Skip to main content

BCMA/TNFRSF17 Antibody - BSA Free

Novus Biologicals, part of Bio-Techne | Catalog # NBP1-76774

Novus Biologicals, part of Bio-Techne

Key Product Details

Species Reactivity

Human

Applications

Immunohistochemistry, Immunohistochemistry-Paraffin, Western Blot, ELISA

Label

Unconjugated

Antibody Source

Polyclonal Rabbit IgG

Format

BSA Free

Concentration

1 mg/ml

Product Specifications

Immunogen

Antibody was raised against a 16 amino acid synthetic peptide mapping at the carboxy terminus of human BCMA. The immunogen is located within the last 50 amino acids of BCMA. Amino Acid Squence: PAALSATEIEKSISAR

Clonality

Polyclonal

Host

Rabbit

Isotype

IgG

Theoretical MW

27 kDa.
Disclaimer note: The observed molecular weight of the protein may vary from the listed predicted molecular weight due to post translational modifications, post translation cleavages, relative charges, and other experimental factors.

Description

Novus Biologicals Rabbit BCMA/TNFRSF17 Antibody - BSA Free (NBP1-76774) is a polyclonal antibody validated for use in IHC, WB, ELISA and ICC/IF. All Novus Biologicals antibodies are covered by our 100% guarantee.

Scientific Data Images for BCMA/TNFRSF17 Antibody - BSA Free

Western Blot: BCMA/TNFRSF17 AntibodyBSA Free [NBP1-76774]

Western Blot: BCMA/TNFRSF17 AntibodyBSA Free [NBP1-76774]

Western Blot: BCMA/TNFRSF17 Antibody [NBP1-76774] - Human spleen (A) tissue lysate, K562 (B), and U937 (C) cell lysates with BCMA antibody at 5 ug/ml.
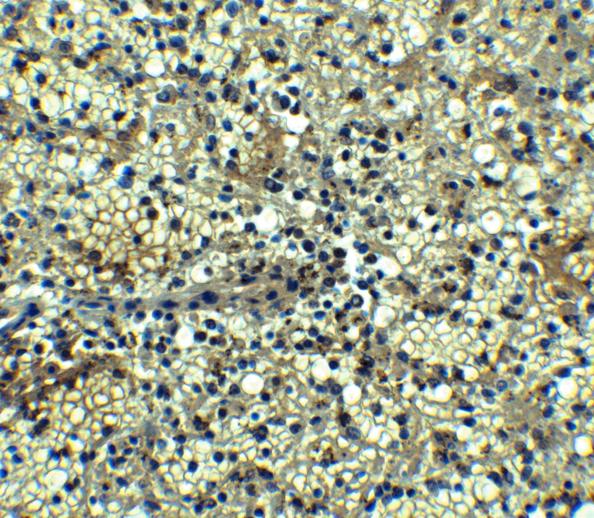
Immunohistochemistry-Paraffin: BCMA/TNFRSF17 Antibody - BSA Free [NBP1-76774]

Immunohistochemistry-Paraffin: BCMA/TNFRSF17 Antibody - BSA Free [NBP1-76774]

Immunohistochemistry-Paraffin: BCMA/TNFRSF17 Antibody [NBP1-76774] - Human spleen tissue with BCMA antibody at 10 ug/mL.
BCMA/TNFRSF17 Antibody - BSA Free

Immunocytochemistry/ Immunofluorescence: BCMA/TNFRSF17 Antibody - BSA Free [NBP1-76774] -

Immunocytochemistry/ Immunofluorescence: BCMA/TNFRSF17 Antibody - BSA Free [NBP1-76774] - Immunofluorescence of BCMA/TNFRSF17 in Human Spleen tissue with BCMA/TNFRSF17 antibody at 10 u/mL.

Applications for BCMA/TNFRSF17 Antibody - BSA Free

Application
Recommended Usage

ELISA

1:100-1:2000

Immunohistochemistry

5 ug/ml

Immunohistochemistry-Paraffin

5 ug/ml

Western Blot

5 ug/ml

Formulation, Preparation, and Storage

Purification

Peptide affinity purified

Formulation

PBS

Format

BSA Free

Preservative

0.02% Sodium Azide

Concentration

1 mg/ml

Shipping

The product is shipped with polar packs. Upon receipt, store it immediately at the temperature recommended below.

Stability & Storage

Store at 4C.

Background: BCMA/TNFRSF17

B cell maturation antigen (BCMA), also known as tumor necrosis factor receptor superfamily member 17 (TNFRSF17), is a type III transmembrane glycoprotein that plays a role in B cell maturation and differentiation into plasma cells and is a therapeutic target for treatment of multiple myeloma (MM) (1,2). BMCA is synthesized as a protein of 184 amino acids (aa) in length with a theoretical molecular weight of 20.2 kDa consisting of an extracellular N-terminus containing 6 cysteine residues, a transmembrane domain, and an intracellular tumor necrosis factor (TRAF) binding domain (1). BCMA is functionally similar to two other TNFR superfamily members, B cell activation factor receptor (BAFF-R) and transmembrane activator and calcium modulator and cyclophilin ligand interactor (TACI) (1,2). BCMA is primarily expressed on plasmablasts, plasma cells, and late-stage B cells (1,2).

BCMA has two agonistic ligands: BAFF and a proliferation-inducing ligand (APRIL) (1,2). APRIL has higher affinity for BCMA than BAFF and the binding is mediated by CD138/syndeclin-1 (2,3). Activation of BCMA promotes the growth and survival of plasma cells, or MM cells in disease, through several signaling pathways such as NFkappaB, MEK/ERK, AKT, JNK, and p38 (1,2). In MM cells the BCMA activation and downstream signaling cascade functions to upregulate antiapoptotic proteins including Bcl-2, Bcl-xL, and Mcl-1 and protect the cells against therapeutic agents like dexamethasone (2,3).

Given its specific expression on plasma cells but not memory B cells, naive B cells, or hematopoietic stem cells, BCMA has garnered much interest as a therapeutic target for the treatment of MM (1-4). Current BCMA-targeted immunotherapy strategies include antibody-drug conjugates (ADC), chimeric antigen receptor (CAR) T cells, bispecific T cell engager (BiTE), and bispecific/trispecific antibodies (1-4). CAR T cell therapy in particular has demonstrated promising clinical results (2,4). Still, more research needs to be done to improve the efficacy and risk of relapse following CAR T cell therapy and may also include targeting additional antigens in combination with BCMA or utilizing pharmacological agents to increase antigen density (4).

References

1. Yu, B., Jiang, T., & Liu, D. (2020). BCMA-targeted immunotherapy for multiple myeloma. Journal of hematology & oncology, 13(1), 125. https://doi.org/10.1186/s13045-020-00962-7

2. Cho, S. F., Anderson, K. C., & Tai, Y. T. (2018). Targeting B Cell Maturation Antigen (BCMA) in Multiple Myeloma: Potential Uses of BCMA-Based Immunotherapy. Frontiers in immunology, 9, 1821. https://doi.org/10.3389/fimmu.2018.01821

3. Dalla Palma, B., Marchica, V., Catarozzo, M. T., Giuliani, N., & Accardi, F. (2020). Monoclonal and Bispecific Anti-BCMA Antibodies in Multiple Myeloma. Journal of clinical medicine, 9(9), 3022. https://doi.org/10.3390/jcm9093022

4. Mikkilineni, L., & Kochenderfer, J. N. (2021). CAR T cell therapies for patients with multiple myeloma. Nature reviews. Clinical oncology, 18(2), 71-84. https://doi.org/10.1038/s41571-020-0427-6

Long Name

B Cell Maturation Factor

Alternate Names

CD269, TNFRSF13A, TNFRSF17

Entrez Gene IDs

608 (Human)

Gene Symbol

TNFRSF17

UniProt

Additional BCMA/TNFRSF17 Products

Product Documents for BCMA/TNFRSF17 Antibody - BSA Free

Certificate of Analysis

To download a Certificate of Analysis, please enter a lot number in the search box below.

Product Specific Notices for BCMA/TNFRSF17 Antibody - BSA Free

This product is for research use only and is not approved for use in humans or in clinical diagnosis. Primary Antibodies are guaranteed for 1 year from date of receipt.

Loading...
Loading...
Loading...
Loading...