Skip to main content

AKR1A1 Antibody

Novus Biologicals, part of Bio-Techne | Catalog # NB100-1074

Novus Biologicals, part of Bio-Techne
Catalog #
Availability
Size / Price
Qty
Loading...
NB100-1074

Key Product Details

Species Reactivity

Validated:

Human

Predicted:

Bovine (100%), Canine (100%), Mouse (100%), Porcine (100%), Rat (100%). Backed by our 100% Guarantee.

Applications

Immunohistochemistry, Immunohistochemistry-Paraffin, Western Blot, Peptide ELISA

Label

Unconjugated

Antibody Source

Polyclonal Goat IgG

Concentration

0.5 mg/ml

Product Specifications

Immunogen

Peptide with sequence C-DAGHPLYPFNDPY corresponding to C-Terminus according to NP_697021.1.

Reactivity Notes

Predicted cross-reactivity based on sequence identity: Mouse, Rat, Canine, Porcine, Bovine.

Localization

Secreted

Specificity

Both reported variants (NP_006057.1and NP_697021.1) represent identical protein

Clonality

Polyclonal

Host

Goat

Isotype

IgG

Theoretical MW

37 kDa.
Disclaimer note: The observed molecular weight of the protein may vary from the listed predicted molecular weight due to post translational modifications, post translation cleavages, relative charges, and other experimental factors.

Scientific Data Images for AKR1A1 Antibody

Western Blot: AKR1A1 Antibody [NB100-1074]

Western Blot: AKR1A1 Antibody [NB100-1074]

Western Blot: AKR1A1 Antibody [NB100-1074] - Analysis of AKR1A1 in Human Placenta lysate using NB100-1074 at 1 ug/ ml.
Immunohistochemistry-Paraffin: AKR1A1 Antibody [NB100-1074]

Immunohistochemistry-Paraffin: AKR1A1 Antibody [NB100-1074]

Immunohistochemistry-Paraffin: AKR1A1 Antibody [NB100-1074] - (5ug/ml) staining of paraffin embedded Human Kidney. Heat induced antigen retrieval with citrate buffer pH 6, HRP-staining.
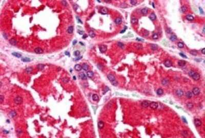
Immunohistochemistry-Paraffin: AKR1A1 Antibody [NB100-1074]

Immunohistochemistry-Paraffin: AKR1A1 Antibody [NB100-1074]

Immunohistochemistry-Paraffin: AKR1A1 Antibody [NB100-1074] - IHC staining of AKR1A1 in paraffin embedded Human Kidney using this antibody at 2.5g/ml. Steamed antigen retrieval with citrate buffer pH 6, AP-staining.

Applications for AKR1A1 Antibody

Application
Recommended Usage

Immunohistochemistry

2 - 3 ug/ml

Immunohistochemistry-Paraffin

2 - 3 ug/ml

Peptide ELISA

Detection limit 1:16000

Western Blot

0.1 - 0.3 ug/ml
Application Notes
WB: Approx. 37 kDa band observed in human liver and human placenta lysates. In transfected HEK293 transiently expressing human AKR1A1 a band of approx. 40 kDa is observed. This band is not observed in the non-transfected HEK293. (calculated MW of 36.6 kDa band according to NP_006057.1 and NP_697021.1). IHC-P: Human kidney shows Brush Border staining in PCT.

Formulation, Preparation, and Storage

Purification

Immunogen affinity purified

Formulation

Tris saline (20 mM Tris pH 7.3, 150 mM NaCl), 0.5% BSA

Preservative

0.02% Sodium Azide

Concentration

0.5 mg/ml

Shipping

The product is shipped with polar packs. Upon receipt, store it immediately at the temperature recommended below.

Stability & Storage

Store at -20C. Avoid freeze-thaw cycles.

Background: AKR1A1

The AKR1A1 gene encodes a member of the aldo/keto reductase superfamily, which consists of more than 40 known enzymes and proteins. This member, also known as aldehyde reductase, is involved in the reduction of biogenic and xenobiotic aldehydes and is present in virtually every tissue. Alternative splicing of this gene results in two transcript variants encoding the same protein.

Long Name

Aldo-keto reductase family 1 member A1

Alternate Names

Aldehyde reductase, ALDR1, EC 1.1.1.19, EC 1.1.1.2, EC 1.1.1.20, EC 1.1.1.372, EC 1.1.1.54

Entrez Gene IDs

10327 (Human); 58810 (Mouse); 78959 (Rat)

Gene Symbol

AKR1A1

UniProt

Additional AKR1A1 Products

Product Documents for AKR1A1 Antibody

Certificate of Analysis

To download a Certificate of Analysis, please enter a lot number in the search box below.

Product Specific Notices for AKR1A1 Antibody

This product is for research use only and is not approved for use in humans or in clinical diagnosis. Primary Antibodies are guaranteed for 1 year from date of receipt.

Loading...
Loading...
Loading...
Loading...