Skip to main content

Alkaline Phosphatase/ALPP Antibody (8B6) - Azide and BSA Free

Novus Biologicals, part of Bio-Techne | Catalog # NBP2-80568

Novus Biologicals, part of Bio-Techne
Catalog #
Availability
Size / Price
Qty
Loading...
NBP2-80568
Forumulation
Catalog #

Key Product Details

Species Reactivity

Human, Mouse, Rat

Applications

Immunohistochemistry, Immunohistochemistry-Paraffin, Immunohistochemistry-Frozen, Western Blot, ELISA, Flow Cytometry, Immunocytochemistry/ Immunofluorescence, Radioimmunodiffusion

Label

Unconjugated

Antibody Source

Monoclonal Mouse IgG2a Kappa Clone # 8B6

Format

Azide and BSA Free

Concentration

1 mg/ml

Product Specifications

Immunogen

Hep-2 cells with boosted surface expression of Alkaline Phosphatase, Placental. [UniProt# P05187].

Reactivity Notes

Not yet tested in other species. Mouse reactivity reported in scientific literature (PMID: 28197547). Rat reactivity reported in scientific literature (PMID: 30599898).

Localization

Cell membrane; Lipid-anchor > GPI-anchor

Clonality

Monoclonal

Host

Mouse

Isotype

IgG2a Kappa

Theoretical MW

70 kDa.
Disclaimer note: The observed molecular weight of the protein may vary from the listed predicted molecular weight due to post translational modifications, post translation cleavages, relative charges, and other experimental factors.

Description

Novus Biologicals Mouse Alkaline Phosphatase/ALPP Antibody (8B6) - Azide and BSA Free (NB110-3638) is a monoclonal antibody validated for use in IHC, WB, ELISA, Flow and ICC/IF. All Novus Biologicals antibodies are covered by our 100% guarantee.

Scientific Data Images for Alkaline Phosphatase/ALPP Antibody (8B6) - Azide and BSA Free

Western Blot: Alkaline Phosphatase/ALPP Antibody (8B6)Azide and BSA Free [NBP2-80568]

Western Blot: Alkaline Phosphatase/ALPP Antibody (8B6)Azide and BSA Free [NBP2-80568]

Western Blot: Alkaline Phosphatase/ALPP Antibody (8B6) - Azide and BSA Free [NBP2-80568] - Analysis of Alkaline Phosphatase (Placental) expression in JAR whole cell lysate. Image from the standard format of this antibody.
Immunocytochemistry/ Immunofluorescence: Alkaline Phosphatase/ALPP Antibody (8B6) - Azide and BSA Free [NBP2-80568]

Immunocytochemistry/ Immunofluorescence: Alkaline Phosphatase/ALPP Antibody (8B6) - Azide and BSA Free [NBP2-80568]

Immunocytochemistry/Immunofluorescence: Alkaline Phosphatase/ALPP Antibody (8B6) - Azide and BSA Free [NBP2-80568] - analysis of ALPP in MDA-MB-231 cells using an anti-ALPP antibody (blue - cell membrane, green - ALPP). Image from verified customer review. Image from the standard format of this antibody.
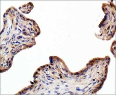
Immunohistochemistry: Alkaline Phosphatase/ALPP Antibody (8B6) - Azide and BSA Free [NBP2-80568]

Immunohistochemistry: Alkaline Phosphatase/ALPP Antibody (8B6) - Azide and BSA Free [NBP2-80568]

Immunohistochemistry: Alkaline Phosphatase/ALPP Antibody (8B6) - Azide and BSA Free [NBP2-80568] - IHC staining of Alkaline Phosphatase (Placental) in human placenta using DAB with hematoxylin counterstain. Proteolytic Induced Epitope Retrieval (PIER) was used. Image from the standard format of this antibody.

Applications for Alkaline Phosphatase/ALPP Antibody (8B6) - Azide and BSA Free

Application
Recommended Usage

ELISA

1:100-1:2000

Flow Cytometry

reported in multiple pieces of scientific literature

Immunocytochemistry/ Immunofluorescence

1:10-1:500

Immunohistochemistry

1:10-1:500

Immunohistochemistry-Frozen

1:10-1:500

Immunohistochemistry-Paraffin

1:100-1:200

Western Blot

1:1000
Application Notes
In WB a band can be seen at ~70 kDa. For IHC, Proteolytic Induced Epitope Retrieval (PIER) is required. The observed molecular weight of the protein may vary from the listed predicted molecular weight due to post translational modifications, post translation cleavages, relative charges, and other experimental factors.

Formulation, Preparation, and Storage

Purification

Protein A purified

Formulation

Tris-Glycine, 0.15 M NaCl

Format

Azide and BSA Free

Preservative

No Preservative

Concentration

1 mg/ml

Shipping

The product is shipped with polar packs. Upon receipt, store it immediately at the temperature recommended below.

Stability & Storage

Store at 4C short term. Aliquot and store at -20C long term. Avoid freeze-thaw cycles.

Background: Alkaline Phosphatase/ALPP

Alkaline Phosphatase, Placental, also known as PLAP and ALPP is an alkaline phosphatase located on the second chromosome. Alkaline phosphatases are phosphodiesterases. The placental-specific isozyme of Alkaline Phosphatase is found in trophoblast cells of normal human mature placenta, seminomas of testis and ovarian carcinomas. The detection of alkaline phosphatase in serum is a marker for ovarian and testicular cancer (PMID: 21809268).

Long Name

Alkaline Phosphatase, Placental Type

Alternate Names

Alkaline Phosphatase, PLAP, SEAP

Gene Symbol

ALPP

Additional Alkaline Phosphatase/ALPP Products

Product Documents for Alkaline Phosphatase/ALPP Antibody (8B6) - Azide and BSA Free

Certificate of Analysis

To download a Certificate of Analysis, please enter a lot number in the search box below.

Product Specific Notices for Alkaline Phosphatase/ALPP Antibody (8B6) - Azide and BSA Free

This product is for research use only and is not approved for use in humans or in clinical diagnosis. Primary Antibodies are guaranteed for 1 year from date of receipt.

Loading...
Loading...
Loading...
Loading...
Loading...
Loading...