Skip to main content

Begain Antibody - BSA Free

Novus Biologicals, part of Bio-Techne | Catalog # NBP2-15561

Novus Biologicals, part of Bio-Techne
Catalog #
Availability
Size / Price
Qty
Loading...
NBP2-15561

Key Product Details

Species Reactivity

Validated:

Human

Predicted:

Mouse (94%), Rat (95%). Backed by our 100% Guarantee.

Applications

Immunohistochemistry, Immunohistochemistry-Paraffin, Western Blot

Label

Unconjugated

Antibody Source

Polyclonal Rabbit IgG

Format

BSA Free

Concentration

Concentrations vary lot to lot. See vial label for concentration. If unlisted please contact technical services.

Product Specifications

Immunogen

Recombinant protein encompassing a sequence within the center region of human Begain. The exact sequence is proprietary.

Reactivity Notes

Sheep (85%), Bovine (86%).

Localization

Cytoplasm; Membrane; Peripheral membrane protein; Cytoplasm; Membrane

Clonality

Polyclonal

Host

Rabbit

Isotype

IgG

Theoretical MW

65 kDa.
Disclaimer note: The observed molecular weight of the protein may vary from the listed predicted molecular weight due to post translational modifications, post translation cleavages, relative charges, and other experimental factors.

Description

Novus Biologicals Rabbit Begain Antibody - BSA Free (NBP2-15561) is a polyclonal antibody validated for use in IHC and WB. All Novus Biologicals antibodies are covered by our 100% guarantee.

Scientific Data Images for Begain Antibody - BSA Free

Western Blot: Begain Antibody [NBP2-15561]

Western Blot: Begain Antibody [NBP2-15561]

Western Blot: Begain Antibody [NBP2-15561] - Sample (30 ug of whole cell lysate) A: Raji7. 5% SDS PAGE gel, diluted at 1:1000.
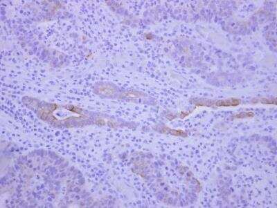
Immunohistochemistry-Paraffin: Begain Antibody [NBP2-15561]

Immunohistochemistry-Paraffin: Begain Antibody [NBP2-15561]

Immunohistochemistry-Paraffin: Begain Antibody [NBP2-15561] - Analysis of paraffin-embedded Colon carcinoma, using antibody at 1:250 dilution.

Applications for Begain Antibody - BSA Free

Application
Recommended Usage

Immunohistochemistry

1:100-1:1000

Immunohistochemistry-Paraffin

1:100-1:1000

Western Blot

1:500-1:3000

Formulation, Preparation, and Storage

Purification

Antigen Affinity-purified

Formulation

0.1M Tris, 0.1M Glycine, 20% Glycerol

Format

BSA Free

Preservative

0.01% Thimerosal

Concentration

Concentrations vary lot to lot. See vial label for concentration. If unlisted please contact technical services.

Shipping

The product is shipped with polar packs. Upon receipt, store it immediately at the temperature recommended below.

Stability & Storage

Aliquot and store at -20C or -80C. Avoid freeze-thaw cycles.

Background: Begain

May sustain the structure of the postsynaptic density (PSD).

Alternate Names

brain-enriched guanylate kinase-associated homolog (rat), KIAA1446brain-enriched guanylate kinase-associated protein

Gene Symbol

BEGAIN

UniProt

Additional Begain Products

Product Documents for Begain Antibody - BSA Free

Certificate of Analysis

To download a Certificate of Analysis, please enter a lot number in the search box below.

Product Specific Notices for Begain Antibody - BSA Free

This product is for research use only and is not approved for use in humans or in clinical diagnosis. Primary Antibodies are guaranteed for 1 year from date of receipt.

Loading...
Loading...
Loading...
Loading...

⚠ WARNING: This product can expose you to chemicals including mercury, which is known to the State of California to cause reproductive toxicity with developmental effects.  For more information go to www.P65Warnings.ca.gov.