Skip to main content

ATG3/APG3 Antibody (5D2W0)

Novus Biologicals, part of Bio-Techne | Catalog # NBP3-15800

Recombinant Monoclonal Antibody
Novus Biologicals, part of Bio-Techne
Catalog #
Availability
Size / Price
Qty
Loading...
NBP3-15800-100ul
NBP3-15800-20ul

Key Product Details

Species Reactivity

Human, Mouse, Rat

Applications

Immunohistochemistry, Immunohistochemistry-Paraffin, Western Blot

Label

Unconjugated

Antibody Source

Recombinant Monoclonal Rabbit IgG Clone # 5D2W0 expressed in HEK293

Concentration

Please see the vial label for concentration. If unlisted please contact technical services.

Product Specifications

Immunogen

A synthetic peptide corresponding to a sequence within amino acids 1-100 of human ATG3/APG3 (Q9NT62). MQNVINTVKGKALEVAEYLTPVLKESKFKETGVITPEEFVAAGDHLVHHCPTWQWATGEELKVKAYLPTGKQFLVTKNVPCYKRCKQMEYSDELEAIIEE

Clonality

Monoclonal

Host

Rabbit

Isotype

IgG

Scientific Data Images for ATG3/APG3 Antibody (5D2W0)

Western Blot: ATG3/APG3 Antibody (5D2W0) [NBP3-15800]

Western Blot: ATG3/APG3 Antibody (5D2W0) [NBP3-15800]

Western Blot: ATG3/APG3 Antibody (5D2W0) [NBP3-15800] - Western blot analysis of extracts of various cell lines, using ATG3/APG3 antibody (NBP3-15800) at 1:1000 dilution. Secondary antibody: HRP Goat Anti-Rabbit IgG (H+L) at 1:10000 dilution. Lysates/proteins: 25ug per lane. Blocking buffer: 3% nonfat dry milk in TBST. Detection: ECL Basic Kit. Exposure time: 40s.
ATG3/APG3 Antibody (5D2W0)

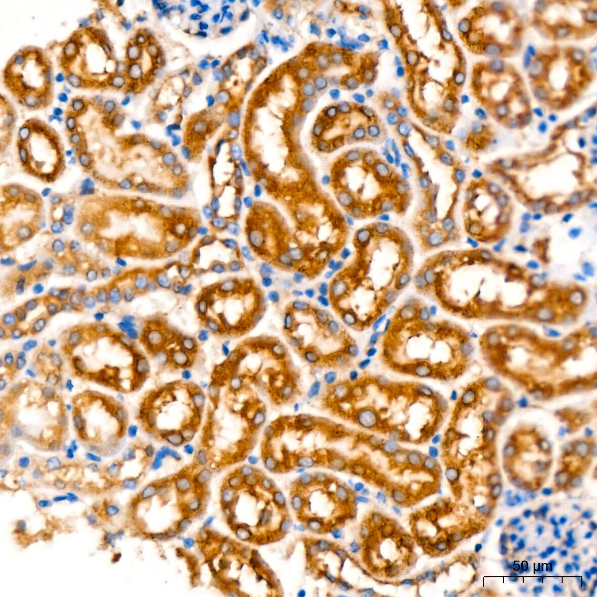
Immunohistochemistry: ATG3/APG3 Antibody (5D2W0) [ATG3/APG3] -

Immunohistochemistry: ATG3/APG3 Antibody (5D2W0) [ATG3/APG3] - Immunohistochemistry analysis of paraffin-embedded Mouse kidney tissue using ATG3/APG3 Rabbit mAb at a dilution of 1:200 (40x lens). High pressure antigen retrieval performed with 0.01M Tris-EDTA Buffer (pH 9.0) prior to IHC staining.
ATG3/APG3 Antibody (5D2W0)

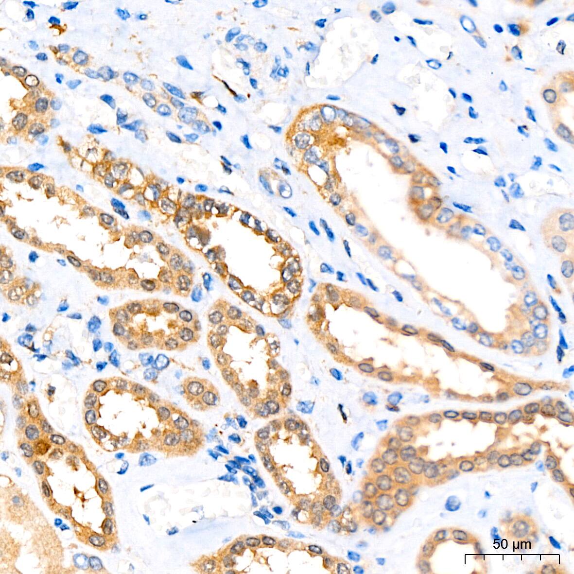
Immunohistochemistry: ATG3/APG3 Antibody (5D2W0) [ATG3/APG3] -

Immunohistochemistry: ATG3/APG3 Antibody (5D2W0) [ATG3/APG3] - Immunohistochemistry analysis of paraffin-embedded Human placenta tissue using ATG3/APG3 Rabbit mAb at a dilution of 1:200 (40x lens). High pressure antigen retrieval performed with 0.01M Citrate Bufferr (pH 6.0) prior to IHC staining.

Applications for ATG3/APG3 Antibody (5D2W0)

Application
Recommended Usage

Immunohistochemistry

1:50 - 1:200

Western Blot

1:500 - 1:1000

Formulation, Preparation, and Storage

Purification

Affinity purified

Formulation

PBS (pH 7.3), 50% glycerol, 0.05% BSA

Preservative

0.02% Sodium Azide

Concentration

Please see the vial label for concentration. If unlisted please contact technical services.

Shipping

The product is shipped with polar packs. Upon receipt, store it immediately at the temperature recommended below.

Stability & Storage

Store at -20C. Avoid freeze-thaw cycles.

Background: ATG3

FUNCTION: GABARAPL1 (GABARAPL2 or GABARAP or MAP1LC3)-modifier protein conjugating enzyme involved in its E2-like covalent binding to PE. ATG7 (E1-like enzyme) facilitates this reaction by forming an E1-E2 complex with ATG3 (E2-like enzyme). Preferred substrate is MAP1LC3A. Formation of the GABARAPL1-PE conjugate is essential for autophagy. SUBUNIT: Interacts with ATG7 and ATG12. The complex, composed of ATG3 and ATG7, plays a role in the conjugation of ATG12 to ATG5. SUBCELLULAR LOCATION: Cytoplasm. ALTERNATIVE PRODUCTS: 2 named isoformsproduced by alternative splicing. TISSUE SPECIFICITY: Widely expressed, with a highest expression in heart, skeletal muscle, kidney, liver and placenta. SIMILARITY: Belongs to the ATG3 family.

Long Name

Autophagy Related 3 Homolog

Alternate Names

APG3L, Apg3p, PC3-96

Gene Symbol

ATG3

Additional ATG3 Products

Product Documents for ATG3/APG3 Antibody (5D2W0)

Certificate of Analysis

To download a Certificate of Analysis, please enter a lot number in the search box below.

Product Specific Notices for ATG3/APG3 Antibody (5D2W0)

This product is for research use only and is not approved for use in humans or in clinical diagnosis. Primary Antibodies are guaranteed for 1 year from date of receipt.

Loading...
Loading...
Loading...
Loading...