Skip to main content

ATG3/APG3 Antibody

Novus Biologicals, part of Bio-Techne | Catalog # NBP3-09060

Novus Biologicals, part of Bio-Techne
Catalog #
Availability
Size / Price
Qty
Loading...
NBP3-09060

Key Product Details

Species Reactivity

Human, Mouse

Applications

Immunohistochemistry, Immunohistochemistry-Paraffin, Western Blot

Label

Unconjugated

Antibody Source

Polyclonal Rabbit IgG

Concentration

1 mg/ml

Product Specifications

Immunogen

Recombinant protein within human ATG3/APG3 aa 40-270. (SwissProt: Q9NT62 Human)

Localization

Cytoplasm.

Clonality

Polyclonal

Host

Rabbit

Isotype

IgG

Theoretical MW

36 kDa.
Disclaimer note: The observed molecular weight of the protein may vary from the listed predicted molecular weight due to post translational modifications, post translation cleavages, relative charges, and other experimental factors.

Description

Novus Biologicals Rabbit ATG3/APG3 Antibody (NBP3-09060) is a polyclonal antibody validated for use in IHC and WB. All Novus Biologicals antibodies are covered by our 100% guarantee.

Scientific Data Images for ATG3/APG3 Antibody

Western Blot: ATG3/APG3 Antibody [NBP3-09060]

Western Blot: ATG3/APG3 Antibody [NBP3-09060]

Western Blot: ATG3/APG3 Antibody [NBP3-09060] - Western blot analysis of Apg3 on HL-60 cell lysate using anti-Apg3 antibody at 1/500 dilution.
Immunohistochemistry-Paraffin: ATG3/APG3 Antibody [NBP3-09060]

Immunohistochemistry-Paraffin: ATG3/APG3 Antibody [NBP3-09060]

Immunohistochemistry-Paraffin: ATG3/APG3 Antibody [NBP3-09060] - Immunohistochemical analysis of paraffin-embedded human small intestine tissue using anti-Apg3 antibody. Counter stained with hematoxylin.
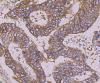
Immunohistochemistry-Paraffin: ATG3/APG3 Antibody [NBP3-09060]

Immunohistochemistry-Paraffin: ATG3/APG3 Antibody [NBP3-09060]

Immunohistochemistry-Paraffin: ATG3/APG3 Antibody [NBP3-09060] - Immunohistochemical analysis of paraffin-embedded human tonsil tissue using anti-Apg3 antibody. Counter stained with hematoxylin.

Applications for ATG3/APG3 Antibody

Application
Recommended Usage

Immunohistochemistry-Paraffin

1:50-1:200

Western Blot

1:500

Formulation, Preparation, and Storage

Purification

Immunogen affinity purified

Formulation

PBS (pH7.4), 0.2% BSA, 50% Glycerol

Preservative

0.05% Sodium Azide

Concentration

1 mg/ml

Shipping

The product is shipped with polar packs. Upon receipt, store it immediately at the temperature recommended below.

Stability & Storage

Store at 4C short term. Aliquot and store at -20C long term. Avoid freeze-thaw cycles.

Background: ATG3

FUNCTION: GABARAPL1 (GABARAPL2 or GABARAP or MAP1LC3)-modifier protein conjugating enzyme involved in its E2-like covalent binding to PE. ATG7 (E1-like enzyme) facilitates this reaction by forming an E1-E2 complex with ATG3 (E2-like enzyme). Preferred substrate is MAP1LC3A. Formation of the GABARAPL1-PE conjugate is essential for autophagy. SUBUNIT: Interacts with ATG7 and ATG12. The complex, composed of ATG3 and ATG7, plays a role in the conjugation of ATG12 to ATG5. SUBCELLULAR LOCATION: Cytoplasm. ALTERNATIVE PRODUCTS: 2 named isoformsproduced by alternative splicing. TISSUE SPECIFICITY: Widely expressed, with a highest expression in heart, skeletal muscle, kidney, liver and placenta. SIMILARITY: Belongs to the ATG3 family.

Long Name

Autophagy Related 3 Homolog

Alternate Names

APG3L, Apg3p, PC3-96

Gene Symbol

ATG3

Additional ATG3 Products

Product Documents for ATG3/APG3 Antibody

Certificate of Analysis

To download a Certificate of Analysis, please enter a lot number in the search box below.

Product Specific Notices for ATG3/APG3 Antibody

This product is for research use only and is not approved for use in humans or in clinical diagnosis. Primary Antibodies are guaranteed for 1 year from date of receipt.

Loading...
Loading...
Loading...
Loading...