Skip to main content

AK5 Antibody (OTI2F9)

Novus Biologicals, part of Bio-Techne | Catalog # NBP2-02978

Novus Biologicals, part of Bio-Techne
Catalog #
Availability
Size / Price
Qty
Loading...
NBP2-02978

Key Product Details

Species Reactivity

Human, Mouse, Rat

Applications

Immunohistochemistry, Immunohistochemistry-Paraffin, Western Blot, Flow Cytometry, Immunocytochemistry/ Immunofluorescence

Label

Unconjugated

Antibody Source

Monoclonal Mouse IgG2B Clone # OTI2F9

Concentration

0.86 mg/ml

Product Specifications

Immunogen

Full length human recombinant protein of human AK5 (NP_777283) produced in HEK293T cell.

Reactivity Notes

Please note that this antibody is reactive to Mouse and derived from the same host, Mouse. Mouse-On-Mouse blocking reagent may be needed for IHC and ICC experiments to reduce high background signal. You can find these reagents under catalog numbers PK-2200-NB and MP-2400-NB. Please contact Technical Support if you have any questions.

Clonality

Monoclonal

Host

Mouse

Isotype

IgG2B

Theoretical MW

63.2 kDa.
Disclaimer note: The observed molecular weight of the protein may vary from the listed predicted molecular weight due to post translational modifications, post translation cleavages, relative charges, and other experimental factors.

Description

Novus Biologicals Mouse AK5 Antibody (OTI2F9) (NBP2-02978) is a monoclonal antibody validated for use in IHC, WB, Flow and ICC/IF. All Novus Biologicals antibodies are covered by our 100% guarantee.

Scientific Data Images for AK5 Antibody (OTI2F9)

Western Blot: AK5 Antibody (OTI2F9) [NBP2-02978]

Western Blot: AK5 Antibody (OTI2F9) [NBP2-02978]

Western Blot: AK5 Antibody (2F9) [NBP2-02978] - HEK293T cells were transfected with the pCMV6-ENTRY control (Left lane) or pCMV6-ENTRY AK5 (Right lane) cDNA for 48 hrs and lysed. Equivalent amounts of cell lysates (5 ug per lane) were separated by SDS-PAGE and immunoblotted with anti-AK5.
Immunocytochemistry/Immunofluorescence: AK5 Antibody (2F9) [NBP2-02978] Staining of COS7 cells transiently transfected by pCMV6-ENTRY AK5.
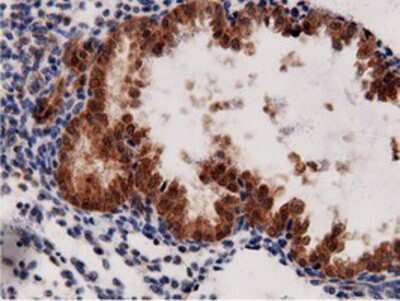
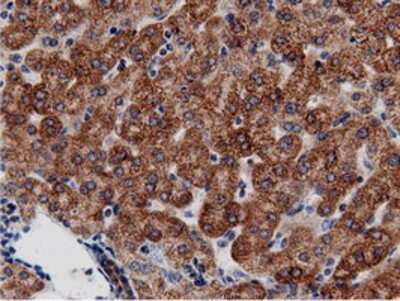
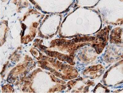
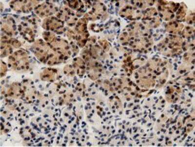
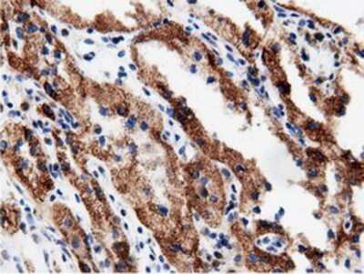
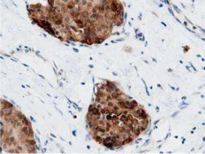
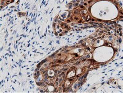
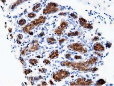
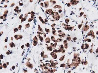
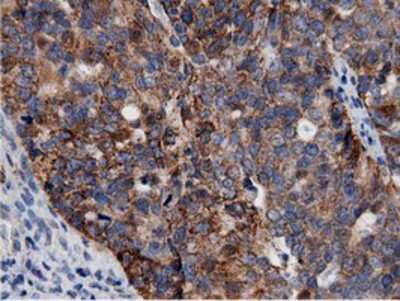
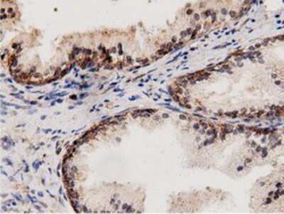
Immunohistochemistry-Paraffin: AK5 Antibody (OTI2F9) [NBP2-02978]

Immunohistochemistry-Paraffin: AK5 Antibody (OTI2F9) [NBP2-02978]

Immunohistochemistry-Paraffin: AK5 Antibody (2F9) [NBP2-02978] - Staining of paraffin-embedded Human prostate tissue using anti-AK5 mouse monoclonal antibody.

Applications for AK5 Antibody (OTI2F9)

Application
Recommended Usage

Flow Cytometry

1:100

Immunocytochemistry/ Immunofluorescence

1:100

Immunohistochemistry

1:150

Immunohistochemistry-Paraffin

1:150

Western Blot

1:2000

Formulation, Preparation, and Storage

Purification

Immunogen affinity purified

Formulation

PBS (pH 7.3), 1.0% BSA and 50% Glycerol

Preservative

0.02% Sodium Azide

Concentration

0.86 mg/ml

Shipping

The product is shipped with polar packs. Upon receipt, store it immediately at the temperature recommended below.

Stability & Storage

Store at -20C. Avoid freeze-thaw cycles.

Background: AK5

This gene encodes a member of the adenylate kinase family, which is involved in regulating the adenine nucleotide composition within a cell by catalyzing the reversible transfer of phosphate groups among adenine nucleotides. This member is related to the UMP/CMP kinase of several species. It is located in the cytosol and expressed exclusively in brain. Alternatively spliced transcript variants encoding distinct isoforms have been identified for this gene. [provided by RefSeq].

Long Name

Adenylate kinase isoenzyme 5

Alternate Names

AK 5

Entrez Gene IDs

26289 (Human)

Gene Symbol

AK5

Additional AK5 Products

Product Documents for AK5 Antibody (OTI2F9)

Certificate of Analysis

To download a Certificate of Analysis, please enter a lot number in the search box below.

Product Specific Notices for AK5 Antibody (OTI2F9)

This product is for research use only and is not approved for use in humans or in clinical diagnosis. Primary Antibodies are guaranteed for 1 year from date of receipt.

Loading...
Loading...
Loading...
Loading...
Loading...