Skip to main content

AK3L1 Antibody (OTI3B1)

Novus Biologicals, part of Bio-Techne | Catalog # NBP2-00827

Novus Biologicals, part of Bio-Techne

Key Product Details

Species Reactivity

Human, Mouse, Rat, Canine, Monkey, Primate

Applications

Immunohistochemistry, Immunohistochemistry-Paraffin, Western Blot, Flow Cytometry, Immunocytochemistry/ Immunofluorescence

Label

Unconjugated

Antibody Source

Monoclonal Mouse IgG1 Clone # OTI3B1

Concentration

1 mg/ml

Product Specifications

Immunogen

Full length human recombinant protein of human AK4(NP_037542) produced in HEK293 cell.

Reactivity Notes

Please note that this antibody is reactive to Mouse and derived from the same host, Mouse. Mouse-On-Mouse blocking reagent may be needed for IHC and ICC experiments to reduce high background signal. You can find these reagents under catalog numbers PK-2200-NB and MP-2400-NB. Please contact Technical Support if you have any questions.

Clonality

Monoclonal

Host

Mouse

Isotype

IgG1

Theoretical MW

25.1 kDa.
Disclaimer note: The observed molecular weight of the protein may vary from the listed predicted molecular weight due to post translational modifications, post translation cleavages, relative charges, and other experimental factors.

Description

Novus Biologicals Mouse AK3L1 Antibody (OTI3B1) (NBP2-00827) is a monoclonal antibody validated for use in IHC, WB, Flow and ICC/IF. All Novus Biologicals antibodies are covered by our 100% guarantee.

Scientific Data Images for AK3L1 Antibody (OTI3B1)

Western Blot: AK3L1 Antibody (3B1) [NBP2-00827] Analysis of extracts (35ug) from 9 different cell lines by using anti-AK3L1 monoclonal antibody.
Immunocytochemistry/ Immunofluorescence: AK3L1 Antibody (OTI3B1) [NBP2-00827]

Immunocytochemistry/ Immunofluorescence: AK3L1 Antibody (OTI3B1) [NBP2-00827]

Immunocytochemistry/Immunofluorescence: AK3L1 Antibody (3B1) [NBP2-00827] - Staining of COS7 cells transiently transfected by pCMV6-ENTRY AK3L1.
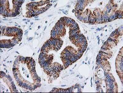
Immunohistochemistry-Paraffin: AK3L1 Antibody (OTI3B1) [NBP2-00827]

Immunohistochemistry-Paraffin: AK3L1 Antibody (OTI3B1) [NBP2-00827]

Immunohistochemistry-Paraffin: AK3L1 Antibody (3B1) [NBP2-00827] - Staining of paraffin-embedded Human liver tissue using anti-AK3L1 mouse monoclonal antibody.

Applications for AK3L1 Antibody (OTI3B1)

Application
Recommended Usage

Flow Cytometry

1:100

Immunocytochemistry/ Immunofluorescence

1:100

Immunohistochemistry

1:150

Immunohistochemistry-Paraffin

1:150

Western Blot

1:500-2000

Formulation, Preparation, and Storage

Purification

Immunogen affinity purified

Formulation

PBS (pH 7.3), 1.0% BSA and 50% Glycerol

Preservative

0.02% Sodium Azide

Concentration

1 mg/ml

Shipping

The product is shipped with polar packs. Upon receipt, store it immediately at the temperature recommended below.

Stability & Storage

Store at -20C. Avoid freeze-thaw cycles.

Background: AK3L1

This gene encodes a member of the adenylate kinase family of enzymes. The encoded protein is localized to the mitochondrial matrix. Adenylate kinases regulate the adenine and guanine nucleotide compositions within a cell by catalyzing the reversible transfer of phosphate group among these nucleotides. Five isozymes of adenylate kinase have been identified in vertebrates. Expression of these isozymes is tissue-specific and developmentally regulated. A pseudogene for this gene has been located on chromosome 17. Three transcript variants encoding the same protein have been identified for this gene. Sequence alignment suggests that the gene defined by NM_013410, NM_203464, and NM_001005353 is located on chromosome 1. [provided by RefSeq].

Long Name

Adenylate kinase 4, mitochondrial

Alternate Names

AK 4, AK3, AK4

Entrez Gene IDs

205 (Human)

Gene Symbol

AK4

Additional AK3L1 Products

Product Documents for AK3L1 Antibody (OTI3B1)

Certificate of Analysis

To download a Certificate of Analysis, please enter a lot number in the search box below.

Product Specific Notices for AK3L1 Antibody (OTI3B1)

This product is for research use only and is not approved for use in humans or in clinical diagnosis. Primary Antibodies are guaranteed for 1 year from date of receipt.

Loading...
Loading...
Loading...
Loading...
Loading...