Skip to main content

Bcl-6 Antibody (CL14611) - BSA Free

Novus Biologicals, part of Bio-Techne | Catalog # NBP3-26872

Novus Biologicals, part of Bio-Techne
Catalog #
Availability
Size / Price
Qty
Loading...
NBP3-26872-25ul
NBP3-26872-100ul

Key Product Details

Validated by

Orthogonal Validation

Species Reactivity

Validated:

Human

Predicted:

Mouse (95%), Rat (96%). Backed by our 100% Guarantee.

Applications

Immunohistochemistry, Immunohistochemistry-Paraffin, Immunocytochemistry/ Immunofluorescence

Label

Unconjugated

Antibody Source

Monoclonal Mouse IgG1 Clone # CL14611

Format

BSA Free

Concentration

1 mg/ml

Product Specifications

Immunogen

This antibody was developed using a recombinant protein derived from P41182, with the exact immunogen sequence remaining proprietary.

Clonality

Monoclonal

Host

Mouse

Isotype

IgG1

Description

Novus Biologicals Mouse Bcl-6 Antibody (CL14611) - BSA Free (NBP3-26872) is a monoclonal antibody validated for use in IHC and ICC/IF. All Novus Biologicals antibodies are covered by our 100% guarantee.

Scientific Data Images for Bcl-6 Antibody (CL14611) - BSA Free

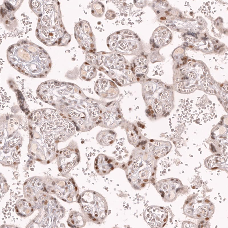
Bcl-6 Antibody (CL14611)

Immunohistochemistry-Paraffin: Bcl-6 Antibody (CL14611) [NBP3-26872]

Staining of human placenta shows moderate nuclear positivity in trophoblastic cells.
Bcl-6 Antibody (CL14611)

Immunohistochemistry-Paraffin: Bcl-6 Antibody (CL14611) [NBP3-26872]

Staining of human cervix shows moderate nuclear positivity in squamous epithelial cells.
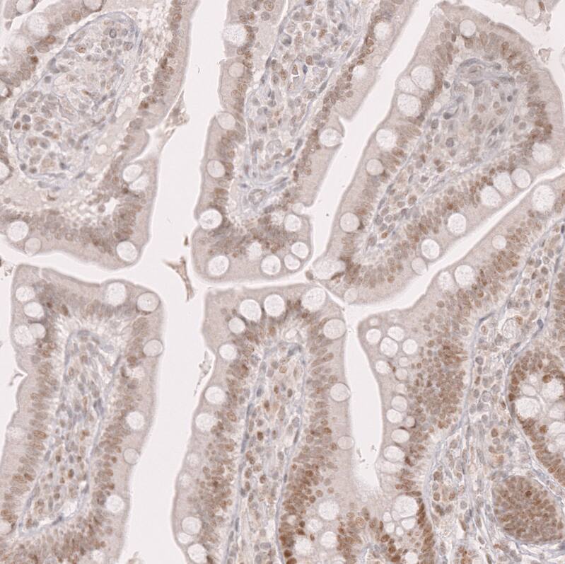
Bcl-6 Antibody (CL14611)

Immunohistochemistry-Paraffin: Bcl-6 Antibody (CL14611) [NBP3-26872]

Staining of human small intestine shows weak nuclear positivity in glandular cells.

Applications for Bcl-6 Antibody (CL14611) - BSA Free

Application
Recommended Usage

Immunocytochemistry/ Immunofluorescence

2-10 ug/ml

Immunohistochemistry

1:50 - 1:200

Immunohistochemistry-Paraffin

1:50 - 1:200
Application Notes
ICC/IF Fixation Permeabilization: Use PFA/Triton X-100. For IHC-Paraffin, HIER pH 6 retrieval is recommended.

Formulation, Preparation, and Storage

Purification

Protein A purified

Formulation

PBS (pH 7.2) and 40% Glycerol

Format

BSA Free

Preservative

0.02% Sodium Azide

Concentration

1 mg/ml

Shipping

The product is shipped with polar packs. Upon receipt, store it immediately at the temperature recommended below.

Stability & Storage

Store at 4C short term. Aliquot and store at -20C long term. Avoid freeze-thaw cycles.

Background: Bcl-6

Bcl6 reacts with Bcl6 gene product in follicular lymphomas, diffuse large B cell lymphomas, Burkitt's lymphomas and in nodular, lymphocyte predominant Hodgkin's disease.

Long Name

B Cell Lymphoma/Leukemia 6

Alternate Names

Bcl-5, Bcl6, LAZ3, ZBTB27, ZNF51

Gene Symbol

BCL6

Additional Bcl-6 Products

Product Documents for Bcl-6 Antibody (CL14611) - BSA Free

Certificate of Analysis

To download a Certificate of Analysis, please enter a lot number in the search box below.

Product Specific Notices for Bcl-6 Antibody (CL14611) - BSA Free

This product is for research use only and is not approved for use in humans or in clinical diagnosis. Primary Antibodies are guaranteed for 1 year from date of receipt.

Loading...
Loading...
Loading...
Loading...