Skip to main content

ALDH1L2 Antibody - BSA Free

Novus Biologicals, part of Bio-Techne | Catalog # NBP3-48186

Novus Biologicals, part of Bio-Techne
Catalog #
Availability
Size / Price
Qty
Loading...
NBP3-48186

Key Product Details

Species Reactivity

Human, Mouse

Applications

Immunohistochemistry, Western Blot, ELISA

Label

Unconjugated

Antibody Source

Polyclonal Rabbit IgG

Format

BSA Free

Concentration

Please see the vial label for concentration. If unlisted please contact technical services.

Product Specifications

Immunogen

aldehyde dehydrogenase 1 family, member L2. (Uniprot# Q3SY69)

Clonality

Polyclonal

Host

Rabbit

Isotype

IgG

Theoretical MW

102 kDa.
Disclaimer note: The observed molecular weight of the protein may vary from the listed predicted molecular weight due to post translational modifications, post translation cleavages, relative charges, and other experimental factors.

Description

Novus Biologicals Rabbit ALDH1L2 Antibody - BSA Free (NBP3-48186) is a polyclonal antibody validated for use in IHC, WB and ELISA. All Novus Biologicals antibodies are covered by our 100% guarantee.

Scientific Data Images for ALDH1L2 Antibody - BSA Free

ALDH1L2 Antibody - BSA Free

Western Blot: ALDH1L2 Antibody - BSA Free [NBP3-48186] -

Western Blot: ALDH1L2 Antibody - BSA Free [NBP3-48186] - Mouse kidney tissue were subjected to SDS PAGE followed by western blot with (ALDH1L2 antibody) at dilution of 1:1000
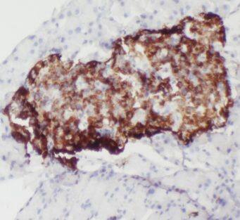
ALDH1L2 Antibody - BSA Free

Immunohistochemistry: ALDH1L2 Antibody - BSA Free [NBP3-48186] -

Immunohistochemistry: ALDH1L2 Antibody - BSA Free [NBP3-48186] - Immunohistochemistry of paraffin-embedded human pancreas slide using (ALDH1L2 Antibody) at dilution of 1:50

Applications for ALDH1L2 Antibody - BSA Free

Application
Recommended Usage

Immunohistochemistry

1:20-1:200

Western Blot

1:200-1:2000

Formulation, Preparation, and Storage

Purification

Immunogen affinity purified

Formulation

PBS, 50% Glycerol, pH (7.3)

Format

BSA Free

Preservative

0.02% Sodium Azide

Concentration

Please see the vial label for concentration. If unlisted please contact technical services.

Shipping

The product is shipped with polar packs. Upon receipt, store it immediately at the temperature recommended below.

Stability & Storage

Store at -20C. Avoid freeze-thaw cycles.

Background: ALDH1L2

The ALDH1L2 gene encodes a protein, which belongs to both the aldehyde dehydrogenase superfamily and the formyl transferasesuperfamily. Alternatively spliced transcript variants have been found for this gene. (provided by RefSeq)

Alternate Names

aldehyde dehydrogenase 1 family, member L2, aldehyde dehydrogenase family 1 member L2, DKFZp686A16126, DKFZp686M064, EC 1.5.1.6, FLJ36769, FLJ38508, MGC119536, MGC119537,10-formyltetrahydrofolate dehydrogenase ALDH1L2, Mitochondrial 10-formyltetrahydrofolate dehydrogenase, mtFDHDKFZp686P14145, probable 10-formyltetrahydrofolate dehydrogenase ALDH1L2

Gene Symbol

ALDH1L2

Additional ALDH1L2 Products

Product Documents for ALDH1L2 Antibody - BSA Free

Certificate of Analysis

To download a Certificate of Analysis, please enter a lot number in the search box below.

Product Specific Notices for ALDH1L2 Antibody - BSA Free

This product is for research use only and is not approved for use in humans or in clinical diagnosis. Primary Antibodies are guaranteed for 1 year from date of receipt.

Loading...
Loading...
Loading...
Loading...