Skip to main content

ATF4 [p Ser245] Antibody - BSA Free

Novus Biologicals, part of Bio-Techne | Catalog # NB100-81802

Novus Biologicals, part of Bio-Techne
Catalog #
Availability
Size / Price
Qty
Loading...
NB100-81802
NB100-81802-0.025ml

Key Product Details

Validated by

Biological Validation

Species Reactivity

Human, Mouse, Rat

Applications

Validated:

Immunohistochemistry, Immunohistochemistry-Paraffin, Western Blot, Immunocytochemistry/ Immunofluorescence

Cited:

Immunocytochemistry/ Immunofluorescence

Label

Unconjugated

Antibody Source

Polyclonal Rabbit IgG

Format

BSA Free

Concentration

1.0 mg/ml

Product Specifications

Immunogen

The antiserum was produced against synthesized phosphopeptide derived from human ATF4 around the phosphorylation site of serine 245 (N-R-SP-L-P).

Modification

p Ser245

Specificity

Detects endogenous levels of ATF4 only when phosphorylated at serine 245.

Clonality

Polyclonal

Host

Rabbit

Isotype

IgG

Theoretical MW

45 kDa.
Disclaimer note: The observed molecular weight of the protein may vary from the listed predicted molecular weight due to post translational modifications, post translation cleavages, relative charges, and other experimental factors.

Scientific Data Images for ATF4 [p Ser245] Antibody - BSA Free

Western Blot: ATF4 [p Ser245] Antibody [NB100-81802] -

Western Blot: ATF4 [p Ser245] Antibody [NB100-81802] - Analysis of extracts from Hela cells untreated or treated with UV using NB100-81802
ATF4 [p Ser245] Antibody

Immunohistochemistry-Paraffin: ATF4 [p Ser245] Antibody [NB100-81802] -

Immunohistochemistry-Paraffin: ATF4 [p Ser245] Antibody [NB100-81802] - Immunohistochemical staining in human breast cancer formalin fixed paraffin-embedded tissue section.
ATF4 [p Ser245] Antibody

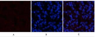
Immunocytochemistry/ Immunofluorescence: ATF4 [p Ser245] Antibody [NB100-81802] -

Immunocytochemistry/ Immunofluorescence: ATF4 [p Ser245] Antibody [NB100-81802] - Immunofluorescent staining in A549 cells.

Applications for ATF4 [p Ser245] Antibody - BSA Free

Application
Recommended Usage

Immunocytochemistry/ Immunofluorescence

1:50-1:200

Immunohistochemistry

1:50-1:100

Immunohistochemistry-Paraffin

1:50-1:100

Western Blot

1:500-1:1000

Formulation, Preparation, and Storage

Purification

Immunogen affinity purified

Formulation

0.42% Potassium phosphate, 0.87% Sodium chloride, pH 7.3, 30% glycerol

Format

BSA Free

Preservative

0.01% Sodium Azide

Concentration

1.0 mg/ml

Shipping

The product is shipped with polar packs. Upon receipt, store it immediately at the temperature recommended below.

Stability & Storage

Store at 4C short term. Aliquot and store at -20C long term. Avoid freeze-thaw cycles.

Background: ATF4

ATF4 is a transcription factor that was originally identified as a widely expressed mammalian DNA binding protein that could bind a tax-responsive enhancer element in the LTR of HTLV1. The encoded protein was also isolated and characterized as the cAMP-response element binding protein 2 (CREB2). The protein encoded by this gene belongs to a family of DNA-binding proteins that includes the AP1 family of transcription factors, cAMP-response element binding proteins (CREBs) and CREB-like proteins. These transcription factors share a leucine zipper region that is involved in protein-protein interactions, located C-terminal to a stretch of basic amino acids that functions as a DNA binding domain (referenced from Entrez gene).

Long Name

Activating Transcription Factor 4

Alternate Names

TAXREB67, TXREB

Entrez Gene IDs

468 (Human)

Gene Symbol

ATF4

UniProt

Additional ATF4 Products

Product Documents for ATF4 [p Ser245] Antibody - BSA Free

Certificate of Analysis

To download a Certificate of Analysis, please enter a lot number in the search box below.

Product Specific Notices for ATF4 [p Ser245] Antibody - BSA Free

This product is for research use only and is not approved for use in humans or in clinical diagnosis. Primary Antibodies are guaranteed for 1 year from date of receipt.

Loading...
Loading...
Loading...
Loading...