Skip to main content

AKAP95/AKAP8 Antibody - BSA Free

Novus Biologicals, part of Bio-Techne | Catalog # NBP1-90196

Novus Biologicals, part of Bio-Techne
Catalog #
Availability
Size / Price
Qty
Loading...
NBP1-90196
NBP1-90196-25ul

Key Product Details

Species Reactivity

Human

Applications

Immunohistochemistry, Immunohistochemistry-Paraffin, Western Blot, Immunocytochemistry/ Immunofluorescence

Label

Unconjugated

Antibody Source

Polyclonal Rabbit IgG

Format

BSA Free

Concentration

Concentrations vary lot to lot. See vial label for concentration. If unlisted please contact technical services.

Product Specifications

Immunogen

This antibody was developed against Recombinant Protein corresponding to amino acids: PEMEGDDNLGGEDKKETPEEVAADVLAEVITAAVRAVDGEGAPAPESSGEPAEDEGPTDTAEAGSDPQAEQLLEEQVPCGTAHEKGVPKARSEAAEAGNGAETMAAEAESAQTRVAPAPAAADAEVEQTDAESKDAVP

Marker

Nucleus without Nucleoli Marker

Clonality

Polyclonal

Host

Rabbit

Isotype

IgG

Description

Novus Biologicals Rabbit AKAP95/AKAP8 Antibody - BSA Free (NBP1-90196) is a polyclonal antibody validated for use in IHC, WB and ICC/IF. All Novus Biologicals antibodies are covered by our 100% guarantee.

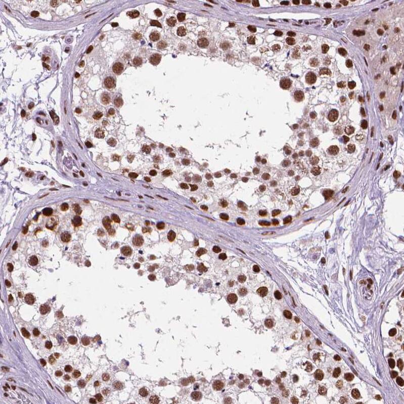
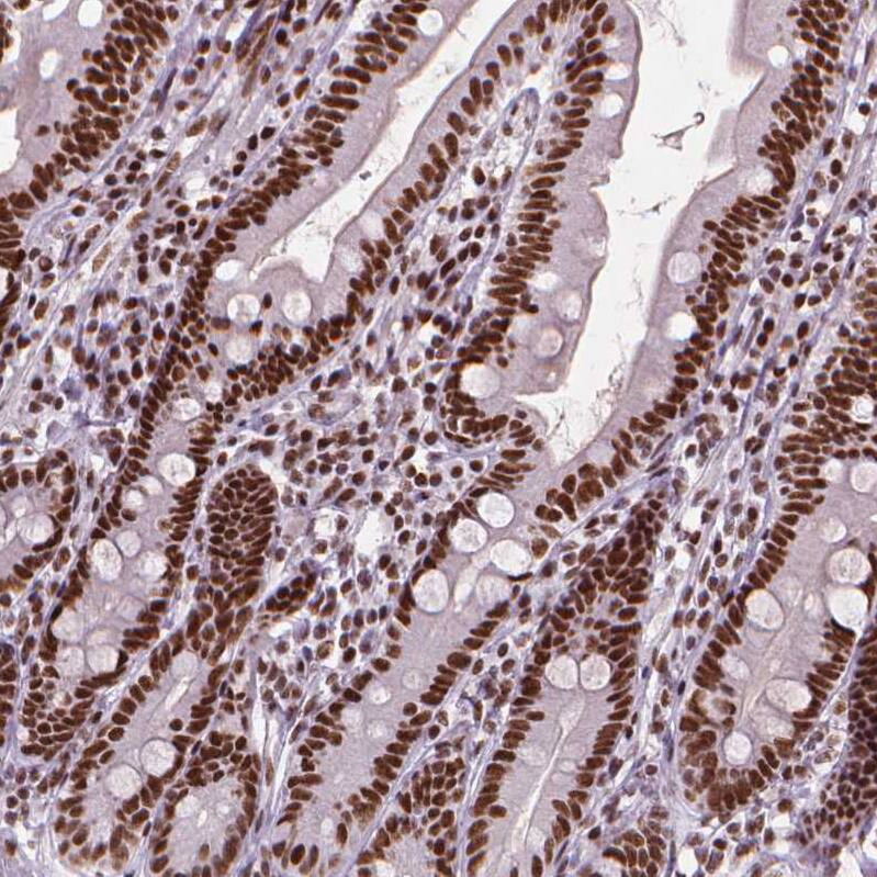
Scientific Data Images for AKAP95/AKAP8 Antibody - BSA Free

Immunocytochemistry/ Immunofluorescence: AKAP95/AKAP8 Antibody [NBP1-90196]

Immunocytochemistry/ Immunofluorescence: AKAP95/AKAP8 Antibody [NBP1-90196]

Immunocytochemistry/Immunofluorescence: AKAP95/AKAP8 Antibody [NBP1-90196] - Staining of human cell line U-251 MG shows localization to nucleoplasm.
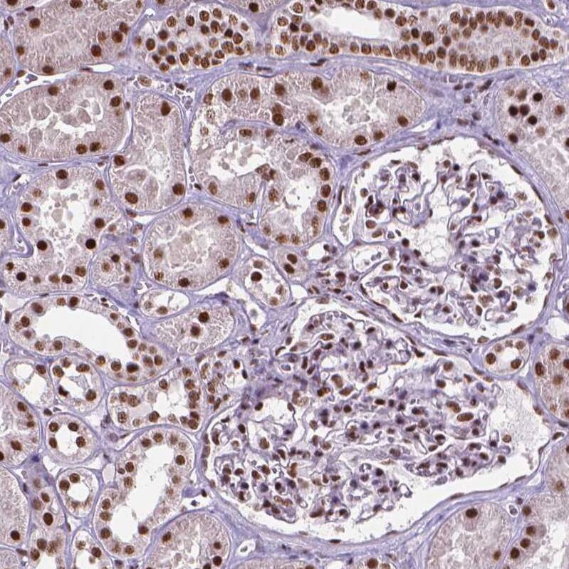
AKAP95/AKAP8 Antibody - BSA Free Immunohistochemistry: AKAP95/AKAP8 Antibody - BSA Free [NBP1-90196]

Immunohistochemistry: AKAP95/AKAP8 Antibody - BSA Free [NBP1-90196]

Staining of human kidney shows strong nuclear positivity in cells in tubules and cells in glomeruli.
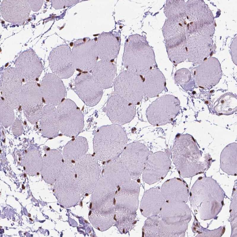
AKAP95/AKAP8 Antibody - BSA Free Immunohistochemistry: AKAP95/AKAP8 Antibody - BSA Free [NBP1-90196]

Immunohistochemistry: AKAP95/AKAP8 Antibody - BSA Free [NBP1-90196]

Staining of human skeletal muscle shows strong nuclear positivity in myocytes.

Applications for AKAP95/AKAP8 Antibody - BSA Free

Application
Recommended Usage

Immunocytochemistry/ Immunofluorescence

0.25-2 ug/ml

Immunohistochemistry

1:1000 - 1:2500

Immunohistochemistry-Paraffin

1:1000 - 1:2500

Western Blot

0.04-0.4 ug/ml
Application Notes
For IHC-Paraffin, HIER pH 6 retrieval is recommended. Immunocytochemistry/Immunofluorescence Fixation Permeabilization: Use PFA/Triton X-100.

Formulation, Preparation, and Storage

Purification

Affinity purified

Formulation

PBS (pH 7.2) and 40% Glycerol

Format

BSA Free

Preservative

0.02% Sodium Azide

Concentration

Concentrations vary lot to lot. See vial label for concentration. If unlisted please contact technical services.

Shipping

The product is shipped with polar packs. Upon receipt, store it immediately at the temperature recommended below.

Stability & Storage

Store at 4C short term. Aliquot and store at -20C long term. Avoid freeze-thaw cycles.

Background: AKAP95/AKAP8

The A-kinase anchor proteins (AKAPs) are a group of structurally diverse proteins, which have the common function of binding to the regulatory subunit of protein kinase A (PKA) and confining the holoenzyme to discrete locations within the cell. This gene encodes a member of the AKAP family. The encoded protein is located in the nucleus during interphase and is distinctly redistributed during mitosis. This protein has a cell cycle-dependent interaction with the RII subunit of PKA.

Alternate Names

A kinase (PRKA) anchor protein 8, AKAP-8, AKAP-95 AKAP 95, A-kinase anchor protein 8, A-kinase anchor protein 95 kDa, A-kinase anchor protein, 95kDa, DKFZp586B1222

Gene Symbol

AKAP8

Additional AKAP95/AKAP8 Products

Product Documents for AKAP95/AKAP8 Antibody - BSA Free

Certificate of Analysis

To download a Certificate of Analysis, please enter a lot number in the search box below.

Product Specific Notices for AKAP95/AKAP8 Antibody - BSA Free

This product is for research use only and is not approved for use in humans or in clinical diagnosis. Primary Antibodies are guaranteed for 1 year from date of receipt.

Loading...
Loading...
Loading...
Loading...