Skip to main content

alpha-Smooth Muscle Actin Antibody (ACTA2/791) - Azide and BSA Free

Novus Biologicals, part of Bio-Techne | Catalog # NBP2-47698

Novus Biologicals, part of Bio-Techne
Catalog #
Availability
Size / Price
Qty
Loading...
NBP2-47698-0.1mg

Key Product Details

Species Reactivity

Human, Rat

Applications

Immunohistochemistry, Immunohistochemistry-Paraffin, Flow Cytometry, Flow (Intracellular), Immunofluorescence, Immunocytochemistry/ Immunofluorescence, CyTOF-ready

Label

Unconjugated

Antibody Source

Monoclonal Mouse IgG2a Kappa Clone # ACTA2/791

Format

Azide and BSA Free

Concentration

1.0 mg/ml

Product Specifications

Immunogen

Recombinant full-length human alpha-Smooth Muscle Actin protein (Uniprot: P62736)

Reactivity Notes

Predicted to show a broad reactivity.

Localization

Cytoplasmic

Specificity

Actin is a major component of the cytoskeleton and is present in most cell types. It is highly specific to actin from smooth muscles. This monoclonal antibody does not stain cardiac or skeletal muscle; however, it does stain myofibroblasts and myoepithelial cells. This antibody could be used together with anti-muscle specific actin and myogenin in making a diagnosis of smooth muscle and skeletal muscle tumors. In most cases of rhabdomyosarcoma, this antibody yields negative results whereas anti-muscle specific actin and myogenin are positive. Leiomyosarcomas are positive only with anti-muscle specific actin and anti-smooth muscle actin and are negative with anti-myogenin.

Marker

Leiomyosarcoma Marker

Clonality

Monoclonal

Host

Mouse

Isotype

IgG2a Kappa

Theoretical MW

42 kDa.
Disclaimer note: The observed molecular weight of the protein may vary from the listed predicted molecular weight due to post translational modifications, post translation cleavages, relative charges, and other experimental factors.

Description

1.0 mg/ml of antibody purified from Bioreactor Concentrate by Protein A/G. Prepared in 10mM PBS WITHOUT BSA & azide. Also available at 200 ug/ml WITH BSA & azide (NBP2-44463).

Antibody with azide - store at 2 to 8C. Antibody without azide - store at -20 to -80C.

Scientific Data Images for alpha-Smooth Muscle Actin Antibody (ACTA2/791) - Azide and BSA Free

Immunocytochemistry/ Immunofluorescence: alpha-Smooth Muscle Actin Antibody (ACTA2/791) - Azide and BSA Free [NBP2-47698]

Immunocytochemistry/ Immunofluorescence: alpha-Smooth Muscle Actin Antibody (ACTA2/791) - Azide and BSA Free [NBP2-47698]

Immunocytochemistry/Immunofluorescence: alpha-Smooth Muscle Actin Antibody (ACTA2/791) - Azide and BSA Free [NBP2-47698] - Immunofluorescence Analysis of HeLa cells labeling Smooth Muscle Actin with alpha-Smooth Muscle Actin Antibody (ACTA2/791) followed by Goat anti-Mouse IgG-CF488(Green). The nuclear counterstain is NucSpot (Red).
Immunohistochemistry-Paraffin: alpha-Smooth Muscle Actin Antibody (ACTA2/791) - Azide and BSA Free [NBP2-47698]

Immunohistochemistry-Paraffin: alpha-Smooth Muscle Actin Antibody (ACTA2/791) - Azide and BSA Free [NBP2-47698]

Immunohistochemistry-Paraffin: alpha-Smooth Muscle Actin Antibody (ACTA2/791) - Azide and BSA Free [NBP2-47698] - Azide and BSA Free [NBP2-47698] - Paraffin-embedded Human Angiosarcoma stained with alpha-Smooth Muscle Actin Monoclonal Antibody (ACTA2/791).
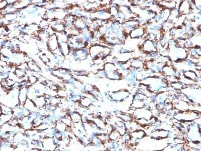
Immunohistochemistry-Paraffin: alpha-Smooth Muscle Actin Antibody (ACTA2/791) - Azide and BSA Free [NBP2-47698]

Immunohistochemistry-Paraffin: alpha-Smooth Muscle Actin Antibody (ACTA2/791) - Azide and BSA Free [NBP2-47698]

Immunohistochemistry-Paraffin: alpha-Smooth Muscle Actin Antibody (ACTA2/791) - Azide and BSA Free [NBP2-47698] - Azide and BSA Free [NBP2-47698] - Paraffin-embedded Human Leiomyosarcoma stained with alpha-Smooth Muscle Actin Monoclonal Antibody (ACTA2/791).

Applications for alpha-Smooth Muscle Actin Antibody (ACTA2/791) - Azide and BSA Free

Application
Recommended Usage

Flow Cytometry

0.5 - 1 ug/million cells in 0.1 ml

Immunofluorescence

0.5 - 1.0 ug/ml

Immunohistochemistry-Paraffin

0.25 - 0.5 ug/ml
Application Notes
Immunohistochemistry (Formalin-fixed): 0.25-0.5ug/ml for 30 minutes at RT. Staining of formalin-fixed tissues requires heating tissue sections in 10mM Tris with 1mM EDTA, pH 9.0, for 45 min at 95C followed by cooling at RT for 20 minutes.
Optimal dilution for a specific application should be determined.
Use in Immunocytochemistry/immunofluorescence reported in scientific literature (PMID: 29383981).

Formulation, Preparation, and Storage

Purification

Protein A or G purified

Formulation

10 mM PBS

Format

Azide and BSA Free

Preservative

No Preservative

Concentration

1.0 mg/ml

Shipping

The product is shipped with polar packs. Upon receipt, store it immediately at the temperature recommended below.

Stability & Storage

Store at -20 to -80C. Avoid freeze-thaw cycles.

Background: alpha-Smooth Muscle Actin

Actin proteins are highly conserved in eukaryotic cells and are involved in cell motility, structure and integrity. Actin and myosin are involved in a myriad of cellular processes including locomotion, secretion, cytoplasmic streaming, phagocytosis and cytokinesis. Actin filaments, along with microtubules, comprise a major component of the cytoskeleton and play essential roles in regulating cell shape and movement. Actin has been found to be expressed in at least six isoforms, each encoded by a separate gene and expressed in a developmentally regulated and tissue-specific manner. Alpha, beta and gamma actin isoforms have been identified. Alpha actins are a major constituent of the contractile apparatus, whereas beta and gamma actins are involved in the regulation of cell motility.

ACTA2 encodes alpha Smooth Muscle Actin and is also known as alpha-actin, alpha-actin-2, aortic smooth muscle or alpha smooth muscle actin (alpha-SMA, SMactin, alpha-SM-actin, ASMA). Alpha Smooth Muscle Actin is frequently used as a marker of smooth muscle differentiation and has a theoretical molecular weight of 42 kDa. Smooth muscle alpha actin is one of a few genes whose expression is predominantly expressed in vascular smooth muscle cells that is used to study myofibroblasts and fibrosis (1). Excessive accumulation of alpha smooth muscle actin-positive (ACTA2+) activated myofibroblasts is observed in Idiopathic pulmonary fibrosis (2). Expression of smooth muscle alpha actin is regulated by cell proliferation and is altered in pathological conditions including atherosclerosis and is common in metastatic cancers (1,3).

References

1. Chakraborty, R., Saddouk, F. Z., Carrao, A. C., Krause, D. S., Greif, D. M., & Martin, K. A. (2019). Promoters to Study Vascular Smooth Muscle. Arterioscler Thromb Vasc Biol, 39(4), 603-612. doi:10.1161/atvbaha.119.312449

2 .El Agha, E., Moiseenko, A., Kheirollahi, V., De Langhe, S., Crnkovic, S., Kwapiszewska, G., . . . Bellusci, S. (2017). Two-Way Conversion between Lipogenic and Myogenic Fibroblastic Phenotypes Marks the Progression and Resolution of Lung Fibrosis. Cell Stem Cell, 20(2), 261-273.e263. doi:10.1016/j.stem.2016.10.004

3. Chen, Y. C., Gonzalez, M. E., Burman, B., Zhao, X., Anwar, T., Tran, M., . . . Kleer, C. G. (2019). Mesenchymal Stem/Stromal Cell Engulfment Reveals Metastatic Advantage in Breast Cancer. Cell Rep, 27(13), 3916-3926.e3915. doi:10.1016/j.celrep.2019.05.084

Long Name

Actin, Alpha 2, Smooth Muscle, Aorta

Alternate Names

AAT6, ACTA2, Actin alpha 2, ACTSA, ACTVS, alphaSmooth Muscle Actin, MYMY5, SMA

Gene Symbol

ACTA2

Additional alpha-Smooth Muscle Actin Products

Product Documents for alpha-Smooth Muscle Actin Antibody (ACTA2/791) - Azide and BSA Free

Certificate of Analysis

To download a Certificate of Analysis, please enter a lot number in the search box below.

Product Specific Notices for alpha-Smooth Muscle Actin Antibody (ACTA2/791) - Azide and BSA Free

This product is for research use only and is not approved for use in humans or in clinical diagnosis. Primary Antibodies are guaranteed for 1 year from date of receipt.

Loading...
Loading...
Loading...
Loading...
Loading...
Loading...