Skip to main content

AKAP3 Antibody (0B8) - BSA Free

Novus Biologicals, part of Bio-Techne | Catalog # NBP3-42924

Novus Biologicals, part of Bio-Techne
Catalog #
Availability
Size / Price
Qty
Loading...
NBP3-42924

Key Product Details

Species Reactivity

Human, Mouse

Applications

ELISA, Immunohistochemistry, Western Blot

Label

Unconjugated

Antibody Source

Monoclonal Mouse IgG2A Clone # 0B8

Format

BSA Free

Concentration

Please see the vial label for concentration. If unlisted please contact technical services.

Product Specifications

Immunogen

A kinase(PRKA) anchor protein 3 - (Uniprot# O75969)

Clonality

Monoclonal

Host

Mouse

Isotype

IgG2A

Theoretical MW

100 kDa.
Disclaimer note: The observed molecular weight of the protein may vary from the listed predicted molecular weight due to post translational modifications, post translation cleavages, relative charges, and other experimental factors.

Description

Novus Biologicals Mouse AKAP3 Antibody (0B8) - BSA Free (NBP3-42924) is a monoclonal antibody validated for use in IHC, WB and ELISA. All Novus Biologicals antibodies are covered by our 100% guarantee.

Scientific Data Images for AKAP3 Antibody (0B8) - BSA Free

AKAP3 Antibody (0B8)

Western Blot: AKAP3 Antibody (0B8) [NBP3-42924] -

Western Blot: AKAP3 Antibody (0B8) [NBP3-42924] - human testis tissue were subjected to SDS PAGE followed by western blot with (AKAP3 Antibody) at dilution of 1:2000
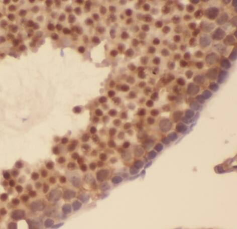
AKAP3 Antibody (0B8)

Immunohistochemistry: AKAP3 Antibody (0B8) [NBP3-42924] -

Immunohistochemistry: AKAP3 Antibody (0B8) [NBP3-42924] - Immunohistochemistry of paraffin-embedded mouse testis tissue slide using (AKAP3 antibody) at dilution of 1:100 heat mediated antigen retrieved with Tris-EDTA buffer(pH9).

Applications for AKAP3 Antibody (0B8) - BSA Free

Application
Recommended Usage

Immunohistochemistry

1:50 -200

Western Blot

1:500 - 1:2000

Formulation, Preparation, and Storage

Purification

Protein A or G purified

Formulation

PBS (pH 7.3), 50% glycerol

Format

BSA Free

Preservative

0.02% Sodium Azide

Concentration

Please see the vial label for concentration. If unlisted please contact technical services.

Shipping

The product is shipped with polar packs. Upon receipt, store it immediately at the temperature recommended below.

Stability & Storage

Store at -20C. Avoid freeze-thaw cycles.

Background: AKAP3

A-kinase anchor proteins (AKAPs) direct the activity of protein kinase A (PKA) by tethering the enzyme near its physiologic substrates. May function as a regulator of both motility- and head-associated functions such as capacitation and the acrosome reaction in sperm.

Alternate Names

A kinase (PRKA) anchor protein 3, AKAP110AKAP 110, AKAP-3, A-kinase anchor protein 110 kDa, Cancer/testis antigen 82, CT82A-kinase anchor protein 3, Fibrous sheath protein of 95 kDa, fibrousheathin 1, Fibrousheathin I, fibrousheathin-1, FSP95A-kinase anchor protein, 110kDa, PRKA3, protein kinase A anchoring protein 3, Protein kinase A-anchoring protein 3, SOB1fibrous sheath protein, 95kDa, Sperm oocyte-binding protein, sperm oocyte-binding protein 1

Gene Symbol

AKAP3

Additional AKAP3 Products

Product Documents for AKAP3 Antibody (0B8) - BSA Free

Certificate of Analysis

To download a Certificate of Analysis, please enter a lot number in the search box below.

Product Specific Notices for AKAP3 Antibody (0B8) - BSA Free

This product is for research use only and is not approved for use in humans or in clinical diagnosis. Primary Antibodies are guaranteed for 1 year from date of receipt.

Loading...
Loading...
Loading...
Loading...