Skip to main content

ALDH6A1 Antibody (6H9B7) - BSA Free

Novus Biologicals, part of Bio-Techne | Catalog # NBP2-52411

Novus Biologicals, part of Bio-Techne
Catalog #
Availability
Size / Price
Qty
Loading...
NBP2-52411
NBP2-52411-0.025mg

Key Product Details

Species Reactivity

Human

Applications

CyTOF-ready, ELISA, Flow Cytometry, Immunocytochemistry/ Immunofluorescence, Immunohistochemistry, Immunohistochemistry-Paraffin, Western Blot

Label

Unconjugated

Antibody Source

Monoclonal Mouse IgG1 Clone # 6H9B7

Format

BSA Free

Concentration

1 mg/ml

Product Specifications

Immunogen

Purified recombinant fragment of human ALDH6A1 (AA: 1-195) expressed in E. Coli.

Clonality

Monoclonal

Host

Mouse

Isotype

IgG1

Theoretical MW

57.8 kDa.
Disclaimer note: The observed molecular weight of the protein may vary from the listed predicted molecular weight due to post translational modifications, post translation cleavages, relative charges, and other experimental factors.

Description

Novus Biologicals Mouse ALDH6A1 Antibody (6H9B7) - BSA Free (NBP2-52411) is a monoclonal antibody validated for use in IHC, WB, ELISA, Flow and ICC/IF. All Novus Biologicals antibodies are covered by our 100% guarantee.

Scientific Data Images for ALDH6A1 Antibody (6H9B7) - BSA Free

Western Blot: ALDH6A1 Antibody (6H9B7)BSA Free [NBP2-52411]

Western Blot: ALDH6A1 Antibody (6H9B7)BSA Free [NBP2-52411]

Western Blot: ALDH6A1 Antibody (6H9B7) [NBP2-52411] - Analysis using ALDH6A1 mAb against human ALDH6A1 (AA: 1-195) recombinant protein. (Expected MW is 47.2 kDa)
Immunocytochemistry/ Immunofluorescence: ALDH6A1 Antibody (6H9B7) - BSA Free [NBP2-52411]

Immunocytochemistry/ Immunofluorescence: ALDH6A1 Antibody (6H9B7) - BSA Free [NBP2-52411]

Immunocytochemistry/Immunofluorescence: ALDH6A1 Antibody (6H9B7) [NBP2-52411] - Analysis of Hela cells using ALDH6A1 mouse mAb (green). Blue: DRAQ5 fluorescent DNA dye. Red: Actin filaments have been labeled with Alexa Fluor- 555 phalloidin.
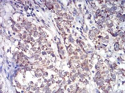
Immunohistochemistry: ALDH6A1 Antibody (6H9B7) - BSA Free [NBP2-52411]

Immunohistochemistry: ALDH6A1 Antibody (6H9B7) - BSA Free [NBP2-52411]

Immunohistochemistry: ALDH6A1 Antibody (6H9B7) [NBP2-52411] - Analysis of paraffin-embedded bladder cancer tissues using ALDH6A1 mouse mAb with DAB staining.

Applications for ALDH6A1 Antibody (6H9B7) - BSA Free

Application
Recommended Usage

ELISA

1:10000

Flow Cytometry

1:200-1:400

Immunocytochemistry/ Immunofluorescence

1:200-1:1000

Immunohistochemistry

1:200-1:1000

Immunohistochemistry-Paraffin

1:200-1:1000

Western Blot

1:500-1:2000
Application Notes
This antibody is Cytof ready.

Formulation, Preparation, and Storage

Purification

Protein G purified

Formulation

PBS

Format

BSA Free

Preservative

0.05% Sodium Azide

Concentration

1 mg/ml

Shipping

The product is shipped with polar packs. Upon receipt, store it immediately at the temperature recommended below.

Stability & Storage

Store at 4C short term. Aliquot and store at -20C long term. Avoid freeze-thaw cycles.

Background: ALDH6A1

ALDH6A1 belongs to the aldehyde dehydrogenases family of proteins. This enzyme plays a role in the valine and pyrimidine catabolic pathways. The product of this gene, a mitochondrial methylmalonate semialdehyde dehydrogenase, catalyzes the irreversible oxidative decarboxylation of malonate and methylmalonate semialdehydes to acetyl- and propionyl-CoA. Methylmalonate semialdehyde dehydrogenase deficiency is characterized by elevated beta-alanine, 3-hydroxypropionic acid, and both isomers of 3-amino and 3-hydroxyisobutyric acids in urine organic acids.

Alternate Names

aldehyde dehydrogenase 6 family, member A1, Aldehyde dehydrogenase family 6 member A1, EC 1.2.1.18, EC 1.2.1.27, malonate-semialdehyde dehydrogenase, Malonate-semialdehyde dehydrogenase [acylating], methylmalonate-semialdehyde dehydrogenase [acylating], mitochondrial, MGC40271, MMSADHA, MMSDHmitochondrial acylating methylmalonate-semialdehyde dehydrogenase

Gene Symbol

ALDH6A1

Additional ALDH6A1 Products

Product Documents for ALDH6A1 Antibody (6H9B7) - BSA Free

Certificate of Analysis

To download a Certificate of Analysis, please enter a lot number in the search box below.

Product Specific Notices for ALDH6A1 Antibody (6H9B7) - BSA Free

This product is for research use only and is not approved for use in humans or in clinical diagnosis. Primary Antibodies are guaranteed for 1 year from date of receipt.

Loading...
Loading...
Loading...
Loading...
Loading...