AKR1D1 Antibody - BSA Free
Novus Biologicals, part of Bio-Techne | Catalog # NBP2-15323
Key Product Details
Species Reactivity
Human
Applications
Immunohistochemistry, Immunohistochemistry-Paraffin, Western Blot
Label
Unconjugated
Antibody Source
Polyclonal Rabbit IgG
Format
BSA Free
Concentration
Concentrations vary lot to lot. See vial label for concentration. If unlisted please contact technical services.
Product Specifications
Immunogen
Full length human AKR1D1 Recombinant protein.
Localization
Cytoplasm
Clonality
Polyclonal
Host
Rabbit
Isotype
IgG
Theoretical MW
37 kDa.
Disclaimer note: The observed molecular weight of the protein may vary from the listed predicted molecular weight due to post translational modifications, post translation cleavages, relative charges, and other experimental factors.
Disclaimer note: The observed molecular weight of the protein may vary from the listed predicted molecular weight due to post translational modifications, post translation cleavages, relative charges, and other experimental factors.
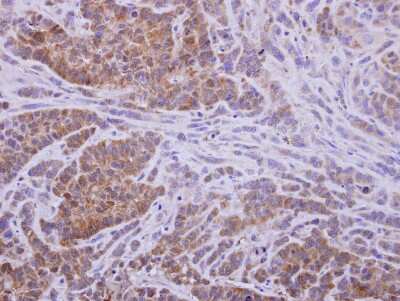
Scientific Data Images for AKR1D1 Antibody - BSA Free
Western Blot: AKR1D1 Antibody [NBP2-15323]
Western Blot: AKR1D1 Antibody [NBP2-15323] - Sample (30 ug of whole cell lysate) A: A549 10% SDS PAGE; antibody diluted at 1:1000.Immunohistochemistry-Paraffin: AKR1D1 Antibody [NBP2-15323]
Immunohistochemistry-Paraffin: AKR1D1 Antibody [NBP2-15323] - Paraffin-embedded A549 xenograft, using antibody at 1:500 dilution.Applications for AKR1D1 Antibody - BSA Free
Application
Recommended Usage
Immunohistochemistry
10 - 1:500
Immunohistochemistry-Paraffin
1:100-1:1000
Western Blot
1:500-1:3000
Formulation, Preparation, and Storage
Purification
Antigen Affinity-purified
Formulation
0.1M Tris, 0.1M Glycine, 20% Glycerol
Format
BSA Free
Preservative
0.01% Thimerosal
Concentration
Concentrations vary lot to lot. See vial label for concentration. If unlisted please contact technical services.
Shipping
The product is shipped with polar packs. Upon receipt, store it immediately at the temperature recommended below.
Stability & Storage
Aliquot and store at -20C or -80C. Avoid freeze-thaw cycles.
Background: AKR1D1
Alternate Names
3o5bred, Aldo-keto reductase family 1 member D1,3-oxo-5-beta-steroid 4-dehydrogenase, aldo-keto reductase family 1, member D1 (delta4-3-ketosteroid-5-beta-reductase), CBAS2, Delta(4)-3-oxosteroid 5-beta-reductase, EC 1.3.1.3, SRD5B1beta polypeptide 1 (3-oxo-5 beta-steroid delta4-dehydrogenase beta 1)
Gene Symbol
AKR1D1
UniProt
Additional AKR1D1 Products
Product Documents for AKR1D1 Antibody - BSA Free
Product Specific Notices for AKR1D1 Antibody - BSA Free
This product is for research use only and is not approved for use in humans or in clinical diagnosis. Primary Antibodies are guaranteed for 1 year from date of receipt.
Loading...
Loading...
Loading...
Loading...
⚠ WARNING: This product can expose you to chemicals including mercury, which is known to the State of California to cause reproductive toxicity with developmental effects. For more information go to www.P65Warnings.ca.gov.