Skip to main content

Bcl-6 Antibody (CL14611) - Azide and BSA Free

Novus Biologicals, part of Bio-Techne | Catalog # NBP3-44142

Novus Biologicals, part of Bio-Techne

Key Product Details

Validated by

Orthogonal Validation

Species Reactivity

Human

Applications

Immunohistochemistry-Paraffin, Immunocytochemistry/ Immunofluorescence

Label

Unconjugated

Antibody Source

Monoclonal Mouse IgG1 Clone # CL14611

Format

Azide and BSA Free

Concentration

LYOPH mg/ml

Product Specifications

Immunogen

This antibody was generated using a recombinant protein sequence of P41182, with the exact immunogen sequence remaining proprietary.

Clonality

Monoclonal

Host

Mouse

Isotype

IgG1

Description

Novus Biologicals Mouse Bcl-6 Antibody (CL14611) - Azide and BSA Free (NBP3-26872) is a monoclonal antibody validated for use in IHC and ICC/IF. All Novus Biologicals antibodies are covered by our 100% guarantee.

Scientific Data Images for Bcl-6 Antibody (CL14611) - Azide and BSA Free

Bcl-6 Antibody (CL14611) - Azide and BSA Free Immunocytochemistry/ Immunofluorescence: Bcl-6 Antibody [NBP3-44142]

Immunocytochemistry/ Immunofluorescence: Bcl-6 Antibody [NBP3-44142]

Staining in A-549 cell line with Anti-Bcl-6 monoclonal antibody) .
Bcl-6 Antibody (CL14611) - Azide and BSA Free Immunohistochemistry-Paraffin: Bcl-6 Antibody [NBP3-44142]

Immunohistochemistry-Paraffin: Bcl-6 Antibody [NBP3-44142]

Analysis in human lymph node and small intestine tissues using NBP3-44142 antibody. Corresponding Bcl-6 RNA-seq data are presented for the same tissues.
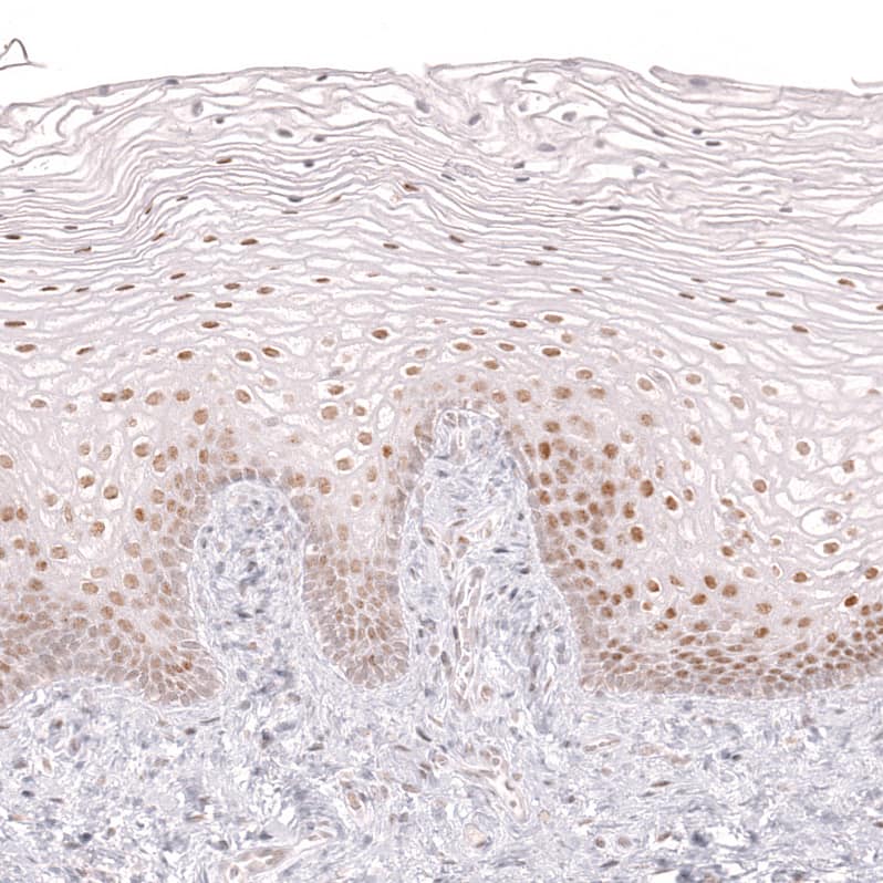
Bcl-6 Antibody (CL14611) - Azide and BSA Free Immunohistochemistry-Paraffin: Bcl-6 Antibody [NBP3-44142]

Immunohistochemistry-Paraffin: Bcl-6 Antibody [NBP3-44142]

Staining of human cervix shows moderate nuclear positivity in squamous epithelial cells.

Applications for Bcl-6 Antibody (CL14611) - Azide and BSA Free

Application
Recommended Usage

Immunocytochemistry/ Immunofluorescence

2-10 ug/ml

Immunohistochemistry-Paraffin

1:50 - 1:200
Application Notes
Immunocytochemistry/ Immunofluorescence/IF Fixation Permeabilization: Use PFA/Triton X-100. For IHC-Paraffin, HIER pH 6 retrieval is recommended.

Formulation, Preparation, and Storage

Purification

Protein A purified

Reconstitution

Centrifuge the vial of lyophilized antibody at 12,000 x g for 20 seconds. Reconstitute by adding sterile, distilled water to achieve a final antibody concentration of 1mg/ml.

Formulation

Lyophilized from a 0.2 um filtered solution in PBS with Trehalose

Format

Azide and BSA Free

Preservative

No Preservative

Concentration

LYOPH mg/ml

Shipping

The product is shipped at ambient temperature. Upon receipt, store it immediately at the temperature recommended below.

Stability & Storage

Store at 4C short term. Aliquot and store at -20C long term. Avoid freeze-thaw cycles.

Background: Bcl-6

Bcl6 reacts with Bcl6 gene product in follicular lymphomas, diffuse large B cell lymphomas, Burkitt's lymphomas and in nodular, lymphocyte predominant Hodgkin's disease.

Long Name

B Cell Lymphoma/Leukemia 6

Alternate Names

Bcl-5, Bcl6, LAZ3, ZBTB27, ZNF51

Gene Symbol

BCL6

Additional Bcl-6 Products

Product Documents for Bcl-6 Antibody (CL14611) - Azide and BSA Free

Certificate of Analysis

To download a Certificate of Analysis, please enter a lot number in the search box below.

Product Specific Notices for Bcl-6 Antibody (CL14611) - Azide and BSA Free

This product is for research use only and is not approved for use in humans or in clinical diagnosis. Primary Antibodies are guaranteed for 1 year from date of receipt.

Loading...
Loading...
Loading...
Loading...
Loading...