Skip to main content

AUTS2 Antibody (CL7084) - Azide and BSA Free

Novus Biologicals, part of Bio-Techne | Catalog # NBP3-44206

Novus Biologicals, part of Bio-Techne

Key Product Details

Species Reactivity

Human, Mouse

Applications

Immunohistochemistry-Paraffin, Western Blot

Label

Unconjugated

Antibody Source

Monoclonal Mouse IgG2A Clone # CL7084

Format

Azide and BSA Free

Concentration

LYOPH mg/ml

Product Specifications

Immunogen

This antibody was generated using a synthetic peptide of Q8WXX7, with the exact immunogen sequence remaining proprietary.

Clonality

Monoclonal

Host

Mouse

Isotype

IgG2A

Description

Novus Biologicals Mouse AUTS2 Antibody (CL7084) - Azide and BSA Free (NBP2-76530) is a monoclonal antibody validated for use in IHC and WB. All Novus Biologicals antibodies are covered by our 100% guarantee.

Scientific Data Images for AUTS2 Antibody (CL7084) - Azide and BSA Free

AUTS2 Antibody (CL7084) - Azide and BSA Free Western Blot: AUTS2 Antibody [NBP3-44206]

Western Blot: AUTS2 Antibody [NBP3-44206]

Analysis in human cell line SCLC-21H.
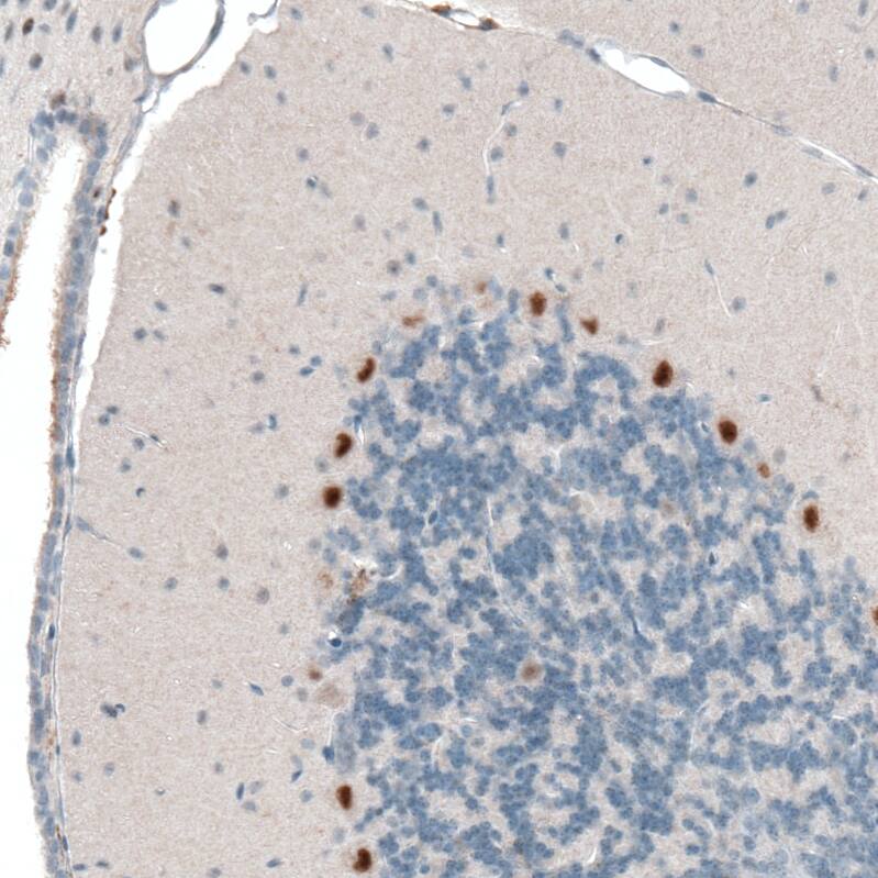
AUTS2 Antibody (CL7084) - Azide and BSA Free Immunohistochemistry-Paraffin: AUTS2 Antibody [NBP3-44206]

Immunohistochemistry-Paraffin: AUTS2 Antibody [NBP3-44206]

Staining of mouse hippocampus shows moderate nuclear positivity in granular layer of dentate gyrus.
AUTS2 Antibody (CL7084) - Azide and BSA Free Immunohistochemistry-Paraffin: AUTS2 Antibody [NBP3-44206]

Immunohistochemistry-Paraffin: AUTS2 Antibody [NBP3-44206]

Staining of mouse embryo E14 shows strong nuclear positivity in neuronal cells in developing cerebellum.

Applications for AUTS2 Antibody (CL7084) - Azide and BSA Free

Application
Recommended Usage

Immunohistochemistry-Paraffin

1:200 - 1:500

Western Blot

1 ug/ml
Application Notes
For IHC-Paraffin, HIER pH 6 retrieval is recommended.

Formulation, Preparation, and Storage

Purification

Protein A purified

Reconstitution

Centrifuge the vial of lyophilized antibody at 12,000 x g for 20 seconds. Reconstitute by adding sterile, distilled water to achieve a final antibody concentration of 1mg/ml.

Formulation

Lyophilized from a 0.2 um filtered solution in PBS with Trehalose

Format

Azide and BSA Free

Preservative

No Preservative

Concentration

LYOPH mg/ml

Shipping

The product is shipped at ambient temperature. Upon receipt, store it immediately at the temperature recommended below.

Stability & Storage

Store at 4C short term. Aliquot and store at -20C long term. Avoid freeze-thaw cycles.

Background: AUTS2

AUTS2 - autism susceptibility candidate 2

Alternate Names

autism susceptibility candidate 2, autism susceptibility gene 2 protein, autism-related protein 1, KIAA0442FBRSL2, MGC13140

Gene Symbol

AUTS2

Additional AUTS2 Products

Product Documents for AUTS2 Antibody (CL7084) - Azide and BSA Free

Certificate of Analysis

To download a Certificate of Analysis, please enter a lot number in the search box below.

Product Specific Notices for AUTS2 Antibody (CL7084) - Azide and BSA Free

This product is for research use only and is not approved for use in humans or in clinical diagnosis. Primary Antibodies are guaranteed for 1 year from date of receipt.

Loading...
Loading...
Loading...
Loading...
Loading...