Skip to main content

ARMT1 Antibody - BSA Free

Novus Biologicals, part of Bio-Techne | Catalog # NBP1-82277

Novus Biologicals, part of Bio-Techne
Catalog #
Availability
Size / Price
Qty
Loading...
NBP1-82277

Key Product Details

Species Reactivity

Human

Applications

Immunohistochemistry, Immunohistochemistry-Paraffin, Western Blot, Immunocytochemistry/ Immunofluorescence

Label

Unconjugated

Antibody Source

Polyclonal Rabbit IgG

Format

BSA Free

Concentration

Concentrations vary lot to lot. See vial label for concentration. If unlisted please contact technical services.

Product Specifications

Immunogen

This antibody was developed against Recombinant Protein corresponding to amino acids: VEAEKKAISLLSKLRNELQTDKPFIPLVEKFVDTDIWNQYLEYQQSLLNESDGKSRWFYSPWLLVECYMYRRIHEAIIQSPPIDYFDVFKESKEQNFYGSQESIIALCTHLQQLIRTIEDL

Reactivity Notes

Immunogen displays the following percentage of sequence identity for non-tested species: Rat (81%)

Clonality

Polyclonal

Host

Rabbit

Isotype

IgG

Description

Novus Biologicals Rabbit ARMT1 Antibody - BSA Free (NBP1-82277) is a polyclonal antibody validated for use in IHC, WB and ICC/IF. All Novus Biologicals antibodies are covered by our 100% guarantee.

Scientific Data Images for ARMT1 Antibody - BSA Free

Western Blot: ARMT1 Antibody [NBP1-82277]

Western Blot: ARMT1 Antibody [NBP1-82277]

Western Blot: ARMT1 Antibody [NBP1-82277] - Analysis in control (vector only transfected HEK293T lysate) and C6orf211 over-expression lysate (Co-expressed with a C-terminal myc-DDK tag (3.1 kDa) in mammalian HEK293T cells).
Immunocytochemistry/ Immunofluorescence: ARMT1 Antibody [NBP1-82277]

Immunocytochemistry/ Immunofluorescence: ARMT1 Antibody [NBP1-82277]

Immunocytochemistry/Immunofluorescence: ARMT1 Antibody [NBP1-82277] - Staining of human cell line U-251 MG shows localization to nucleus, nuclear bodies & cytosol.
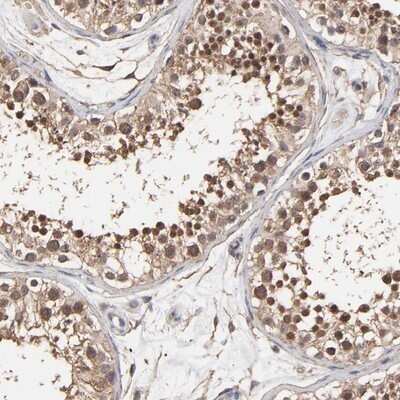
Immunohistochemistry-Paraffin: ARMT1 Antibody [NBP1-82277]

Immunohistochemistry-Paraffin: ARMT1 Antibody [NBP1-82277]

Immunohistochemistry-Paraffin: ARMT1 Antibody [NBP1-82277] - Staining of human testis shows strong cytoplasmic positivity in cells in seminiferus ducts.

Applications for ARMT1 Antibody - BSA Free

Application
Recommended Usage

Immunocytochemistry/ Immunofluorescence

0.25-2 ug/ml

Immunohistochemistry

1:200 - 1:500

Immunohistochemistry-Paraffin

1:200 - 1:500

Western Blot

0.04-0.4 ug/ml
Application Notes
For IHC-Paraffin, HIER pH 6 retrieval is recommended. Immunocytochemistry/Immunofluorescence Fixation Permeabilization: Use PFA/Triton X-100.

Formulation, Preparation, and Storage

Purification

Affinity purified

Formulation

PBS (pH 7.2) and 40% Glycerol

Format

BSA Free

Preservative

0.02% Sodium Azide

Concentration

Concentrations vary lot to lot. See vial label for concentration. If unlisted please contact technical services.

Shipping

The product is shipped with polar packs. Upon receipt, store it immediately at the temperature recommended below.

Stability & Storage

Store at 4C short term. Aliquot and store at -20C long term. Avoid freeze-thaw cycles.

Background: ARMT1

Alternate Names

C6orf211

Gene Symbol

ARMT1

Additional ARMT1 Products

Product Documents for ARMT1 Antibody - BSA Free

Certificate of Analysis

To download a Certificate of Analysis, please enter a lot number in the search box below.

Product Specific Notices for ARMT1 Antibody - BSA Free

This product is for research use only and is not approved for use in humans or in clinical diagnosis. Primary Antibodies are guaranteed for 1 year from date of receipt.

Loading...
Loading...
Loading...
Loading...