Skip to main content

ALDH4A1 Antibody (7E2-R)

Novus Biologicals, part of Bio-Techne | Catalog # NBP3-32024

Recombinant Monoclonal Antibody
Novus Biologicals, part of Bio-Techne
Catalog #
Availability
Size / Price
Qty
Loading...
NBP3-32024

Key Product Details

Species Reactivity

Human, Mouse, Rat

Applications

Immunohistochemistry, Immunohistochemistry-Paraffin, Western Blot, Immunocytochemistry/ Immunofluorescence

Label

Unconjugated

Antibody Source

Recombinant Monoclonal Mouse IgG1 Clone # 7E2-R expressed in HEK293

Concentration

1 mg/ml

Product Specifications

Immunogen

Synthetic peptide within Human ALDH4A1 aa 514-563 / 563. (Uniprot: P30038)

Localization

Mitochondrion matrix.

Clonality

Monoclonal

Host

Mouse

Isotype

IgG1

Theoretical MW

62 kDa.
Disclaimer note: The observed molecular weight of the protein may vary from the listed predicted molecular weight due to post translational modifications, post translation cleavages, relative charges, and other experimental factors.

Scientific Data Images for ALDH4A1 Antibody (7E2-R)

ALDH4A1 Antibody (7E2-R)

Western Blot: ALDH4A1 Antibody (7E2-R) [NBP3-32024]

Western Blot: ALDH4A1 Antibody (7E2-R) [NBP3-32024] - Western blot analysis of ALDH4A1 on different lysates with Mouse anti-ALDH4A1 antibody (NBP3-32024) at 1/5,000 dilution.

Lane 1: HepG2 cell lysate (20 ug/Lane)
Lane 2: SK-Br-3 cell lysate (20 ug/Lane)
Lane 3: Human kidney tissue lysate (40 ug/Lane)
Lane 4: Human liver tissue lysate (40 ug/Lane)
Lane 5: Mouse liver tissue lysate (40 ug/Lane)
Lane 6: Rat liver tissue lysate (40 ug/Lane)

Predicted band size: 62 kDa
Observed band size: 55 kDa

Exposure time: 1 minute 13 seconds;

4-20% SDS-PAGE gel.

Proteins were transferred to a PVDF membrane and blocked with 5% NFDM/TBST for 1 hour at room temperature. The primary antibody (NBP3-32024) at 1/5,000 dilution was used in 5% NFDM/TBST at 4℃ overnight. Goat Anti-Mouse IgG - HRP Secondary Antibody at 1/50,000 dilution was used for 1 hour at room temperature.
ALDH4A1 Antibody (7E2-R)

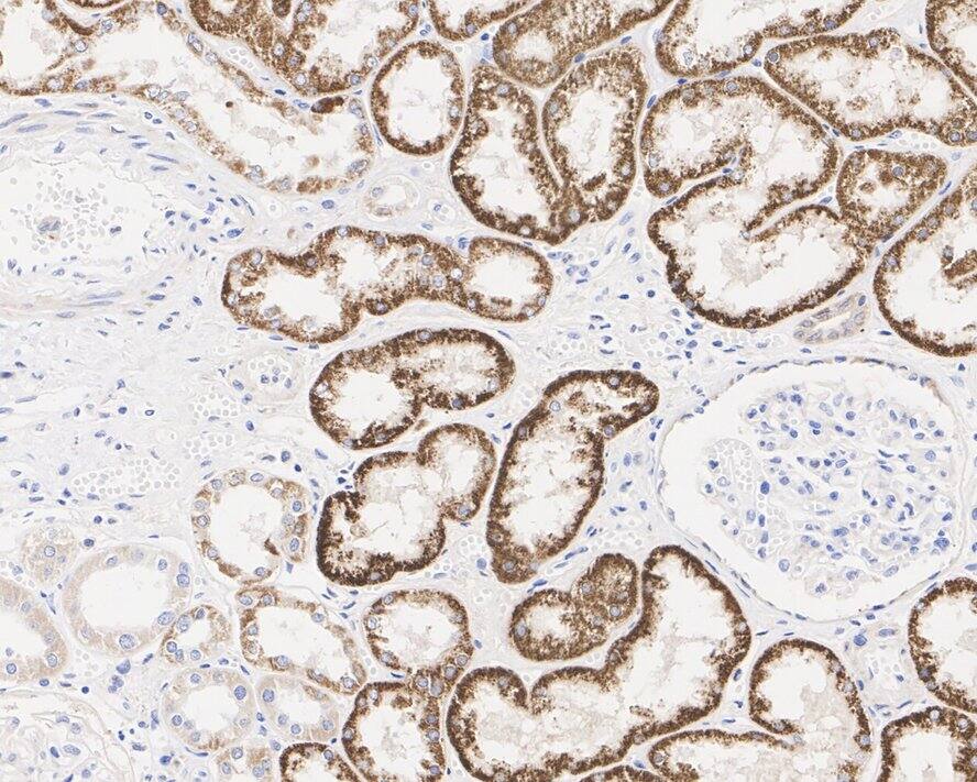
Immunohistochemistry: ALDH4A1 Antibody (7E2-R) [NBP3-32024]

Immunohistochemistry: ALDH4A1 Antibody (7E2-R) [NBP3-32024] - Immunohistochemical analysis of paraffin-embedded human kidney tissue with Mouse anti-ALDH4A1 antibody (NBP3-32024) at 1/1,000 dilution.

The section was pre-treated using heat mediated antigen retrieval with Tris-EDTA buffer (pH 9.0) for 20 minutes. The tissues were blocked in 1% BSA for 20 minutes at room temperature, washed with ddH2O and PBS, and then probed with the primary antibody (NBP3-32024) at 1/1,000 dilution for 1 hour at room temperature. The detection was performed using an HRP conjugated compact polymer system. DAB was used as the chromogen. Tissues were counterstained with hematoxylin and mounted with DPX.
ALDH4A1 Antibody (7E2-R)

Immunocytochemistry/ Immunofluorescence: ALDH4A1 Antibody (7E2-R) [NBP3-32024]

Immunocytochemistry/ Immunofluorescence: ALDH4A1 Antibody (7E2-R) [NBP3-32024] - Immunocytochemistry analysis of HepG2 cells labeling ALDH4A1 with Rabbit anti-ALDH4A1 antibody (NBP3-32024) at 1/100 dilution.

Cells were fixed in 4% paraformaldehyde for 20 minutes at room temperature, permeabilized with 0.1% Triton X-100 in PBS for 5 minutes at room temperature, then blocked with 1% BSA in 10% negative goat serum for 1 hour at room temperature. Cells were then incubated with Rabbit anti-ALDH4A1 antibody (NBP3-32024) at 1/100 dilution in 1% BSA in PBST overnight at 4 ℃. Goat Anti-Rabbit IgG H&L (iFluor™ 488) was used as the secondary antibody at 1/1,000 dilution. PBS instead of the primary antibody was used as the secondary antibody only control. Counterstained with Mitotracker. Nuclear DNA was labelled in blue with DAPI.

Applications for ALDH4A1 Antibody (7E2-R)

Application
Recommended Usage

Immunocytochemistry/ Immunofluorescence

1:100

Immunohistochemistry-Paraffin

1:1000

Western Blot

1:5000

Formulation, Preparation, and Storage

Purification

Protein A purified

Formulation

PBS (pH7.4), 0.1% BSA and 40% Glycerol

Preservative

0.05% Sodium Azide

Concentration

1 mg/ml

Shipping

The product is shipped with polar packs. Upon receipt, store it immediately at the temperature recommended below.

Stability & Storage

Store at 4C short term. Aliquot and store at -20C long term. Avoid freeze-thaw cycles.

Background: ALDH4A1

ALDH4A1 belongs to the aldehyde dehydrogenase family of proteins. This enzyme is a mitochondrial matrix NAD-dependent dehydrogenase which catalyzes the second step of the proline degradation pathway, converting pyrroline-5-carboxylate to glutamate. Deficiency of this enzyme is associated with type II hyperprolinemia, an autosomal recessive disorder characterized by accumulation of delta-1-pyrroline-5-carboxylate (P5C) and proline. Two transcript variants encoding the same protein have been identified for this gene.

Alternate Names

aldehyde dehydrogenase 4 family, member A1, Aldehyde dehydrogenase family 4 member A1, ALDH4DKFZp779M035, delta-1-pyrroline-5-carboxylate dehydrogenase, mitochondrial, EC 1.5.1.12, mitochondrial delta-1-pyrroline 5-carboxylate dehydrogenase, P5C dehydrogenase, P5CD, P5CDH

Gene Symbol

ALDH4A1

Additional ALDH4A1 Products

Product Documents for ALDH4A1 Antibody (7E2-R)

Certificate of Analysis

To download a Certificate of Analysis, please enter a lot number in the search box below.

Product Specific Notices for ALDH4A1 Antibody (7E2-R)

This product is for research use only and is not approved for use in humans or in clinical diagnosis. Primary Antibodies are guaranteed for 1 year from date of receipt.

Loading...
Loading...
Loading...
Loading...