Beclin 1 Antibody Pack
Novus Biologicals, part of Bio-Techne | Catalog # NB910-95609
Key Product Details
Species
Human, Mouse, Rat
Applications
Immunocytochemistry/ Immunofluorescence, Immunohistochemistry, Mycoplasma, Simple Western, Western Blot
Product Summary for Beclin 1 Antibody Pack
This pack contains 1 vial each of: NB500-249SS (0.025 mL), NB500-266SS (0.025 mL) and NB110-87318SS (0.025 mL).
Product Specifications
Application Notes
See individual datasheets of components for their validated applications
Reactivity Notes
See individual datasheets of components for their validated species
Scientific Data Images for Beclin 1 Antibody Pack
Simple Western: Beclin 1 Antibody Pack [NB910-95609]
Simple Western: Beclin 1 Antibody Pack [NB910-95609] - Lane view shows a specific band for Beclin in 1.0 mg/ml of HeLa lysate using NB110-87318. This experiment was performed under reducing conditions using the 12-230 kDa separation system.Western Blot: Beclin 1 Antibody Pack [NB910-95609]
Western Blot: Beclin 1 Antibody Pack [NB910-95609] - Expression of Beclin 1 mRNA and protein in cells and tissues. (A) Beclin 1 mRNA expression level up-regulated in gastric cancer cell lines compared with normal gastric epithelial cells by reverse transcription-PCR. (B) Beclin 1 protein expression level up-regulated in gastric cancer cell lines compared with normal gastric epithelial cells by western blotting. (C) Beclin 1 mRNA expression is elevated in primary gastric tumors compared with paired gastric adjacent noncancerous tissues by reverse transcription-PCR. (D) Beclin 1 protein expression is elevated in primary gastric tumors compared with paired gastric adjacent noncancerous tissues by western blotting. Image collected and cropped by CiteAb from the following publication (//doi.org/10.1371/journal.pone.0045968) licensed under a CC-BY license. Anti-Beclin-1 Antibody NB500-249Immunohistochemistry: Beclin 1 Antibody Pack [NB910-95609]
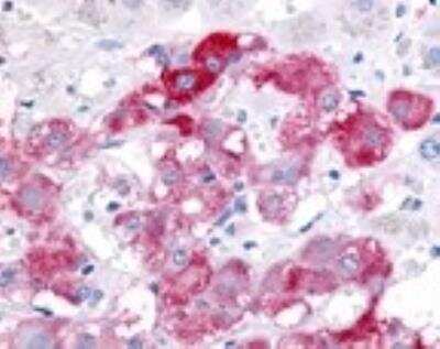
Immunohistochemistry: Beclin 1 Antibody Pack [NB910-95609] - Analysis of a FFPE tissue section of human breast cancer using Beclin 1 antibody (NB110-87318) at 1:300 dilution. The primary antibody bound to Beclin 1 antigen in the tissue section was detected using a HRP labeled secondary antibody and DAB reagent. Nuclei of the cells were counterstained with hematoxylin. Cytoplasmic staining can be seen in the cancer as well as the stromal cells. The signal was strongest in a subset of stromal cells which appears to be the cancer associated fibroblasts.Kit Contents for Beclin 1 Antibody Pack
- NB110-87318SS
- NB500-249SS
- NB500-266SS
- HAF008: Rabbit IgG Horseradish Peroxidase-conjugated Antibody
Formulation, Preparation, and Storage
Formulation
See individual datasheets
Concentration
Concentration of individual antibodies may be found on the vial label. If unlisted please contact technical services.
Shipping
The product is shipped with polar packs. Upon receipt, store it immediately at the temperature recommended below.
Storage
Store at 4C short term. Aliquot and store at -20C long term. Avoid freeze-thaw cycles.
Background: Beclin 1
Long Name
Beclin1, Autophagy-related
Alternate Names
ATG6, BECN1, GT197, VPS30
Gene Symbol
BECN1
Additional Beclin 1 Products
Product Specific Notices for Beclin 1 Antibody Pack
This product is for research use only and is not approved for use in humans or in clinical diagnosis. Antibody Packs are guaranteed for 1 year from date of receipt.
Loading...
Loading...
Loading...
Loading...