Skip to main content

BCAP/PIK3AP1 Antibody (OTI7A11)

Novus Biologicals, part of Bio-Techne | Catalog # NBP2-03109

Novus Biologicals, part of Bio-Techne
Catalog #
Availability
Size / Price
Qty
Loading...
NBP2-03109

Key Product Details

Species Reactivity

Human, Mouse, Rat

Applications

Immunohistochemistry, Immunohistochemistry-Paraffin, Western Blot, Flow Cytometry, Immunocytochemistry/ Immunofluorescence

Label

Unconjugated

Antibody Source

Monoclonal Mouse IgG1 Clone # OTI7A11

Concentration

0.98 mg/ml

Product Specifications

Immunogen

Full length human recombinant protein of human PIK3AP1 (NP_689552) produced in HEK293T cell.

Reactivity Notes

Please note that this antibody is reactive to Mouse and derived from the same host, Mouse. Mouse-On-Mouse blocking reagent may be needed for IHC and ICC experiments to reduce high background signal. You can find these reagents under catalog numbers PK-2200-NB and MP-2400-NB. Please contact Technical Support if you have any questions.

Clonality

Monoclonal

Host

Mouse

Isotype

IgG1

Theoretical MW

90.2 kDa.
Disclaimer note: The observed molecular weight of the protein may vary from the listed predicted molecular weight due to post translational modifications, post translation cleavages, relative charges, and other experimental factors.

Description

Novus Biologicals Mouse BCAP/PIK3AP1 Antibody (OTI7A11) (NBP2-03109) is a monoclonal antibody validated for use in IHC, WB, Flow and ICC/IF. All Novus Biologicals antibodies are covered by our 100% guarantee.

Scientific Data Images for BCAP/PIK3AP1 Antibody (OTI7A11)

Western Blot: BCAP/PIK3AP1 Antibody (OTI7A11) [NBP2-03109]

Western Blot: BCAP/PIK3AP1 Antibody (OTI7A11) [NBP2-03109]

Western Blot: BCAP/PIK3AP1 Antibody (OTI7A11) [NBP2-03109] - HEK293T cells were transfected with the pCMV6-ENTRY control (Left lane) or pCMV6-ENTRY PIK3AP1 (Right lane) cDNA for 48 hrs and lysed. Equivalent amounts of cell lysates (5 ug per lane) were separated by SDS-PAGE and immunoblotted with anti-PIK3AP1.
Immunocytochemistry/ Immunofluorescence: BCAP/PIK3AP1 Antibody (OTI7A11) [NBP2-03109]

Immunocytochemistry/ Immunofluorescence: BCAP/PIK3AP1 Antibody (OTI7A11) [NBP2-03109]

Immunocytochemistry/Immunofluorescence: BCAP/PIK3AP1 Antibody (OTI7A11) [NBP2-03109] - Staining of COS7 cells transiently transfected by pCMV6-ENTRY PIK3AP1.
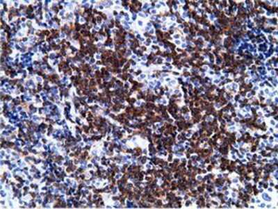
Immunohistochemistry-Paraffin: BCAP/PIK3AP1 Antibody (OTI7A11) [NBP2-03109]

Immunohistochemistry-Paraffin: BCAP/PIK3AP1 Antibody (OTI7A11) [NBP2-03109]

Immunohistochemistry-Paraffin: BCAP/PIK3AP1 Antibody (OTI7A11) [NBP2-03109] - Staining of paraffin-embedded Human lymphoma tissue using anti-PIK3AP1 mouse monoclonal antibody.

Applications for BCAP/PIK3AP1 Antibody (OTI7A11)

Application
Recommended Usage

Flow Cytometry

1:100

Immunocytochemistry/ Immunofluorescence

1:100

Immunohistochemistry

1:150

Immunohistochemistry-Paraffin

1:150

Western Blot

1:2000

Formulation, Preparation, and Storage

Purification

Immunogen affinity purified

Formulation

PBS (pH 7.3), 1.0% BSA and 50% Glycerol

Preservative

0.02% Sodium Azide

Concentration

0.98 mg/ml

Shipping

The product is shipped with polar packs. Upon receipt, store it immediately at the temperature recommended below.

Stability & Storage

Store at -20C. Avoid freeze-thaw cycles.

Background: BCAP

PIK3AP1 is involved in the activation of phosphoinositide 3-kinase (PI3K) in B-cells and in natural killer (NK) cells.Couples B-cell antigen receptor (BCR) to PI3K activation by providing a docking site for the PI3K subunit PIK3R1,which contributes to B-cell develop

Long Name

B Cell Adaptor Protein

Alternate Names

Pik3ap1

Entrez Gene IDs

118788 (Human)

Gene Symbol

PIK3AP1

Additional BCAP Products

Product Documents for BCAP/PIK3AP1 Antibody (OTI7A11)

Certificate of Analysis

To download a Certificate of Analysis, please enter a lot number in the search box below.

Product Specific Notices for BCAP/PIK3AP1 Antibody (OTI7A11)

This product is for research use only and is not approved for use in humans or in clinical diagnosis. Primary Antibodies are guaranteed for 1 year from date of receipt.

Loading...
Loading...
Loading...
Loading...
Loading...