Skip to main content

BCAP/PIK3AP1 Antibody (OTI7A11) - Azide and BSA Free

Novus Biologicals, part of Bio-Techne | Catalog # NBP2-72368

Novus Biologicals, part of Bio-Techne
Catalog #
Availability
Size / Price
Qty
Loading...
NBP2-72368

Key Product Details

Species Reactivity

Human, Mouse, Rat

Applications

Immunohistochemistry, Immunohistochemistry-Paraffin, Western Blot, Flow Cytometry, Immunocytochemistry/ Immunofluorescence, CyTOF-ready

Label

Unconjugated

Antibody Source

Monoclonal Mouse IgG1 Clone # OTI7A11

Format

Azide and BSA Free

Concentration

LYOPH mg/ml

Product Specifications

Immunogen

Full length human recombinant protein of human PIK3AP1 (NP_689552) produced in HEK293T cell.

Reactivity Notes

Please note that this antibody is reactive to Mouse and derived from the same host, Mouse. Mouse-On-Mouse blocking reagent may be needed for IHC and ICC experiments to reduce high background signal. You can find these reagents under catalog numbers PK-2200-NB and MP-2400-NB. Please contact Technical Support if you have any questions.

Clonality

Monoclonal

Host

Mouse

Isotype

IgG1

Theoretical MW

90.2 kDa.
Disclaimer note: The observed molecular weight of the protein may vary from the listed predicted molecular weight due to post translational modifications, post translation cleavages, relative charges, and other experimental factors.

Description

Novus Biologicals Mouse BCAP/PIK3AP1 Antibody (OTI7A11) - Azide and BSA Free (NBP2-03109) is a monoclonal antibody validated for use in IHC, WB, Flow and ICC/IF. All Novus Biologicals antibodies are covered by our 100% guarantee.

Scientific Data Images for BCAP/PIK3AP1 Antibody (OTI7A11) - Azide and BSA Free

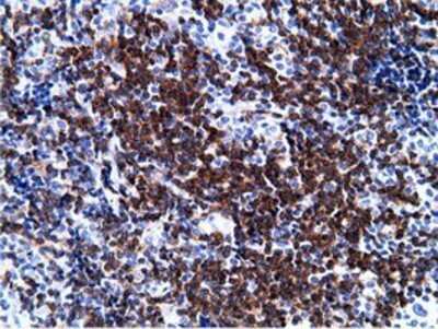
Immunohistochemistry: BCAP/PIK3AP1 Antibody (OTI7A11) - Azide and BSA Free [NBP2-72368]

Immunohistochemistry: BCAP/PIK3AP1 Antibody (OTI7A11) - Azide and BSA Free [NBP2-72368]

Immunohistochemistry: BCAP/PIK3AP1 Antibody (OTI7A11) - Azide and BSA Free [NBP2-72368] - Staining of paraffin-embedded Human lymph node tissue using anti-PIK3AP1 mouse monoclonal antibody.
Flow Cytometry: BCAP/PIK3AP1 Antibody (OTI7A11) - Azide and BSA Free [NBP2-72368]

Flow Cytometry: BCAP/PIK3AP1 Antibody (OTI7A11) - Azide and BSA Free [NBP2-72368]

Flow Cytometry: BCAP/PIK3AP1 Antibody (OTI7A11) - Azide and BSA Free [NBP2-72368] - Staining of COS7 cells transiently transfected by pCMV6-ENTRY PIK3AP1.
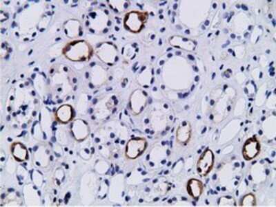
Immunohistochemistry: BCAP/PIK3AP1 Antibody (OTI7A11) - Azide and BSA Free [NBP2-72368]

Immunohistochemistry: BCAP/PIK3AP1 Antibody (OTI7A11) - Azide and BSA Free [NBP2-72368]

Immunohistochemistry: BCAP/PIK3AP1 Antibody (OTI7A11) - Azide and BSA Free [NBP2-72368] - Staining of paraffin-embedded Human Kidney tissue using anti-PIK3AP1 mouse monoclonal antibody.

Applications for BCAP/PIK3AP1 Antibody (OTI7A11) - Azide and BSA Free

Application
Recommended Usage

Flow Cytometry

1:100

Immunocytochemistry/ Immunofluorescence

1:100

Immunohistochemistry

1:150

Western Blot

1:2000

Formulation, Preparation, and Storage

Purification

Immunogen affinity purified

Reconstitution

we recommend adding 100uL distilled water to a final antibody concentration of about 1 mg/mL. To use this carrier-free antibody for conjugation experiment, we strongly recommend performing another round of desalting process.

Formulation

Lyophilized from PBS (pH 7.3) with 8% Trehalose

Format

Azide and BSA Free

Preservative

No Preservative

Concentration

LYOPH mg/ml

Shipping

The product is shipped with polar packs. Upon receipt, store it immediately at the temperature recommended below.

Stability & Storage

Store at -20C. Avoid freeze-thaw cycles.

Background: BCAP

PIK3AP1 is involved in the activation of phosphoinositide 3-kinase (PI3K) in B-cells and in natural killer (NK) cells.Couples B-cell antigen receptor (BCR) to PI3K activation by providing a docking site for the PI3K subunit PIK3R1,which contributes to B-cell develop

Long Name

B Cell Adaptor Protein

Alternate Names

Pik3ap1

Gene Symbol

PIK3AP1

Additional BCAP Products

Product Documents for BCAP/PIK3AP1 Antibody (OTI7A11) - Azide and BSA Free

Certificate of Analysis

To download a Certificate of Analysis, please enter a lot number in the search box below.

Product Specific Notices for BCAP/PIK3AP1 Antibody (OTI7A11) - Azide and BSA Free

This product is for research use only and is not approved for use in humans or in clinical diagnosis. Primary Antibodies are guaranteed for 1 year from date of receipt.

Loading...
Loading...
Loading...
Loading...
Loading...
Loading...