Skip to main content

ALG14 Antibody - BSA Free

Novus Biologicals, part of Bio-Techne | Catalog # NBP2-30914

Catalog #
Availability
Size / Price
Qty
Loading...
NBP2-30914
NBP2-30914-25ul

Key Product Details

Species Reactivity

Human

Applications

Immunohistochemistry, Immunohistochemistry-Paraffin, Immunocytochemistry/ Immunofluorescence

Label

Unconjugated

Antibody Source

Polyclonal Rabbit IgG

Format

BSA Free

Concentration

Concentrations vary lot to lot. See vial label for concentration. If unlisted please contact technical services.

Product Specifications

Immunogen

This antibody was developed against a recombinant protein corresponding to amino acids: SLSILVVAGSGGHTTEILRLLGSLSNAYSPRHYVIADTDEMSANKINSFELDRADRDPSNMYTKYYIHRIPRSR

Clonality

Polyclonal

Host

Rabbit

Isotype

IgG

Scientific Data Images for ALG14 Antibody - BSA Free

Immunocytochemistry/ Immunofluorescence: ALG14 Antibody [NBP2-30914]

Immunocytochemistry/ Immunofluorescence: ALG14 Antibody [NBP2-30914]

Immunocytochemistry/Immunofluorescence: ALG14 Antibody [NBP2-30914] - Immunofluorescent staining of human cell line A-431 shows localization to nucleus & nucleoli.
ALG14 Antibody - BSA Free

ALG14 Antibody [NBP2-30914] -

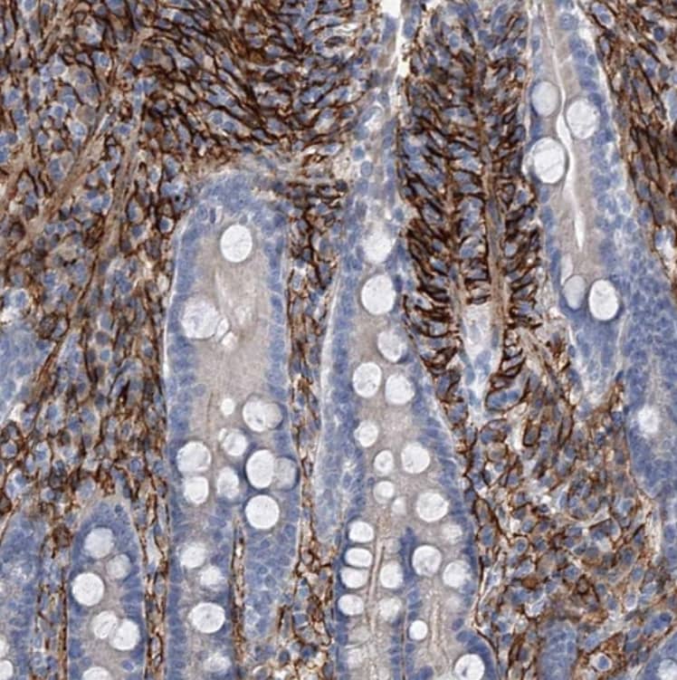
Staining of human duodenum shows strong cytoplasmic positivity in lymphoid cells.
ALG14 Antibody - BSA Free

ALG14 Antibody [NBP2-30914] -

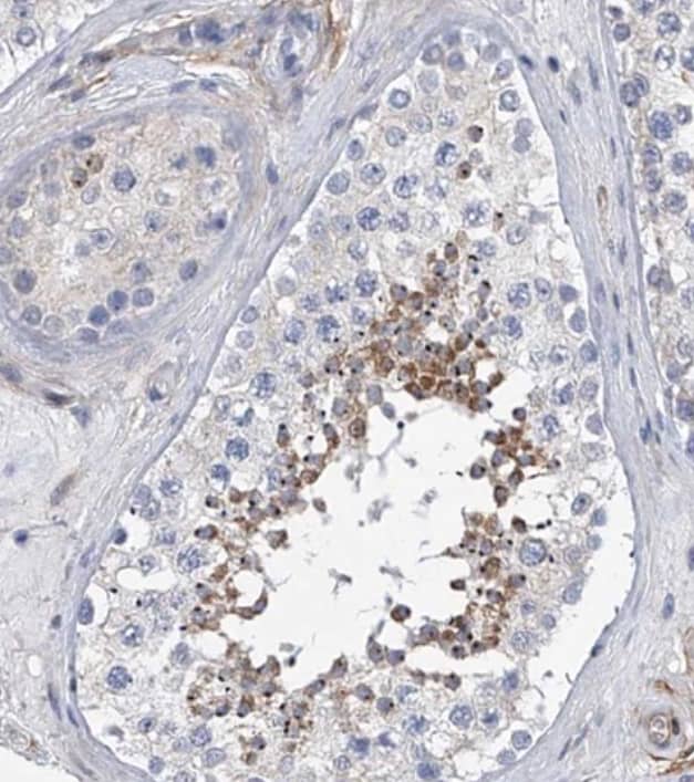
Staining of human testis shows moderate cytoplasmic positivity in spermatids.

Applications for ALG14 Antibody - BSA Free

Application
Recommended Usage

Immunocytochemistry/ Immunofluorescence

0.25-2 ug/ml

Immunohistochemistry

1:50 - 1:200

Immunohistochemistry-Paraffin

1:50 - 1:200
Application Notes
IHC-Paraffin, HIER pH 6 retrieval is recommended. ICC/IF,Fixation Permeabilization: Use PFA/Triton X-100.

Formulation, Preparation, and Storage

Purification

Affinity purified

Formulation

PBS (pH 7.2) and 40% Glycerol

Format

BSA Free

Preservative

0.02% Sodium Azide

Concentration

Concentrations vary lot to lot. See vial label for concentration. If unlisted please contact technical services.

Shipping

The product is shipped with polar packs. Upon receipt, store it immediately at the temperature recommended below.

Stability & Storage

Store at 4C short term. Aliquot and store at -20C long term. Avoid freeze-thaw cycles.

Background: ALG14

Asparagine (N)-glycosylation is an essential modification that regulates protein folding and stability. ALG13 and ALG14(MIM 612866) constitute the UDP-GlcNAc transferase, which catalyzes a key step in endoplasmic reticulum N-linkedglycosylation (Averbeck et al., 2007 (PubMed 17686769)).(supplied by OMIM)

Alternate Names

asparagine-linked glycosylation 14 homolog (S. cerevisiae), asparagine-linked glycosylation 14 homolog (yeast), MGC19780, UDP-N-acetylglucosamine transferase subunit ALG14 homolog

Gene Symbol

ALG14

UniProt

Additional ALG14 Products

Product Documents for ALG14 Antibody - BSA Free

Certificate of Analysis

To download a Certificate of Analysis, please enter a lot number in the search box below.

Product Specific Notices for ALG14 Antibody - BSA Free

This product is for research use only and is not approved for use in humans or in clinical diagnosis. Primary Antibodies are guaranteed for 1 year from date of receipt.

Loading...
Loading...
Loading...
Loading...