AKR1A1 Antibody - BSA Free
Novus Biologicals, part of Bio-Techne | Catalog # NBP3-35364
Key Product Details
Species Reactivity
Human, Mouse, Rat
Applications
Immunohistochemistry, Immunohistochemistry-Paraffin, Western Blot, ELISA, Immunocytochemistry/ Immunofluorescence
Label
Unconjugated
Antibody Source
Polyclonal Rabbit IgG
Format
BSA Free
Concentration
Please see the vial label for concentration. If unlisted please contact technical services.
Product Specifications
Immunogen
Recombinant fusion protein containing a sequence corresponding to amino acids 1-325 of human AKR1A1 (NP_006057.1).
Sequence:
MAASCVLLHTGQKMPLIGLGTWKSEPGQVKAAVKYALSVGYRHIDCAAIYGNEPEIGEALKEDVGPGKAVPREELFVTSKLWNTKHHPEDVEPALRKTLADLQLEYLDLYLMHWPYAFERGDNPFPKNADGTICYDSTHYKETWKALEALVAKGLVQALGLSNFNSRQIDDILSVASVRPAVLQVECHPYLAQNELIAHCQARGLEVTAYSPLGSSDRAWRDPDEPVLLEEPVVLALAEKYGRSPAQILLRWQVQRKVICIPKSITPSRILQNIKVFDFTFSPEEMKQLNALNKNWRYIVPMLTVDGKRVPRDAGHPLYPFNDPY
Sequence:
MAASCVLLHTGQKMPLIGLGTWKSEPGQVKAAVKYALSVGYRHIDCAAIYGNEPEIGEALKEDVGPGKAVPREELFVTSKLWNTKHHPEDVEPALRKTLADLQLEYLDLYLMHWPYAFERGDNPFPKNADGTICYDSTHYKETWKALEALVAKGLVQALGLSNFNSRQIDDILSVASVRPAVLQVECHPYLAQNELIAHCQARGLEVTAYSPLGSSDRAWRDPDEPVLLEEPVVLALAEKYGRSPAQILLRWQVQRKVICIPKSITPSRILQNIKVFDFTFSPEEMKQLNALNKNWRYIVPMLTVDGKRVPRDAGHPLYPFNDPY
Clonality
Polyclonal
Host
Rabbit
Isotype
IgG
Theoretical MW
37 kDa.
Disclaimer note: The observed molecular weight of the protein may vary from the listed predicted molecular weight due to post translational modifications, post translation cleavages, relative charges, and other experimental factors.
Disclaimer note: The observed molecular weight of the protein may vary from the listed predicted molecular weight due to post translational modifications, post translation cleavages, relative charges, and other experimental factors.
Description
Novus Biologicals Rabbit AKR1A1 Antibody - BSA Free (NBP3-35364) is a polyclonal antibody validated for use in IHC, WB, ELISA and ICC/IF. All Novus Biologicals antibodies are covered by our 100% guarantee.
Scientific Data Images for AKR1A1 Antibody - BSA Free
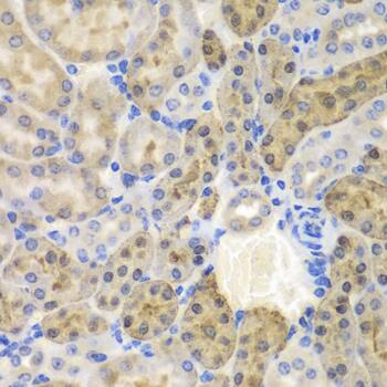
Immunohistochemistry: AKR1A1 Antibody [NBP3-35364] -
Immunohistochemistry: AKR1A1 Antibody [NBP3-35364] - Immunohistochemistry analysis of paraffin-embedded Rat kidney using AKR1A1 Rabbit pAb at dilution of 1:100 (40x lens). Microwave antigen retrieval performed with 0.01M PBS Buffer (pH 7.2) prior to IHC staining.Immunocytochemistry/ Immunofluorescence: AKR1A1 Antibody [NBP3-35364] -
Immunocytochemistry/ Immunofluorescence: AKR1A1 Antibody [NBP3-35364] - Immunofluorescence analysis of HeLa cells using AKR1A1 Rabbit pAb.Secondary antibody: Cy3-conjugated Goat anti-Rabbit IgG (H+L) at 1:500 dilution.Immunohistochemistry: AKR1A1 Antibody [NBP3-35364] -
Immunohistochemistry: AKR1A1 Antibody [NBP3-35364] - Immunohistochemistry analysis of paraffin-embedded Mouse kidney using AKR1A1 Rabbit pAb at dilution of 1:100 (40x lens). Microwave antigen retrieval performed with 0.01M PBS Buffer (pH 7.2) prior to IHC staining.Applications for AKR1A1 Antibody - BSA Free
Application
Recommended Usage
Immunocytochemistry/ Immunofluorescence
1:50 - 1:200
Immunohistochemistry-Paraffin
1:50 - 1:200
Western Blot
1:500 - 1:2000
Formulation, Preparation, and Storage
Purification
Affinity purified
Formulation
PBS (pH 7.3), 50% glycerol
Format
BSA Free
Preservative
0.02% Sodium Azide
Concentration
Please see the vial label for concentration. If unlisted please contact technical services.
Shipping
The product is shipped with polar packs. Upon receipt, store it immediately at the temperature recommended below.
Stability & Storage
Store at -20C. Avoid freeze-thaw cycles.
Background: AKR1A1
Long Name
Aldo-keto reductase family 1 member A1
Alternate Names
Aldehyde reductase, ALDR1, EC 1.1.1.19, EC 1.1.1.2, EC 1.1.1.20, EC 1.1.1.372, EC 1.1.1.54
Gene Symbol
AKR1A1
Additional AKR1A1 Products
Product Documents for AKR1A1 Antibody - BSA Free
Product Specific Notices for AKR1A1 Antibody - BSA Free
This product is for research use only and is not approved for use in humans or in clinical diagnosis. Primary Antibodies are guaranteed for 1 year from date of receipt.
Loading...
Loading...
Loading...
Loading...