Skip to main content

Angiopoietin-like Protein 5/ANGPTL5 Antibody

Novus Biologicals, part of Bio-Techne | Catalog # NBP3-12379

Novus Biologicals, part of Bio-Techne
Catalog #
Availability
Size / Price
Qty
Loading...
NBP3-12379

Key Product Details

Species Reactivity

Human

Applications

Immunohistochemistry, Immunohistochemistry-Paraffin, Western Blot, ELISA, Immunoprecipitation

Label

Unconjugated

Antibody Source

Polyclonal Rabbit

Concentration

Please see the vial label for concentration. If unlisted please contact technical services.

Product Specifications

Immunogen

Synthetic peptide taken within amino acid region 340-388 on human ANGPTL5 protein.

Clonality

Polyclonal

Host

Rabbit

Description

Novus Biologicals Rabbit Angiopoietin-like Protein 5/ANGPTL5 Antibody (NBP3-12379) is a polyclonal antibody validated for use in IHC, WB, ELISA and IP. All Novus Biologicals antibodies are covered by our 100% guarantee.

Scientific Data Images for Angiopoietin-like Protein 5/ANGPTL5 Antibody

Western Blot: Angiopoietin-like Protein 5/ANGPTL5 Antibody [NBP3-12379]

Western Blot: Angiopoietin-like Protein 5/ANGPTL5 Antibody [NBP3-12379]

Western Blot: Angiopoietin-like Protein 5/ANGPTL5 Antibody [NBP3-12379] - 1:500 Antibody dilution in DiluObuffer. Apparent MW is 47 KDa.
Immunohistochemistry-Paraffin: Angiopoietin-like Protein 5/ANGPTL5 Antibody [NBP3-12379]

Immunohistochemistry-Paraffin: Angiopoietin-like Protein 5/ANGPTL5 Antibody [NBP3-12379]

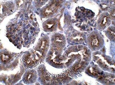
Immunohistochemistry-Paraffin: Angiopoietin-like Protein 5/ANGPTL5 Antibody [NBP3-12379] - Mouse kidney. 1:50 dilution in IHC blocking buffer. DAB (brown) staining and Hematoxylin QS (blue) counterstain. 40X magnification.
Immunohistochemistry-Paraffin: Angiopoietin-like Protein 5/ANGPTL5 Antibody [NBP3-12379]

Immunohistochemistry-Paraffin: Angiopoietin-like Protein 5/ANGPTL5 Antibody [NBP3-12379]

Immunohistochemistry-Paraffin: Angiopoietin-like Protein 5/ANGPTL5 Antibody [NBP3-12379] - Rat small intestine. 1:50 dilution in IHC blocking buffer. DAB (brown) staining and Hematoxylin QS (blue) counterstain. 40X magnification.

Applications for Angiopoietin-like Protein 5/ANGPTL5 Antibody

Application
Recommended Usage

ELISA

1:1000

Immunoprecipitation

1:200

Western Blot

1:500

Formulation, Preparation, and Storage

Purification

Affinity purified

Formulation

Contains Tris, HCl/glycine buffer (pH 7.4-7.8), 30% glycerol, 0.5% BSA, along with cryo-protective agents, and HEPES (exact storage and stabilization buffer information is proprietary).

Preservative

0.02% Sodium Azide

Concentration

Please see the vial label for concentration. If unlisted please contact technical services.

Shipping

The product is shipped with polar packs. Upon receipt, store it immediately at the temperature recommended below.

Stability & Storage

Store at 4C short term. Store at -20C long term. Avoid freeze-thaw cycles.

Background: Angiopoietin-like Protein 5/ANGPTL5

ANGPTL5( AAH49170, 1 a.a. - 389 a.a.) full-length recombinant protein with GST.

Alternate Names

Angiopoietin like Protein 5, ANGPTL5

Gene Symbol

ANGPTL5

Additional Angiopoietin-like Protein 5/ANGPTL5 Products

Product Documents for Angiopoietin-like Protein 5/ANGPTL5 Antibody

Certificate of Analysis

To download a Certificate of Analysis, please enter a lot number in the search box below.

Product Specific Notices for Angiopoietin-like Protein 5/ANGPTL5 Antibody

This product is for research use only and is not approved for use in humans or in clinical diagnosis. Primary Antibodies are guaranteed for 1 year from date of receipt.

Loading...
Loading...
Loading...
Loading...