Skip to main content

alpha-Fetoprotein/AFP Antibody (C3)

Novus Biologicals, part of Bio-Techne | Catalog # NBP2-32914

Novus Biologicals, part of Bio-Techne
Catalog #
Availability
Size / Price
Qty
Loading...
NBP2-32914-0.02mg
NBP2-32914-0.1mg

Key Product Details

Validated by

Knockout/Knockdown

Species Reactivity

Human, Porcine, Bovine (Negative), Canine, Monkey, Mouse (Negative), Rat (Negative)

Applications

Validated:

Knockout Validated, Immunohistochemistry, Immunohistochemistry-Paraffin, Sandwich ELISA, Flow (Intracellular)

Cited:

ELISA

Label

Unconjugated

Antibody Source

Monoclonal Mouse IgG2a Kappa Clone # C3

Concentration

0.2 mg/ml

Product Specifications

Immunogen

Alpha feto protein (AFP) Purified from serum of a hepatoma patient (Uniprot: P02771)

Reactivity Notes

Does not react with Bovine, Mouse or Rat.

Localization

Cytoplasmic

Specificity

It recognizes an oncofetal glycoprotein with a single chain of 70kDa, which is identified as alpha-fetoprotein (AFP) (ISOBM TD-2 workshop). This monoclonal antibody is highly specific to AFP and shows no cross-reaction with other oncofetal antigens or serum albumin. AFP is normally synthesized in the liver, intestinal tract, and yolk sac of the fetus. Antibody to AFP has been shown to be useful in detecting hepatocellular carcinomas (HCC) and germ cell neoplasms, especially yolk sac tumors.

Marker

Hepatocellular/Germ Cell Tumor Marker

Clonality

Monoclonal

Host

Mouse

Isotype

IgG2a Kappa

Theoretical MW

70 kDa.
Disclaimer note: The observed molecular weight of the protein may vary from the listed predicted molecular weight due to post translational modifications, post translation cleavages, relative charges, and other experimental factors.

Description

200ug/ml of antibody purified from Bioreactor Concentrate by Protein A or G. Prepared in 10 mM PBS with 0.05% BSA & 0.05% azide. Also available WITHOUT BSA & azide at 1.0 mg/ml. (NBP2-34577)

Antibody with azide - store at 2 to 8C. Antibody without azide - store at -20 to -80C.

Scientific Data Images for alpha-Fetoprotein/AFP Antibody (C3)

Western Blot: alpha-Fetoprotein/AFP Antibody (C3) [NBP2-32914]

Western Blot: alpha-Fetoprotein/AFP Antibody (C3) [NBP2-32914]

Western Blot: alpha-Fetoprotein/AFP Antibody (C3) [NBP2-32914] - Western blot shows lysates of HepG2 human liver carcinoma cells parental cell line and AFP knockout (KO) HepG2 cell line. PVDF membrane was probed with 1.0 ug/mL of Mouse Anti-Human AFP Monoclonal Antibody (Catalog # NBP2-32914) followed by HRP-conjugated Anti-Mouse IgG Secondary Antibody (Catalog #HAF018). Specific band was detected for AFP at approximately 74 kDa (as indicated) in the parental HepG2 cell line, but is not detectable in the knockout HepG2 cell line. This experiment was conducted under reducing conditions.
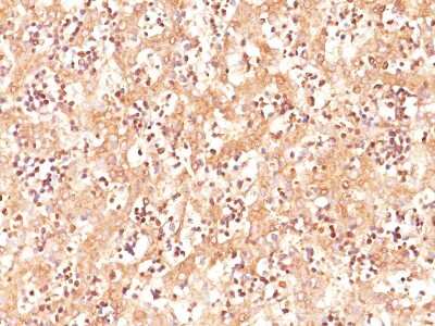
Immunohistochemistry-Paraffin: alpha-Fetoprotein/AFP Antibody (C3) [NBP2-32914]

Immunohistochemistry-Paraffin: alpha-Fetoprotein/AFP Antibody (C3) [NBP2-32914]

Immunohistochemistry-Paraffin: alpha-Fetoprotein/AFP Antibody (C3) [NBP2-32914] - Formalin-fixed, paraffin-embedded human fetal liver stained with AFP MAb (C3).
Flow (Intracellular): alpha-Fetoprotein/AFP Antibody (C3) [NBP2-32914]

Flow (Intracellular): alpha-Fetoprotein/AFP Antibody (C3) [NBP2-32914]

Flow (Intracellular): alpha-Fetoprotein/AFP Antibody (C3) [NBP2-32914] - An intracellular stain was performed on HepG2 cells with alpha-Fetoprotein/AFP Antibody [C3] NBP2-34577AF700 (blue) and a matched isotype control (orange). Cells were fixed with 4% PFA and then permeabilized with 0.1% saponin. Cells were incubated in an antibody dilution of 5 ug/mL for 30 minutes at room temperature. Both antibodies were conjugated to Alexa Fluor 700. Image using the Alexa Fluor 700 Azide and BSA Free format of this antibody.

Applications for alpha-Fetoprotein/AFP Antibody (C3)

Application
Recommended Usage

Immunohistochemistry-Paraffin

1-2 ug/ml
Application Notes
Immunohistochemistry (Formalin-fixed): 1-2ug/ml for 30 minutes at RT. Staining of formalin-fixed tissues requires heating tissue sections in 10mM Tris with 1mM EDTA, pH 9.0, for 45 min at 95C followed by cooling at RT for 20 minutes.
Optimal dilution for a specific application should be determined.
Use in Sandwich -ELISA reported in scientific literature (PMID:31921529).

Formulation, Preparation, and Storage

Purification

Protein A or G purified

Formulation

10 mM PBS with 0.05% BSA

Preservative

0.05% Sodium Azide

Concentration

0.2 mg/ml

Shipping

The product is shipped with polar packs. Upon receipt, store it immediately at the temperature recommended below.

Stability & Storage

Store at 4C.

Background: alpha-Fetoprotein/AFP

Alpha 1 Fetoprotein encodes alpha-fetoprotein, a major plasma protein produced by the yolk sac and the liver during fetal life. Alpha-fetoprotein expression in adults is often associated with hepatoma or teratoma. However, hereditary persistance of alpha-fetoprotein may also be found in individuals with no obvious pathology. The protein is thought to be the fetal counterpart of serum albumin, and the alpha-fetoprotein and albumin genes are present in tandem in the same transcriptional orientation on chromosome 4. Alpha-fetoprotein is found in monomeric as well as dimeric and trimeric forms, and binds copper, nickel, fatty acids and bilirubin. The level of alpha-fetoprotein in amniotic fluid is used to measure renal loss of protein to screen for spina bifida and anencephaly.

Alternate Names

AFP, DSCAM2

Gene Symbol

AFP

UniProt

Additional alpha-Fetoprotein/AFP Products

Product Documents for alpha-Fetoprotein/AFP Antibody (C3)

Certificate of Analysis

To download a Certificate of Analysis, please enter a lot number in the search box below.

Product Specific Notices for alpha-Fetoprotein/AFP Antibody (C3)

This product is for research use only and is not approved for use in humans or in clinical diagnosis. Primary Antibodies are guaranteed for 1 year from date of receipt.

Loading...
Loading...
Loading...
Loading...
Loading...