Skip to main content

Albumin Antibody (ALB/6413R) - Azide and BSA Free

Novus Biologicals, part of Bio-Techne | Catalog # NBP3-49632

Recombinant Monoclonal Antibody
Novus Biologicals, part of Bio-Techne
Catalog #
Availability
Size / Price
Qty
Loading...
NBP3-49632

Key Product Details

Species Reactivity

Human

Applications

Immunohistochemistry, Western Blot, ELISA, Immunocytochemistry/ Immunofluorescence

Label

Unconjugated

Antibody Source

Recombinant Monoclonal Rabbit IgG Kappa Clone # ALB/6413R

Format

Azide and BSA Free

Concentration

Please see the vial label for concentration. If unlisted please contact technical services.

Product Specifications

Immunogen

Recombinant full-length human ALB protein (Uniprot: P02768)

Localization

Secreted

Specificity

This antibody is absolutely specific to albumin and does not show any significant cross-reaction with other human proteins.

Clonality

Monoclonal

Host

Rabbit

Isotype

IgG Kappa

Theoretical MW

66 kDa.
Disclaimer note: The observed molecular weight of the protein may vary from the listed predicted molecular weight due to post translational modifications, post translation cleavages, relative charges, and other experimental factors.

Description

Prepared in 10mM PBS WITHOUT BSA & azide at 1.0mg/ml. Also available with 0.05% BSA & 0.05% azide.

Antibody with azide - store at 2 to 8 C. Antibody without azide - store at -20 to -80 C. Antibody is stable for 24 months. Non-hazardous.

Scientific Data Images for Albumin Antibody (ALB/6413R) - Azide and BSA Free

Albumin Antibody (ALB/6413R) - Azide and BSA Free

Western Blot: Albumin Antibody (ALB/6413R) - Azide and BSA Free [NBP3-49632] -

Western blot analysis of human liver lysates using Albumin Antibody (ALB/6413R) - Azide and BSA Free.
Albumin Antibody (ALB/6413R) - Azide and BSA Free

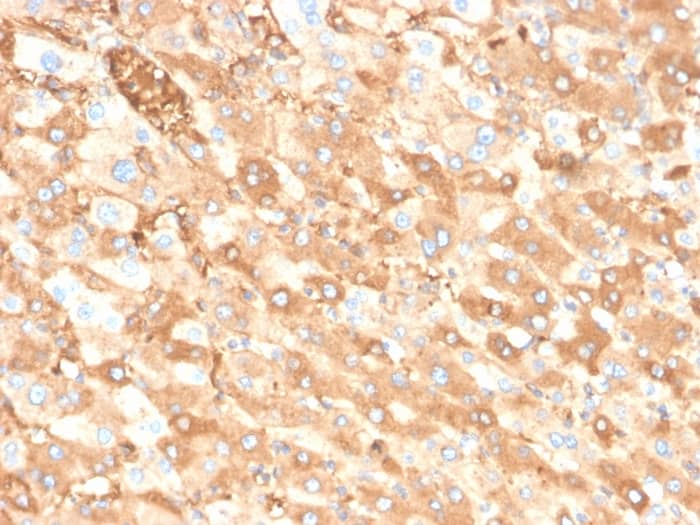
Immunohistochemistry-Paraffin: Albumin Antibody (ALB/6413R) - Azide and BSA Free [NBP3-49632] -

Formalin-fixed, paraffin-embedded human liver carcinoma in colon stained with Albumin Antibody (ALB/6413R) - Azide and BSA Free.
Albumin Antibody (ALB/6413R) - Azide and BSA Free

Immunocytochemistry/ Immunofluorescence: Albumin Antibody (ALB/6413R) - Azide and BSA Free [NBP3-49632] -

Immunofluorescence analysis of human HeP-G2 cells labeled with Albumin Recombinant Rabbit Monoclonal Antibody (ALB/6413R) followed by goat anti-mouse IgG-CF488 (green). Counterstained with Albumin Antibody (ALB/6413R) - Azide and BSA Free.

Applications for Albumin Antibody (ALB/6413R) - Azide and BSA Free

Application
Recommended Usage

ELISA

Optimal dilutions of this antibody should be experimentally determined.

Immunocytochemistry/ Immunofluorescence

Optimal dilutions of this antibody should be experimentally determined.

Immunohistochemistry

Optimal dilutions of this antibody should be experimentally determined.

Western Blot

Optimal dilutions of this antibody should be experimentally determined.

Formulation, Preparation, and Storage

Purification

Protein A or G purified

Formulation

10 mM PBS

Format

Azide and BSA Free

Preservative

No Preservative

Concentration

Please see the vial label for concentration. If unlisted please contact technical services.

Shipping

The product is shipped with polar packs. Upon receipt, store it immediately at the temperature recommended below.

Stability & Storage

Store at -20 to -80C. Avoid freeze-thaw cycles.

Background: Albumin

Albumin is a soluble, monomeric protein which comprises about one half of the blood serum protein. Albumin functions primarily as a carrier protein for steroids, fatty acids, and thyroid hormones and plays a role in stabilizing extracellular fluid volume. Mutations in this gene on chromosome 4 result in various anomalous proteins. Albumin is a globular unglycosylated serum protein of molecular weight 65,000. The human albumin gene is 16,961 nucleotides long from the putative 'cap' site to the first poly(A) addition site. It is split into 15 exons which are symmetrically placed within the 3 domains that are thought to have arisen by triplication of a single primordial domain. Albumin is synthesized in the liver as preproalbumin which has an N terminal peptide that is removed before the nascent protein is released from the rough endoplasmic reticulum. The product, proalbumin, is in turn cleaved in the Golgi vesicles to produce the secreted albumin.

Alternate Names

ALB

Gene Symbol

ALB

Additional Albumin Products

Product Documents for Albumin Antibody (ALB/6413R) - Azide and BSA Free

Certificate of Analysis

To download a Certificate of Analysis, please enter a lot number in the search box below.

Product Specific Notices for Albumin Antibody (ALB/6413R) - Azide and BSA Free

This product is for research use only and is not approved for use in humans or in clinical diagnosis. Primary Antibodies are guaranteed for 1 year from date of receipt.

Loading...
Loading...
Loading...
Loading...