Skip to main content

AKT1 [p Thr308] Antibody (18F3.H11) [Biotin]

Novus Biologicals, part of Bio-Techne | Catalog # NBP2-21679

Novus Biologicals, part of Bio-Techne
Catalog #
Availability
Size / Price
Qty
Loading...
NBP2-21679

Key Product Details

Species Reactivity

Human, Mouse

Applications

Immunohistochemistry, Immunohistochemistry-Paraffin, Western Blot, ELISA

Label

Biotin

Antibody Source

Monoclonal Mouse IgG1 kappa Clone # 18F3.H11

Concentration

LYOPH mg/ml

Product Specifications

Immunogen

AKT1 [p Thr308] Antibody (18F3.H11) was produced by repeated immunizations with a synthetic peptide corresponding to residues surrounding T308 of human AKT11 protein. (Uniprot: P31749)

Reactivity Notes

A BLAST analysis was used to suggest cross-reactivity with AKT1 pT308 from most vertebrate species sources based on 100% homology with the immunizing sequence. Cross-reactivity with AKT1 from other sources has not been determined. Cross-reactivity with AKT2 and AKT3 will likely occur.

Modification

p Thr308

Specificity

This antibody is specific for human and mouse AKT protein phosphorylated at T308. A BLAST analysis was used to suggest cross-reactivity with AKT pT308 from most vertebrate species sources based on 100% homology with the immunizing sequence. Cross-reactivity with AKT from other sources has not been determined. Cross-reactivity with AKT2 and AKT3 will likely occur.

Clonality

Monoclonal

Host

Mouse

Isotype

IgG1 kappa

Description

Store vial at 4C prior to restoration. For extended storage aliquot contents and freeze at -20C or below. Avoid cycles of freezing and thawing. Centrifuge product if not completely clear after standing at room temperature. This product is stable for several weeks at 4C as an undiluted liquid. Dilute only prior to immediate use.

This antibody was purified from concentrated tissue culture supernate by Protein A chromatography

Scientific Data Images for AKT1 [p Thr308] Antibody (18F3.H11) [Biotin]

Western Blot: AKT1 [p Thr308] Antibody (18F3.H11) [Biotin] [NBP2-21679] - Lane 1: GST-tagged AKT1 active recombinant protein. Lane 2: GST-tagged AKT1 inactive recombinant protein. Load: 25 ng per lane. AKT1 phospho Thr308 Biotin conjugated antibody at 1:1000 overnight at 4C. Secondary antibody: HRP Streptavidin secondary antibody at 1:40,000 for 30 min at RT. Block for30 min at RT. Predicted/Observed size: 79 kDa, 79 kDa for AKT phospho Thr308.
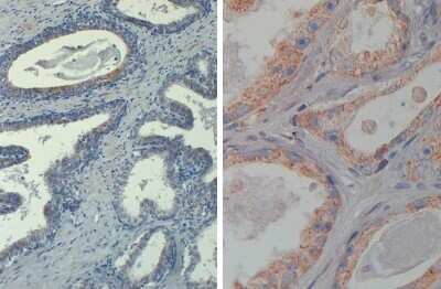
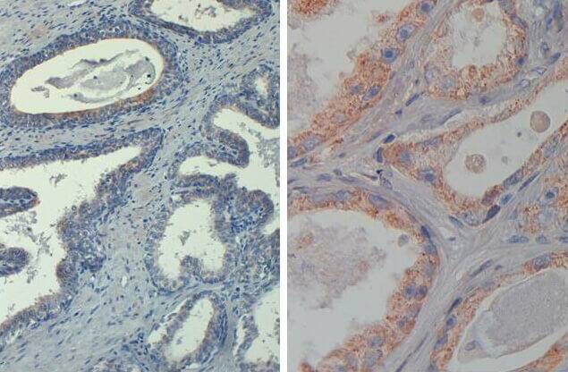
Immunohistochemistry: AKT1 [p Thr308] Antibody (18F3.H11) [Biotin] [NBP2-21679] - IHC-P analysis of FFPE human prostate tissue using AKT1 phospho Thr308 antibody at 20 ug/mL. Left panel: 20X magnification. Right panel: 40X magnification. Heat antigen retrieval in citrate buffer pH 6.2. Secondary antibody: streptavidin-HRP at 10 ug/mL. Antibody as precipitated red signal with hemotoxylin purple nuclear counterstain.
ELISA: AKT1 [p Thr308] Antibody (18F3.H11) [Biotin] [NBP2-21679] - ELISA of AKT1 phospho Thr308 Biotin conjugated antibody. Antigen: Unconjugated AKT1 phospho Thr308 and AKT1 non-phospho Thr308. Coating amount: 0.1 ug per well. Primary antibody: AKT1 phospho Thr308 Biotin conjugated antibody at 5 ug/mL. Dilution series: 3-fold. Mid-point concentration: 5 ng/mL AKT1 phospho Thr308 Biotin conjugated antibody. Secondary antibody: Peroxidase streptavidin secondary antibody at 1:10,000. Substrate: TMB

Applications for AKT1 [p Thr308] Antibody (18F3.H11) [Biotin]

Application
Recommended Usage

ELISA

1:20000

Immunohistochemistry

20 ug/mL

Immunohistochemistry-Paraffin

20 ug/mL

Western Blot

1:500 - 1:3000
Application Notes
This product is tested for ELISA, immunohistochemistry, immunoprecipitation and western blotting. Expect a band approximately 56 kDa in size corresponding to phosphorylated AKT protein by western blotting in the appropriate cell lysate or extract. This phospho-specific monoclonal antibody reacts with human and mouse AKT pT308 and shows minimal reactivity by ELISA against the non-phosphorylated form of the immunizing peptide. Specific conditions for reactivity should be optimized by the end user. Use formalin-fixed paraffin-embedded sections for immunohistochemistry. No pre-treatment of sample is required.

Formulation, Preparation, and Storage

Purification

Protein A purified

Reconstitution

Reconstitute with 50 ul deionized water (or equivalent)

Formulation

Lyophilized from 0.02 M Potassium Phosphate, 0.15 M Sodium Chloride, pH 7.2, 10 mg/mL Bovine Serum Albumin (BSA) - Immunoglobulin and Protease free

Preservative

0.01% Sodium Azide

Concentration

LYOPH mg/ml

Shipping

The product is shipped with polar packs. Upon receipt, store it immediately at the temperature recommended below.

Stability & Storage

Store lyophilized antibody at 4C in the dark. Aliquot reconstituted liquid and store at -20C. Avoid freeze-thaw cycles.

Background: Akt1

AKT (also known as protein kinase B (PKB) and RAC (related to A and C kinases)) is a critical intracellular serine/threonine kinase that translates signals from extracellular stimuli including growth factors, cytokines and neurotransmitters (1). AKT signaling plays critical roles in cell growth, proliferation, survival and differentiation (1). It is also involved in organogenesis, angiogenesis and metabolism. Three mammalian AKT isoforms have been identified. The AKT pathway can be activated by any of the three members who share a high level of protein homology but are independently encoded by AKT1 (PKB alpha; 14q32.32), AKT2 (PKB beta; 19q13.2), or AKT3 (PKB gamma; 1q44) (1, 2). Each AKT family member contains an N-terminal pleckstrin homology (PH) domain, a central kinase domain, and a C-terminal regulatory domain. AKT mediates many of the downstream events of phosphatidylinositol 3-kinase (PI3-K), a lipid kinase activated by growth factors, cytokines and insulin. PI3-K recruits AKT to the membrane, where it is activated by PDK1 phosphorylation. AKT has two main phosphorylation sites (Ser473 and Thr308, predicted molecular weight 56 kDa) (3, 4). Once phosphorylated, AKT dissociates from the membrane and phosphorylates targets in the cytoplasm and the cell nucleus including mammalian target of rapamycin (mTOR).

The main function of AKT is to control inhibition of apoptosis and promote cell proliferation. Survival factors can activate AKT Ser473 and Thr308 phosphorylation sites in a transcription-independent manner, resulting in the inactivation of apoptotic signaling transduction through the tumor suppressor PTEN, an antagonist to PI3-K (5). PTEN exerts enzymatic activity as a phosphatidylinositol-3,4,5-trisphosphate (PIP3) phosphatase, opposing PI3K activity by decreasing availability of PIP3 to proliferating cells, leading to overexpression and inappropriate activation of AKT noted in many types of cancer.

AKT1 function has been linked to overall physiological growth and function (2). AKT1 has been correlated with proteus syndrome, a rare disorder characterized by overgrowth of various tissues caused by a mosaic variant in the AKT1 gene in humans.

AKT2 is strongly correlated with Type II diabetes, including phenotypes of insulin resistance, hyperglycemia and atherosclerosis (2, 6).

The function of AKT3 is specifically associated to brain development, where disruptions to AKT3 are correlated with microcephaly, hemimegalencephaly, megalencephaly and intellectual disabilities (2).

References

1. Ersahin, T., Tuncbag, N., & Cetin-Atalay, R. (2015). The PI3K/AKT/mTOR interactive pathway. Mol Biosyst, 11(7), 1946-1954. doi:10.1039/c5mb00101c

2. Cohen, M. M., Jr. (2013). The AKT genes and their roles in various disorders. Am J Med Genet A, 161a(12), 2931-2937. doi:10.1002/ajmg.a.36101

3. Georgescu, M. M. (2010). PTEN Tumor Suppressor Network in PI3K-Akt Pathway Control. Genes Cancer, 1(12), 1170-1177. doi:10.1177/1947601911407325

4. Mishra, P., Paital, B., Jena, S., Swain, S. S., Kumar, S., Yadav, M. K., . . . Samanta, L. (2019). Possible activation of NRF2 by Vitamin E/Curcumin against altered thyroid hormone induced oxidative stress via NFkB/AKT/mTOR/KEAP1 signalling in rat heart. Sci Rep, 9(1), 7408. doi:10.1038/s41598-019-43320-5

5. Wedel, S., Hudak, L., Seibel, J. M., Juengel, E., Oppermann, E., Haferkamp, A., & Blaheta, R. A. (2011). Critical analysis of simultaneous blockage of histone deacetylase and multiple receptor tyrosine kinase in the treatment of prostate cancer. Prostate, 71(7), 722-735. doi:10.1002/pros.21288

6. Rotllan, N., Chamorro-Jorganes, A., Araldi, E., Wanschel, A. C., Aryal, B., Aranda, J. F., . . . Fernandez-Hernando, C. (2015). Hematopoietic Akt2 deficiency attenuates the progression of atherosclerosis. Faseb j, 29(2), 597-610. doi:10.1096/fj.14-262097

Long Name

v-Akt Murine Thymoma Viral Oncogene Homolog 1

Alternate Names

PKB alpha, PRKBA, RAC-alpha

Gene Symbol

AKT1

UniProt

Additional Akt1 Products

Product Documents for AKT1 [p Thr308] Antibody (18F3.H11) [Biotin]

Certificate of Analysis

To download a Certificate of Analysis, please enter a lot number in the search box below.

Product Specific Notices for AKT1 [p Thr308] Antibody (18F3.H11) [Biotin]

This product is for research use only and is not approved for use in humans or in clinical diagnosis. Primary Antibodies are guaranteed for 1 year from date of receipt.

Loading...
Loading...
Loading...
Loading...
Loading...
Loading...