Skip to main content

Aminopeptidase B/RNPEP Antibody - BSA Free

Novus Biologicals, part of Bio-Techne | Catalog # NBP2-54975

Novus Biologicals, part of Bio-Techne
Catalog #
Availability
Size / Price
Qty
Loading...
NBP2-54975
NBP2-54975-25ul

Key Product Details

Species Reactivity

Validated:

Human

Predicted:

Rat (90%). Backed by our 100% Guarantee.

Applications

Immunohistochemistry, Immunohistochemistry-Paraffin, Western Blot, Immunocytochemistry/ Immunofluorescence

Label

Unconjugated

Antibody Source

Polyclonal Rabbit IgG

Format

BSA Free

Concentration

Concentrations vary lot to lot. See vial label for concentration. If unlisted please contact technical services.

Product Specifications

Immunogen

This antibody was developed against a recombinant protein corresponding to the following amino acid sequence: MKPAEELAQLWAAEELDMKAIEAVAISPWKTYQLVYFLDKILQKSPLPPGNVKKLGDTYPSISNARNAELRLRWGQI

Reactivity Notes

Mouse 87%

Clonality

Polyclonal

Host

Rabbit

Isotype

IgG

Scientific Data Images for Aminopeptidase B/RNPEP Antibody - BSA Free

Immunocytochemistry/ Immunofluorescence: Aminopeptidase B/RNPEP Antibody [NBP2-54975]

Immunocytochemistry/ Immunofluorescence: Aminopeptidase B/RNPEP Antibody [NBP2-54975]

Immunocytochemistry/Immunofluorescence: Aminopeptidase B/RNPEP Antibody [NBP2-54975] - Staining of human cell line U-2 OS shows localization to nucleoplasm & the Golgi apparatus.
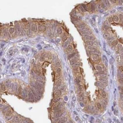
Immunohistochemistry-Paraffin: Aminopeptidase B/RNPEP Antibody [NBP2-54975]

Immunohistochemistry-Paraffin: Aminopeptidase B/RNPEP Antibody [NBP2-54975]

Immunohistochemistry-Paraffin: Aminopeptidase B/RNPEP Antibody [NBP2-54975] - Immunohistochemical staining of human gallbladder shows moderate cytoplasmic positivity in glandular cells.
Aminopeptidase B/RNPEP Antibody

Western Blot: Aminopeptidase B/RNPEP Antibody [NBP2-54975]-

Western Blot: Aminopeptidase B/RNPEP Antibody [NBP2-54975] -Analysis in human cell line SK-BR-3.

Applications for Aminopeptidase B/RNPEP Antibody - BSA Free

Application
Recommended Usage

Immunocytochemistry/ Immunofluorescence

0.25-2 ug/ml

Immunohistochemistry

1:500 - 1:1000

Immunohistochemistry-Paraffin

1:500 - 1:1000

Western Blot

0.04-0.4 ug/ml
Application Notes
For IHC-Paraffin, HIER pH 6 retrieval is recommended. ICC/IF,Fixation Permeabilization: Use PFA/Triton X-100.

Formulation, Preparation, and Storage

Purification

Affinity purified

Formulation

PBS (pH 7.2) and 40% Glycerol

Format

BSA Free

Preservative

0.02% Sodium Azide

Concentration

Concentrations vary lot to lot. See vial label for concentration. If unlisted please contact technical services.

Shipping

The product is shipped with polar packs. Upon receipt, store it immediately at the temperature recommended below.

Stability & Storage

Store at 4C short term. Aliquot and store at -20C long term. Avoid freeze-thaw cycles.

Background: Aminopeptidase B/RNPEP

Exopeptidase which selectively removes arginine and/or lysine residues from the N-terminus of several peptide substrates including Arg(0)-Leu-enkephalin, Arg(0)-Met-enkephalin and Arg(-1)-Lys(0)-somatostatin-14. Can hydrolyze leukotriene A4 (LTA-4) into leukotriene B4 (LTB-4)

Alternate Names

APB, Arginyl Aminopeptidase, RNPEP

Gene Symbol

RNPEP

Additional Aminopeptidase B/RNPEP Products

Product Documents for Aminopeptidase B/RNPEP Antibody - BSA Free

Certificate of Analysis

To download a Certificate of Analysis, please enter a lot number in the search box below.

Product Specific Notices for Aminopeptidase B/RNPEP Antibody - BSA Free

This product is for research use only and is not approved for use in humans or in clinical diagnosis. Primary Antibodies are guaranteed for 1 year from date of receipt.

Loading...
Loading...
Loading...
Loading...