Skip to main content

alpha Glucosidase 2 Antibody (PSH01-52)

Novus Biologicals, part of Bio-Techne | Catalog # NBP3-32366

Recombinant Monoclonal Antibody
Novus Biologicals, part of Bio-Techne
Catalog #
Availability
Size / Price
Qty
Loading...
NBP3-32366

Key Product Details

Species Reactivity

Human, Mouse, Rat

Applications

Immunohistochemistry, Immunohistochemistry-Paraffin, Western Blot, Immunoprecipitation

Label

Unconjugated

Antibody Source

Recombinant Monoclonal Rabbit IgG Clone # PSH01-52 expressed in HEK293

Concentration

1 mg/ml

Product Specifications

Immunogen

Recombinant protein within human alpha Glucosidase 2 aa 29-450. (Uniprot: Q14697)

Localization

Endoplasmic reticulum, Golgi apparatus.

Clonality

Monoclonal

Host

Rabbit

Isotype

IgG

Theoretical MW

107 kDa.
Disclaimer note: The observed molecular weight of the protein may vary from the listed predicted molecular weight due to post translational modifications, post translation cleavages, relative charges, and other experimental factors.

Description

Novus Biologicals Rabbit alpha Glucosidase 2 Antibody (PSH01-52) (NBP3-32366) is a recombinant monoclonal antibody validated for use in IHC, WB and IP. All Novus Biologicals antibodies are covered by our 100% guarantee.

Scientific Data Images for alpha Glucosidase 2 Antibody (PSH01-52)

alpha Glucosidase 2 Antibody (PSH01-52)

Immunoprecipitation: alpha Glucosidase 2 Antibody (PSH01-52) [NBP3-32366]

Immunoprecipitation: alpha Glucosidase 2 Antibody (PSH01-52) [NBP3-32366] - alpha Glucosidase 2 was immunoprecipitated in 0.2mg HeLa cell lysate with NBP3-32366 at 2 ug/25 ul agarose. Western blot was performed from the immunoprecipitate using NBP3-32366 at 1/1,000 dilution. Anti-Rabbit IgG for IP Nano-secondary antibody at 1/5,000 dilution was used for 1 hour at room temperature.

Lane 1: HeLa cell lysate (input)
Lane 2: Rabbit IgG instead of NBP3-32366 in HeLa cell lysate
Lane 3: NBP3-32366 IP in HeLa cell lysate

Blocking/Dilution buffer: 5% NFDM/TBST
Exposure time: 1 minute 21 seconds
alpha Glucosidase 2 Antibody (PSH01-52)

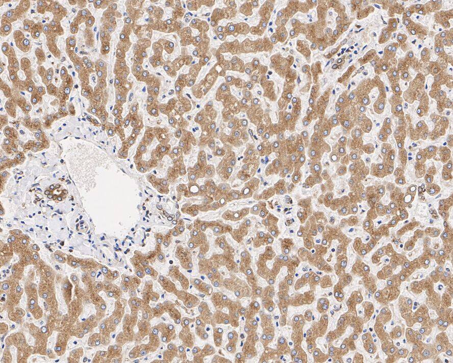
Immunohistochemistry: alpha Glucosidase 2 Antibody (PSH01-52) [NBP3-32366]

Immunohistochemistry: alpha Glucosidase 2 Antibody (PSH01-52) [NBP3-32366] - Immunohistochemical analysis of paraffin-embedded human liver tissue with Rabbit anti-alpha Glucosidase 2 antibody (NBP3-32366) at 1/1,000 dilution.

The section was pre-treated using heat mediated antigen retrieval with Tris-EDTA buffer (pH 9.0) for 20 minutes. The tissues were blocked in 1% BSA for 20 minutes at room temperature, washed with ddH2O and PBS, and then probed with the primary antibody (NBP3-32366) at 1/1,000 dilution for 1 hour at room temperature. The detection was performed using an HRP conjugated compact polymer system. DAB was used as the chromogen. Tissues were counterstained with hematoxylin and mounted with DPX.
alpha Glucosidase 2 Antibody (PSH01-52)

Immunohistochemistry: alpha Glucosidase 2 Antibody (PSH01-52) [NBP3-32366]

Immunohistochemistry: alpha Glucosidase 2 Antibody (PSH01-52) [NBP3-32366] - Immunofluorescence analysis of paraffin-embedded human thyroid tissue labeling alpha Glucosidase 2 with Rabbit anti-alpha Glucosidase 2 antibody (NBP3-32366) at 1/200 dilution.

The section was pre-treated using heat mediated antigen retrieval with Tris-EDTA buffer (pH 9.0) for 20 minutes. The tissues were blocked in 10% negative goat serum for 1 hour at room temperature, washed with PBS, and then probed with the primary antibody (NBP3-32366, green) at 1/200 dilution overnight at 4 ℃, washed with PBS. Goat Anti-Rabbit IgG H&L (iFluor™ 488) was used as the secondary antibody at 1/1,000 dilution. Nuclei were counterstained with DAPI (blue).

Applications for alpha Glucosidase 2 Antibody (PSH01-52)

Application
Recommended Usage

Immunohistochemistry-Paraffin

1:1000

Immunoprecipitation

1-2ug/sample

Western Blot

1:1000-1:5000

Formulation, Preparation, and Storage

Purification

Protein A purified

Formulation

PBS (pH7.4), 0.1% BSA and 40% Glycerol

Preservative

0.05% Sodium Azide

Concentration

1 mg/ml

Shipping

The product is shipped with polar packs. Upon receipt, store it immediately at the temperature recommended below.

Stability & Storage

Store at 4C short term. Aliquot and store at -20C long term. Avoid freeze-thaw cycles.

Background: alpha Glucosidase 2

Glucosidase II is an endoplasmic reticulum localized enzyme that has an important function in the folding and maturation of glycoproteins. Glucosidase II is composed of two soluble proteins: a catalytic alpha-subunit and a beta-subunit of unknown function, both of which are highly conserved in mammals.

Alternate Names

Alpha-glucosidase 2, EC 3.2.1, EC 3.2.1.84, G2ANGLUII, Glucosidase II subunit alpha, glucosidase, alpha; neutral AB, GluII, KIAA0088alpha glucosidase II alpha subunit, neutral alpha-glucosidase AB

Gene Symbol

GANAB

Additional alpha Glucosidase 2 Products

Product Documents for alpha Glucosidase 2 Antibody (PSH01-52)

Certificate of Analysis

To download a Certificate of Analysis, please enter a lot number in the search box below.

Product Specific Notices for alpha Glucosidase 2 Antibody (PSH01-52)

This product is for research use only and is not approved for use in humans or in clinical diagnosis. Primary Antibodies are guaranteed for 1 year from date of receipt.

Loading...
Loading...
Loading...
Loading...