Skip to main content

Aspartate Aminotransferase Antibody - BSA Free

Novus Biologicals, part of Bio-Techne | Catalog # NBP3-38190

Novus Biologicals, part of Bio-Techne
Catalog #
Availability
Size / Price
Qty
Loading...
NBP3-38190-20ul
NBP3-38190-100ul

Key Product Details

Species Reactivity

Human, Mouse, Rat

Applications

Immunohistochemistry, Immunohistochemistry-Paraffin, Western Blot, ELISA, Immunocytochemistry/ Immunofluorescence

Label

Unconjugated

Antibody Source

Polyclonal Rabbit IgG

Format

BSA Free

Concentration

Please see the vial label for concentration. If unlisted please contact technical services.

Product Specifications

Immunogen

Recombinant fusion protein containing a sequence corresponding to amino acids 244-413 of human Aspartate Aminotransferase (NP_002070.1).

Sequence:
FVSEGFEFFCAQSFSKNFGLYNERVGNLTVVGKEPESILQVLSQMEKIVRITWSNPPAQGARIVASTLSNPELFEEWTGNVKTMADRILTMRSELRARLEALKTPGTWNHITDQIGMFSFTGLNPKQVEYLVNEKHIYLLPSGRINVSGLTTKNLDYVATSIHEAVTKIQ

Clonality

Polyclonal

Host

Rabbit

Isotype

IgG

Theoretical MW

46 kDa.
Disclaimer note: The observed molecular weight of the protein may vary from the listed predicted molecular weight due to post translational modifications, post translation cleavages, relative charges, and other experimental factors.

Description

Novus Biologicals Rabbit Aspartate Aminotransferase Antibody - BSA Free (NBP3-38190) is a polyclonal antibody validated for use in IHC, WB, ELISA and ICC/IF. All Novus Biologicals antibodies are covered by our 100% guarantee.

Scientific Data Images for Aspartate Aminotransferase Antibody - BSA Free

Aspartate Aminotransferase Antibody

Immunohistochemistry: Aspartate Aminotransferase Antibody [NBP3-38190] -

Immunohistochemistry: Aspartate Aminotransferase Antibody [NBP3-38190] - Immunohistochemistry analysis of paraffin-embedded Human lung cancer using Aspartate Aminotransferase Rabbit pAb at dilution of 1:100 (40x lens). Microwave antigen retrieval performed with 0.01M PBS Buffer (pH 7.2) prior to IHC staining.
Aspartate Aminotransferase Antibody

Immunohistochemistry: Aspartate Aminotransferase Antibody [NBP3-38190] -

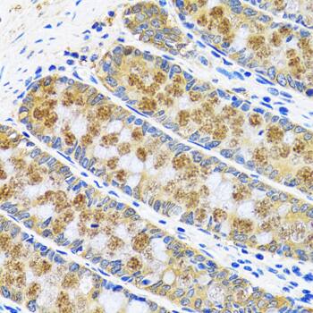
Immunohistochemistry: Aspartate Aminotransferase Antibody [NBP3-38190] - Immunohistochemistry analysis of paraffin-embedded Human colon using Aspartate Aminotransferase Rabbit pAb at dilution of 1:100 (40x lens). Microwave antigen retrieval performed with 0.01M PBS Buffer (pH 7.2) prior to IHC staining.
Aspartate Aminotransferase Antibody

Western Blot: Aspartate Aminotransferase Antibody [NBP3-38190] -

Western Blot: Aspartate Aminotransferase Antibody [NBP3-38190] - Western blot analysis of various lysates using Aspartate Aminotransferase Rabbit pAb at 1:1000 dilution.
Secondary antibody: HRP-conjugated Goat anti-Rabbit IgG (H+L) at 1:10000 dilution.
Lysates/proteins: 25ug per lane.
Blocking buffer: 3% nonfat dry milk in TBST.
Detection: ECL Basic Kit.
Exposure time: 5s.

Applications for Aspartate Aminotransferase Antibody - BSA Free

Application
Recommended Usage

Immunocytochemistry/ Immunofluorescence

1:10 - 1:100

Immunohistochemistry-Paraffin

1:50 - 1:200

Western Blot

1:500 - 1:1000

Formulation, Preparation, and Storage

Purification

Affinity purified

Formulation

PBS (pH 7.3), 50% glycerol

Format

BSA Free

Preservative

0.02% Sodium Azide

Concentration

Please see the vial label for concentration. If unlisted please contact technical services.

Shipping

The product is shipped with polar packs. Upon receipt, store it immediately at the temperature recommended below.

Stability & Storage

Store at -20C. Avoid freeze-thaw cycles.

Background: Aspartate Aminotransferase

Glutamic-oxaloacetic transaminase is a pyridoxal phosphate-dependent enzyme which exists in cytoplasmic and mitochondrial forms, GOT1 and GOT2, respectively. GOT plays a role in amino acid metabolism and the urea and tricarboxylic acid cycles. The two enzymes are homodimeric and show close homology. [provided by RefSeq]

Long Name

Glutamic-oxaloacetic transaminase 1

Alternate Names

aspartate aminotransferase, cytoplasmic, AST1, ASTQTL1, CASPAT, CCAT, Cysteine aminotransferase, cytoplasmic, Cysteine transaminase, cytoplasmic, EC 2.6.1.1, EC 2.6.1.3, GIG18, Glutamate oxaloacetate transaminase 1, glutamic-oxaloacetic transaminase 1, soluble (aspartate aminotransferase 1), GOT1, growth-inhibiting protein 18, SGOT, Transaminase A

Gene Symbol

GOT1

Additional Aspartate Aminotransferase Products

Product Documents for Aspartate Aminotransferase Antibody - BSA Free

Certificate of Analysis

To download a Certificate of Analysis, please enter a lot number in the search box below.

Product Specific Notices for Aspartate Aminotransferase Antibody - BSA Free

This product is for research use only and is not approved for use in humans or in clinical diagnosis. Primary Antibodies are guaranteed for 1 year from date of receipt.

Loading...
Loading...
Loading...
Loading...