

Format

BSA Free

Concentration

Concentrations vary lot to lot. See vial label for concentration. If unlisted please contact technical services.

Product Specifications

Immunogen

This antibody was developed against Recombinant Protein corresponding to amino acids: LPQLVGVSTPLQGGSNSAAAIGQSSGELRTGGARPPPPLGASSQPRPGGDSSPVVDSGPGPASNLTSVPVPHTTALSLPACPEESPLLVGPMLIEFNMPVDLELVAKQNPNVKM

Reactivity Notes

Reactivity reported in scientific literature (PMID: 23511973).

Clonality

Polyclonal

Host

Rabbit

Isotype

IgG

Description

Novus Biologicals Rabbit beta-1,4-Galactosyltransferase 1/B4GalT1 Antibody - BSA Free (NBP1-88654) is a polyclonal antibody validated for use in IHC, WB and ICC/IF. Anti-beta-1,4-Galactosyltransferase 1/B4GalT1 Antibody: Cited in 2 publications. All Novus Biologicals antibodies are covered by our 100% guarantee.

Scientific Data Images for beta-1,4-Galactosyltransferase 1/B4GalT1 Antibody - BSA Free

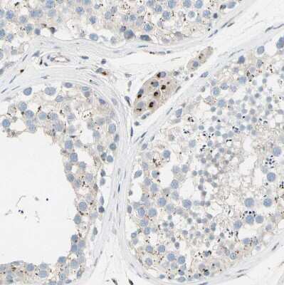
Immunohistochemistry-Paraffin: beta-1,4-Galactosyltransferase 1/B4GalT1 Antibody [NBP1-88654]

Immunohistochemistry-Paraffin: beta-1,4-Galactosyltransferase 1/B4GalT1 Antibody [NBP1-88654]

Immunohistochemistry-Paraffin: beta-1,4-Galactosyltransferase 1/B4GalT1 Antibody [NBP1-88654] - Staining of human placenta, prostate, skeletal muscle and testis using Anti-B4GALT1 antibody NBP1-88654 (A) shows similar protein distribution across tissues to independent antibody NBP1-88655 (B).
Western Blot: beta-1,4-Galactosyltransferase 1/B4GalT1 Antibody [NBP1-88654]

Western Blot: beta-1,4-Galactosyltransferase 1/B4GalT1 Antibody [NBP1-88654]

Western Blot: beta-1,4-Galactosyltransferase 1/B4GalT1 Antibody [NBP1-88654] - Analysis in human cell lines HeLa and HEK293 using anti-B4GALT1 antibody. Corresponding B4GALT1 RNA-seq data are presented for the same cell lines. Loading control: anti-HSP90B1.
Immunocytochemistry/ Immunofluorescence: beta-1,4-Galactosyltransferase 1/B4GalT1 Antibody [NBP1-88654]

Immunocytochemistry/ Immunofluorescence: beta-1,4-Galactosyltransferase 1/B4GalT1 Antibody [NBP1-88654]

Immunocytochemistry/Immunofluorescence: beta-1,4-Galactosyltransferase 1/B4GalT1 Antibody [NBP1-88654] - Staining of human cell line A-431 shows localization to the Golgi apparatus. Antibody staining is shown in green.

Applications for beta-1,4-Galactosyltransferase 1/B4GalT1 Antibody - BSA Free

Application
Recommended Usage

Immunocytochemistry/ Immunofluorescence

0.25-2 ug/ml

Immunohistochemistry

1:500 - 1:1000

Immunohistochemistry-Paraffin

1:500 - 1:1000

Western Blot

0.04-0.4 ug/ml
Application Notes
For IHC-Paraffin, HIER pH 6 retrieval is recommended. ICC/IF Fixation Permeabilization: Use PFA/Triton X-100.

Formulation, Preparation, and Storage

Purification

Immunogen affinity purified

Formulation

PBS (pH 7.2) and 40% Glycerol

Format

BSA Free

Preservative

0.02% Sodium Azide

Concentration

Concentrations vary lot to lot. See vial label for concentration. If unlisted please contact technical services.

Shipping

The product is shipped with polar packs. Upon receipt, store it immediately at the temperature recommended below.

Stability & Storage

Store at 4C short term. Aliquot and store at -20C long term. Avoid freeze-thaw cycles.

Background: beta-1,4-Galactosyltransferase 1/B4GalT1

B4GALT1 - UDP-Gal:betaGlcNAc beta 1,4- galactosyltransferase, polypeptide 1

Long Name

UDP-Gal:betaGlcNAc beta 1,4-galactosyltransferase, Polypeptide 1

Alternate Names

GGTB2

Gene Symbol

B4GALT1

Additional beta-1,4-Galactosyltransferase 1/B4GalT1 Products

Product Documents for beta-1,4-Galactosyltransferase 1/B4GalT1 Antibody - BSA Free

Certificate of Analysis

To download a Certificate of Analysis, please enter a lot number in the search box below.

Product Specific Notices for beta-1,4-Galactosyltransferase 1/B4GalT1 Antibody - BSA Free

This product is for research use only and is not approved for use in humans or in clinical diagnosis. Primary Antibodies are guaranteed for 1 year from date of receipt.

Loading...
Loading...
Loading...
Loading...