Skip to main content

Aspartate Aminotransferase Antibody - BSA Free

Novus Biologicals, part of Bio-Techne | Catalog # NBP2-57518

Novus Biologicals, part of Bio-Techne
Catalog #
Availability
Size / Price
Qty
Loading...
NBP2-57518

Key Product Details

Validated by

Orthogonal Validation, Independent Antibodies

Species Reactivity

Validated:

Human

Cited:

Mouse, Rat

Predicted:

Mouse (96%), Rat (91%). Backed by our 100% Guarantee.

Applications

Validated:

Immunohistochemistry, Immunohistochemistry-Paraffin, Western Blot, Immunocytochemistry/ Immunofluorescence

Cited:

Immunohistochemistry-Paraffin, Western Blot

Label

Unconjugated

Antibody Source

Polyclonal Rabbit IgG

Format

BSA Free

Concentration

Concentrations vary lot to lot. See vial label for concentration. If unlisted please contact technical services.

Product Specifications

Immunogen

This antibody was developed against a recombinant protein corresponding to the following amino acid sequence: IGMFSFTGLNPKQVEYLVNEKHIYLLPSGRINVSGLTTKNLDYVATSIHEAVTKIQ

Clonality

Polyclonal

Host

Rabbit

Isotype

IgG

Description

Novus Biologicals Rabbit Aspartate Aminotransferase Antibody - BSA Free (NBP2-57518) is a polyclonal antibody validated for use in IHC, WB and ICC/IF. Anti-Aspartate Aminotransferase Antibody: Cited in 1 publication. All Novus Biologicals antibodies are covered by our 100% guarantee.

Scientific Data Images for Aspartate Aminotransferase Antibody - BSA Free

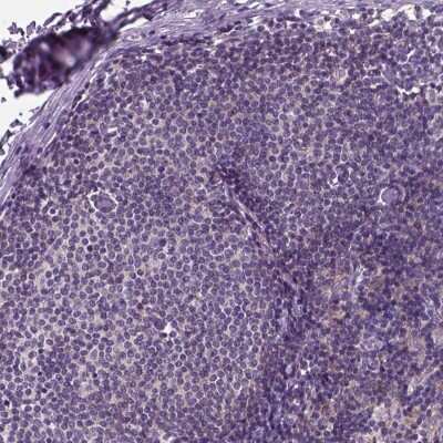
Immunohistochemistry-Paraffin: Aspartate Aminotransferase Antibody [NBP2-57518]

Immunohistochemistry-Paraffin: Aspartate Aminotransferase Antibody [NBP2-57518]

Immunohistochemistry-Paraffin: Aspartate Aminotransferase Antibody [NBP2-57518] - Staining in human heart muscle and lymph node tissues using anti-GOT1 antibody. Corresponding GOT1 RNA-seq data are presented for the same tissues.
Western Blot: Aspartate Aminotransferase Antibody [NBP2-57518]

Western Blot: Aspartate Aminotransferase Antibody [NBP2-57518]

Western Blot: Aspartate Aminotransferase Antibody [NBP2-57518] - Analysis using Anti-GOT1 antibody NBP2-57518 (A) shows similar pattern to independent antibody NBP2-55813 (B).
Immunocytochemistry/ Immunofluorescence: Aspartate Aminotransferase Antibody [NBP2-57518]

Immunocytochemistry/ Immunofluorescence: Aspartate Aminotransferase Antibody [NBP2-57518]

Immunocytochemistry/Immunofluorescence: Aspartate Aminotransferase Antibody [NBP2-57518] - Staining of human cell line U-2 OS shows localization to nucleoplasm & cytosol. Antibody staining is shown in green.

Applications for Aspartate Aminotransferase Antibody - BSA Free

Application
Recommended Usage

Immunocytochemistry/ Immunofluorescence

0.25-2 ug/ml

Immunohistochemistry

1:1000 - 1:2500

Immunohistochemistry-Paraffin

1:1000 - 1:2500

Western Blot

0.04-0.4 ug/ml
Application Notes
For IHC-Paraffin, HIER pH 6 retrieval is recommended. ICC/IF Fixation Permeabilization: Use PFA/Triton X-100.

Formulation, Preparation, and Storage

Purification

Affinity purified

Formulation

PBS (pH 7.2) and 40% Glycerol

Format

BSA Free

Preservative

0.02% Sodium Azide

Concentration

Concentrations vary lot to lot. See vial label for concentration. If unlisted please contact technical services.

Shipping

The product is shipped with polar packs. Upon receipt, store it immediately at the temperature recommended below.

Stability & Storage

Store at 4C short term. Aliquot and store at -20C long term. Avoid freeze-thaw cycles.

Background: Aspartate Aminotransferase

Glutamic-oxaloacetic transaminase is a pyridoxal phosphate-dependent enzyme which exists in cytoplasmic and mitochondrial forms, GOT1 and GOT2, respectively. GOT plays a role in amino acid metabolism and the urea and tricarboxylic acid cycles. The two enzymes are homodimeric and show close homology. [provided by RefSeq]

Long Name

Glutamic-oxaloacetic transaminase 1

Alternate Names

aspartate aminotransferase, cytoplasmic, AST1, ASTQTL1, CASPAT, CCAT, Cysteine aminotransferase, cytoplasmic, Cysteine transaminase, cytoplasmic, EC 2.6.1.1, EC 2.6.1.3, GIG18, Glutamate oxaloacetate transaminase 1, glutamic-oxaloacetic transaminase 1, soluble (aspartate aminotransferase 1), GOT1, growth-inhibiting protein 18, SGOT, Transaminase A

Gene Symbol

GOT1

Additional Aspartate Aminotransferase Products

Product Documents for Aspartate Aminotransferase Antibody - BSA Free

Certificate of Analysis

To download a Certificate of Analysis, please enter a lot number in the search box below.

Product Specific Notices for Aspartate Aminotransferase Antibody - BSA Free

This product is for research use only and is not approved for use in humans or in clinical diagnosis. Primary Antibodies are guaranteed for 1 year from date of receipt.

Loading...
Loading...
Loading...
Loading...