Skip to main content

beta-1,3-Glucuronyltransferase 3/B3GAT3 Antibody - Azide and BSA Free

Novus Biologicals, part of Bio-Techne | Catalog # NBP2-99973

Novus Biologicals, part of Bio-Techne

Key Product Details

Species Reactivity

Human

Applications

ELISA, Immunohistochemistry, Immunohistochemistry-Paraffin

Label

Unconjugated

Antibody Source

Polyclonal Rabbit IgG

Format

Azide and BSA Free

Concentration

Please see the vial label for concentration. If unlisted please contact technical services.

Product Specifications

Immunogen

Produced in rabbits immunized with purified, recombinant Human beta-1,3-Glucuronyltransferase 3/B3GAT3 (Accession#: NP_036332.2; Glu72-Val335).

Clonality

Polyclonal

Host

Rabbit

Isotype

IgG

Description

This antibody can be stored at 2C to 8C for one month without detectable loss of activity. Antibody products are stable for twelve months from date of receipt when stored at -20C to -80C. Avoid repeated freeze-thaw cycles.

Scientific Data Images for beta-1,3-Glucuronyltransferase 3/B3GAT3 Antibody - Azide and BSA Free

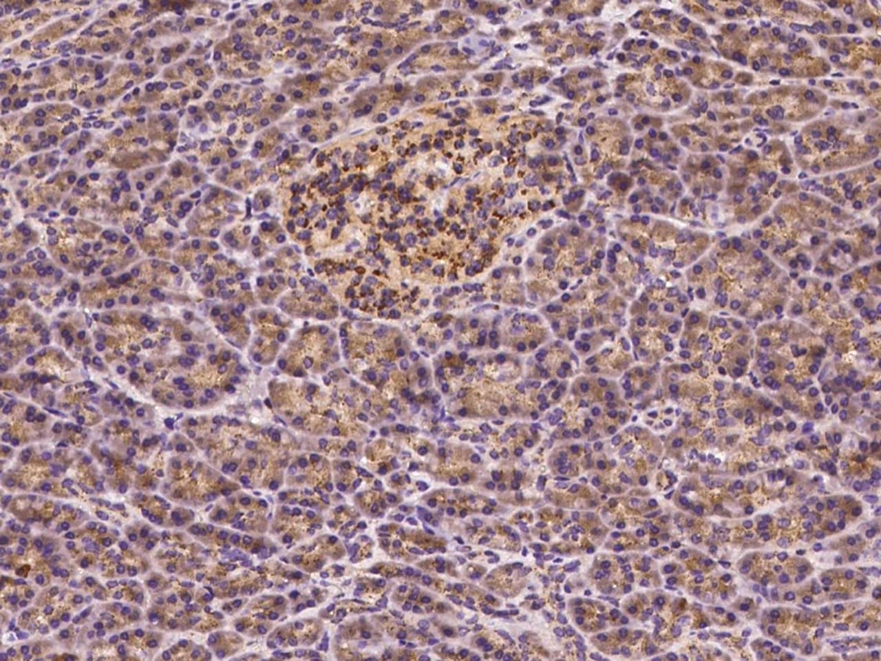
Immunohistochemistry-Paraffin: beta-1,3-Glucuronyltransferase 3/B3GAT3 Antibody [NBP2-99973]

Immunohistochemistry-Paraffin: beta-1,3-Glucuronyltransferase 3/B3GAT3 Antibody [NBP2-99973]

Immunohistochemistry-Paraffin: beta-1,3-Glucuronyltransferase 3/B3GAT3 Antibody [NBP2-99973] - Immunochemical staining of human beta-1,3-Glucuronyltransferase 3/B3GAT3 in human pancreas with rabbit polyclonal antibody (1:2000, formalin-fixed paraffin embedded sections).
beta-1,3-Glucuronyltransferase 3/B3GAT3 Antibody - Azide and BSA Free

Immunohistochemistry-Paraffin: beta-1,3-Glucuronyltransferase 3/beta-1,3-Glucuronyltransferase 3/B3GAT3 Antibody [NBP2-99973] -

Immunohistochemistry-Paraffin: beta-1,3-Glucuronyltransferase 3/beta-1,3-Glucuronyltransferase 3/B3GAT3 Antibody [NBP2-99973] - Immunochemical staining of human beta-1,3-Glucuronyltransferase 3/B3GAT3 in human pancreas with NBP2-99973 (1:2000, formalin-fixed paraffin embedded sections).

Applications for beta-1,3-Glucuronyltransferase 3/B3GAT3 Antibody - Azide and BSA Free

Application
Recommended Usage

ELISA

1:5000-1:10000

Immunohistochemistry

1:1000-1:4000

Immunohistochemistry-Paraffin

1:1000-1:4000

Formulation, Preparation, and Storage

Purification

Antigen and protein A Affinity-purified

Formulation

0.2 um filtered solution in PBS

Format

Azide and BSA Free

Preservative

No Preservative

Concentration

Please see the vial label for concentration. If unlisted please contact technical services.

Shipping

The product is shipped with polar packs. Upon receipt, store it immediately at the temperature recommended below.

Stability & Storage

Store at 4C short term. Aliquot and store at -20C long term. Avoid freeze-thaw cycles.

Background: beta-1,3-Glucuronyltransferase 3/B3GAT3

B3GAT3 is encoded by this gene is a member of the glucuronyltransferase gene family, enzymes that exhibit strict acceptor specificity, recognizing nonreducing terminal sugars and their anomeric linkages. This gene product catalyzes the formation of the glycosaminoglycan-protein linkage by way of a glucuronyl transfer reaction in the final step of the biosynthesis of the linkage region of proteoglycans. [provided by RefSeq]

Long Name

UDP-GlcUA:Gal beta-1,3-Gal-R Glucuronyltransferase

Alternate Names

GlcAT-I, GLCATI, GlcUAT-I

Gene Symbol

B3GAT3

Additional beta-1,3-Glucuronyltransferase 3/B3GAT3 Products

Product Documents for beta-1,3-Glucuronyltransferase 3/B3GAT3 Antibody - Azide and BSA Free

Certificate of Analysis

To download a Certificate of Analysis, please enter a lot number in the search box below.

Product Specific Notices for beta-1,3-Glucuronyltransferase 3/B3GAT3 Antibody - Azide and BSA Free

This product is for research use only and is not approved for use in humans or in clinical diagnosis. Primary Antibodies are guaranteed for 1 year from date of receipt.

Loading...
Loading...
Loading...
Loading...