Skip to main content

AMFR/gp78 Antibody - BSA Free

Novus Biologicals, part of Bio-Techne | Catalog # NBP2-97986

Novus Biologicals, part of Bio-Techne

Key Product Details

Species Reactivity

Human

Applications

Immunohistochemistry, Immunohistochemistry-Paraffin

Label

Unconjugated

Antibody Source

Polyclonal Rabbit IgG

Format

BSA Free

Concentration

Please see the vial label for concentration. If unlisted please contact technical services.

Product Specifications

Immunogen

Produced in rabbits immunized with E. coli-derived Human AMFR/gp78 fragment.

Clonality

Polyclonal

Host

Rabbit

Isotype

IgG

Description

This antibody can be stored at 2C to 8C for one month without detectable loss of activity. Antibody products are stable for twelve months from date of receipt when stored at -20C to -80C. Avoid repeated freeze-thaw cycles.

Scientific Data Images for AMFR/gp78 Antibody - BSA Free

Immunohistochemistry-Paraffin: AMFR/gp78 Antibody [NBP2-97986]

Immunohistochemistry-Paraffin: AMFR/gp78 Antibody [NBP2-97986]

Immunohistochemistry-Paraffin: AMFR/gp78 Antibody [NBP2-97986] - Staining of human AMFR in human kidney with rabbit polyclonal antibodyat 1:100 dilution.
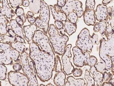
Immunohistochemistry-Paraffin: AMFR/gp78 Antibody [NBP2-97986]

Immunohistochemistry-Paraffin: AMFR/gp78 Antibody [NBP2-97986]

Immunohistochemistry-Paraffin: AMFR/gp78 Antibody [NBP2-97986] - Staining of human AMFR/gp78 in human placenta with rabbit polyclonal antibody at 1:100 dilution.

Applications for AMFR/gp78 Antibody - BSA Free

Application
Recommended Usage

Immunohistochemistry

1:50-1:200

Immunohistochemistry-Paraffin

1:50-1:200

Formulation, Preparation, and Storage

Purification

Antigen and protein A Affinity-purified

Formulation

PBS

Format

BSA Free

Preservative

0.03% Proclin 300

Concentration

Please see the vial label for concentration. If unlisted please contact technical services.

Shipping

The product is shipped with polar packs. Upon receipt, store it immediately at the temperature recommended below.

Stability & Storage

Store at 4C short term. Aliquot and store at -20C long term. Avoid freeze-thaw cycles.

Background: AMFR/gp78

AMFR (Autocrine motility factor receptor, isoform 2) is specific receptor for the autocrine motility factor. AMFR possesses ubiquitin ligase activity and can target both itself and other proteins including CD3D and APOB for proteasomal degradation. AMFR mediates tumor invasion and metastasis. The protein interacts with UBE2G2/UBC7 through a region distinct from the RING finger.

Long Name

Autocrine Motility Factor Receptor

Alternate Names

gp78, RNF45

Gene Symbol

AMFR

Additional AMFR/gp78 Products

Product Documents for AMFR/gp78 Antibody - BSA Free

Certificate of Analysis

To download a Certificate of Analysis, please enter a lot number in the search box below.

Product Specific Notices for AMFR/gp78 Antibody - BSA Free

This product is for research use only and is not approved for use in humans or in clinical diagnosis. Primary Antibodies are guaranteed for 1 year from date of receipt.

Loading...
Loading...
Loading...
Loading...