Skip to main content

AIF-1/Iba1 Antibody - Azide and BSA Free

Novus Biologicals, part of Bio-Techne | Catalog # NBP2-19019

Novus Biologicals, part of Bio-Techne
Catalog #
Availability
Size / Price
Qty
Loading...
NBP2-19019

Key Product Details

Validated by

Orthogonal Validation

Species Reactivity

Validated:

Human, Mouse, Rat

Cited:

Human, Mouse, Rat, Primate - Macaca mulatta (Rhesus Macaque)

Predicted:

Porcine (100%), Rhesus Macaque (100%). Backed by our 100% Guarantee.

Applications

Validated:

Immunohistochemistry, Immunohistochemistry-Paraffin, Immunohistochemistry-Frozen, Immunohistochemistry Free-Floating, Western Blot, Flow Cytometry, Immunocytochemistry/ Immunofluorescence, Simple Western

Cited:

Immunohistochemistry, Immunohistochemistry-Paraffin, Immunohistochemistry-Frozen, Western Blot, Immunocytochemistry/ Immunofluorescence, IF/IHC

Label

Unconjugated

Antibody Source

Polyclonal Rabbit IgG

Format

Azide and BSA Free

Concentration

Concentrations vary lot to lot. See vial label for concentration. If unlisted please contact technical services.

Product Specifications

Immunogen

Carrier-protein conjugated synthetic peptide encompassing a sequence within the C-terminus region of human AIF-1/Iba1. The exact sequence is proprietary.

Marker

pan-Microglia Marker

Clonality

Polyclonal

Host

Rabbit

Isotype

IgG

Theoretical MW

17 kDa.
Disclaimer note: The observed molecular weight of the protein may vary from the listed predicted molecular weight due to post translational modifications, post translation cleavages, relative charges, and other experimental factors.

Description

Novus Biologicals Rabbit AIF-1/Iba1 Antibody - Azide and BSA Free (NBP2-19019) is a polyclonal antibody validated for use in IHC, WB, Flow, ICC/IF and Simple Western. Anti-AIF-1/Iba1 Antibody: Cited in 29 publications. All Novus Biologicals antibodies are covered by our 100% guarantee.

Scientific Data Images for AIF-1/Iba1 Antibody - Azide and BSA Free

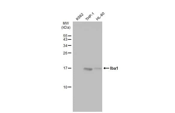
Western Blot: AIF-1/Iba1 Antibody [NBP2-19019]

Western Blot: AIF-1/Iba1 Antibody [NBP2-19019]

Western Blot: AIF-1/Iba1 Antibody [NBP2-19019] - Various 50 ug tissue extracts (Molecular weight: 16.7 KDa) were separated by 15% SDS-PAGE, and the membrane was blotted with AIF-1/Iba1 Antibody diluted at 1:1000. The HRP-conjugated anti-rabbit IgG antibody (NBP2-19301) was used to detect the primary antibody.
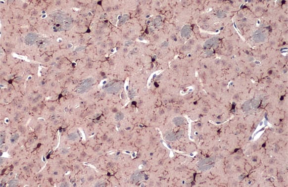
Immunohistochemistry-Paraffin: AIF-1/Iba1 Antibody [NBP2-19019]

Immunohistochemistry-Paraffin: AIF-1/Iba1 Antibody [NBP2-19019]

Immunohistochemistry-Paraffin: AIF-1/Iba1 Antibody [NBP2-19019] - Mouse fore brain. Iba1 antibody dilution: 1:500. Antigen Retrieval: Trilogy™ (EDTA based, pH 8.0) buffer, 15min
Flow Cytometry: AIF-1/Iba1 Antibody [NBP2-19019]

Flow Cytometry: AIF-1/Iba1 Antibody [NBP2-19019]

Flow Cytometry: AIF-1/Iba1 Antibody [NBP2-19019] - THP-1 cell. Black: Unlabelled sample was used as a control.Red: AIF-1:Iba1 Antibody dilution: 1:50.

Applications for AIF-1/Iba1 Antibody - Azide and BSA Free

Application
Recommended Usage

Flow Cytometry

1:50-1:200

Immunocytochemistry/ Immunofluorescence

1:100-1:1000

Immunohistochemistry

1:100-1000

Immunohistochemistry Free-Floating

Assay dependent

Immunohistochemistry-Frozen

1:100-1:1000

Immunohistochemistry-Paraffin

1:100-1:1000

Simple Western

1:50

Western Blot

1:500-1:10000
Application Notes
Simple Western Separated by Size, antibody dilution of 1:50, detects a band at 25 kDa.

Reviewed Applications

Read 4 reviews rated 3.8 using NBP2-19019 in the following applications:

Formulation, Preparation, and Storage

Purification

Antigen Affinity-purified

Formulation

PBS

Format

Azide and BSA Free

Preservative

No Preservative

Concentration

Concentrations vary lot to lot. See vial label for concentration. If unlisted please contact technical services.

Shipping

The product is shipped with polar packs. Upon receipt, store it immediately at the temperature recommended below.

Stability & Storage

Aliquot and store at -20C or -80C. Avoid freeze-thaw cycles.

Background: AIF-1/Iba1

Allograft inflammatory factor (AIF-1) or ionized calcium-binding adapter molecule 1 (Iba1) is a cytosolic actin binding protein containing a calcium binding domain (EF-hand) and inducible by cytokines and IFN-gamma (1). AIF-1 (theoretical molecular weight 17kDa) was first cloned from rat and human cardiac allografts and macrophage cell lines. In cardiac allografts, expression of AIF-1 was specifically associated with infiltrated mononuclear cells (2, 3). AIF-1 is constitutively expressed and inducible in macrophages and microglia. Iba1, microglia response factor (MRF-1) and daintain were independently cloned and identified in rat and human tissues and share complete sequence identity with AIF-1. Additionally, several AIF-1 splice variants have been identified including IRT-1, BART-1, G1 and Hara-1 (2).

Several cellular functions have been associated with AIF-1/Iba1 expression including cell growth, cell migration, actin bundling, membrane ruffling, and phagocytic activity (2, 4). Iba1 induces Rac signaling through a PLC-gamma dependent pathway (1). Rac, a member of the Rho family of small GTPases, localizes with Iba1 and F-actin in membrane ruffles and phagocytic cups and plays a role in microglia activation. AIF-1/Iba1 induction in macrophages and microglia occur in association with immunological inflammatory processes in various disease states including endometriosis, cerebral infarction and rheumatoid arthritis (5). Immunodetection of Iba1 through flow cytometry, immunohistochemical or immunocytochemical applications is commonly used for identification and analysis of microglia.

References

1. Imai, Y., & Kohsaka, S. (2002). Intracellular signaling in M-CSF-induced microglia activation: Role of Iba1. GLIA. https://doi.org/10.1002/glia.10149

2. Deininger, M. H., Meyermann, R., & Schluesener, H. J. (2002). The allograft inflammatory factor-1 family of proteins. FEBS Letters. https://doi.org/10.1016/S0014-5793(02)02430-4

3. Utans, U., Quist, W. C., Mcmanus, B. M., Wilson, J. E., Arceci, R. J., Wallace, A. F., & Russell, M. E. (1996). Allograft inflammatory factor-1: A cytokine-responsive macrophage molecule expressed in transplanted human hearts. Transplantation. https://doi.org/10.1097/00007890-199605150-00018

4. Franco-Bocanegra, McAuley, Nicoll, & Boche. (2019). Molecular Mechanisms of Microglial Motility: Changes in Ageing and Alzheimer's Disease. Cells. https://doi.org/10.3390/cells8060639

5. Kimura, M., Kawahito, Y., Obayashi, H., Ohta, M., Hara, H., Adachi, T., ... Yoshikawa, T. (2007). A Critical Role for Allograft Inflammatory Factor-1 in the Pathogenesis of Rheumatoid Arthritis. The Journal of Immunology. https://doi.org/10.4049/jimmunol.178.5.3316

Long Name

Allograft Inflammatory Factor 1

Alternate Names

AIF1, IBA1, IRT1

Entrez Gene IDs

199 (Human)

Gene Symbol

AIF1

Additional AIF-1/Iba1 Products

Product Documents for AIF-1/Iba1 Antibody - Azide and BSA Free

Certificate of Analysis

To download a Certificate of Analysis, please enter a lot number in the search box below.

Product Specific Notices for AIF-1/Iba1 Antibody - Azide and BSA Free

This product is for research use only and is not approved for use in humans or in clinical diagnosis. Primary Antibodies are guaranteed for 1 year from date of receipt.

Loading...
Loading...
Loading...
Loading...
Loading...
Loading...