Immunohistochemical Detection of AIF-1/Iba1 in Paraffin Embedded Mouse Brain
Staining in mouse brain using AIF-1/Iba1 Antibody. IHC-P image submitted by a verified customer review.
Staining of AIF-1/Iba1 in Paraffin Embedded Tissue
Brown arrow= AIF-1/Iba1 positive cells, Green arrow= mTOR positive cells, Black arrow= mTOR and AIF-1/Iba1 positive cells. IHC-P image submitted by a verified customer review.
Immunohistochemical Staining of AIF-1/Iba1 in Frozen Rat Hippocampus
Staining in rat hippocampus using AIF-1/Iba1 Antibody. IHC-Fr image submitted by a verified customer review.
Immunohistochemical Detection of AIF-1/Iba1 in Frozen Feline Optic Nerve Microglia
Feline optic nerve microglia were immunolabeled with AIF-1/Iba1 Antibody (green), DAPI (blue). Imaging was performed using an epifluorescence microscope. IHC-Fr image submitted by a verified customer review.
Immunohistochemical Detection of AIF-1/Iba1 in Mouse Dorsal Root Ganglia
Mouse dorsal root ganglia. AIF-1/Iba1 expression in reactive macrophages. Maximum intensity z-projection from 3D images. IHC image submitted by a verified customer review.
Immunohistochemical Staining of AIF-1/Iba1 in Mouse Brain
Staining in mouse brain using AIF-1/Iba1 Antibody. IHC image submitted by a verified customer review.
Staining of Frozen LPS Injected Mouse Brain Tissue
Analysis of LPS injected mouse brain tissue, 20 um thickness, frozen. Primary antibody dilution, 1:200. Secondary antibody CY3. Mounted with DAPI mount. Image from verified customer review.
AIF-1/Iba1 Staining in Frozen Mouse Brain Tissue
AIF-1/Iba1 staining of AD mouse model (hippocampus). Image from verified customer review.
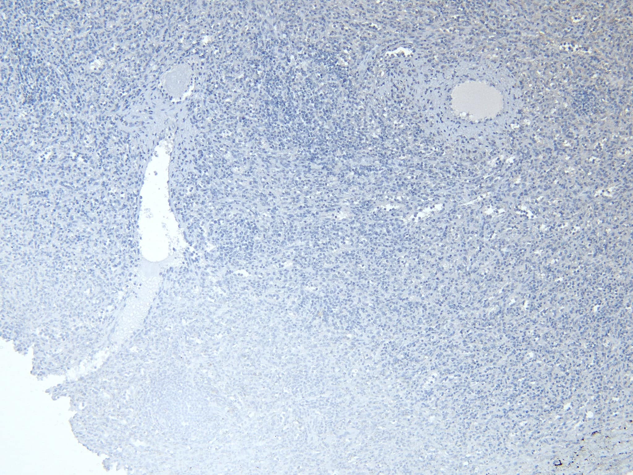
Negative Control Staining of Human Spleen Tissue
Negative Control showing staining of paraffin embedded Human Spleen, with no primary antibody.
Western Blot Detection of AIF-1/Iba1 in Mouse Lymph Node Lysate
(0.1ug/ml) staining of Mouse Lymph node lysate (35ug protein in RIPA buffer). Detected by chemiluminescence.
Detection of AIF-1/Iba1 in Multiple Species by Western Blot
(1ug/ml) staining of Human Frontal Cortex (A) and (0.1ug/ml) Mouse (B) and Rat (C) Brain lysate (35ug protein in RIPA buffer). Detected by chemiluminescence.
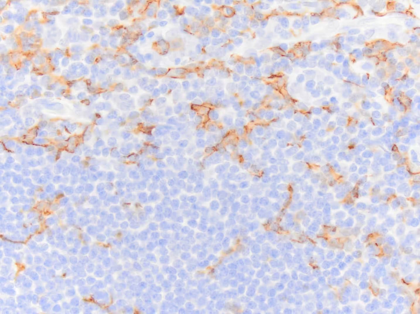
Immunohistochemical Staining of AIF-1/Iba1 in Paraffin Embedded Human Spleen
(8ug/ml) staining of paraffin embedded Human Spleen. Heat induced antigen retrieval with citrate buffer Ph 6, HRP-staining.
Immunohistochemistry-Paraffin: Goat Polyclonal AIF-1/Iba1 Antibody [NB100-1028] -
Immunohistochemistry-Paraffin: Goat Polyclonal AIF-1/Iba1 Antibody [NB100-1028] - AIF-1/Iba1 immunoreactivity in an FFPE section of mouse spleen. NB100-1028 was diluted to 1ug per mL and was left on tissue sections for 30m at room temperature. Secondary was horse anti goat HRP polymer. Image from a verified customer review.
Immunohistochemistry-Paraffin: Goat Polyclonal AIF-1/Iba1 Antibody [NB100-1028] -
Immunohistochemistry-Paraffin: Goat Polyclonal AIF-1/Iba1 Antibody [NB100-1028] - AIF-1/Iba1 immunoreactivity in an FFPE section of human tonsil. NB100-1028 was diluted to 1ug per mL and was left on tissue sections for 30m at room temperature. Secondary was horse anti goat HRP polymer. Image from a verified customer review.
Immunohistochemistry-Paraffin: Goat Polyclonal AIF-1/Iba1 Antibody [NB100-1028] -
Immunohistochemistry-Paraffin: Goat Polyclonal AIF-1/Iba1 Antibody [NB100-1028] - AIF-1/Iba1 immunoreactivity in an FFPE section of equine spleen. NB100-1028 was diluted to 1ug per mL and was left on tissue sections for 30m at room temperature. Secondary was equine anti goat HRP polymer. Image from a verified customer review.
Immunocytochemistry/ Immunofluorescence: AIF-1/Iba1 Antibody [NB100-1028] -
Immunocytochemistry/ Immunofluorescence: AIF-1/Iba1 Antibody [NB100-1028] - Microglia proliferate in non‐APP mice upon peripheral immune challengeA, BIba‐1, Ki67, & DAPI staining in the cortex & hippocampus of wild‐type & Nlrp3−/− (5 & 15 months old). Microglia proliferate upon LPS injection (white arrows). Non‐microglia cells proliferation was observed as well (yellow arrows). Scale bar: 20 μm.CQuantification of microglial proliferation in cortex (left panel) & hippocampus (right panel) (mean of 5 ± SEM; two‐way ANOVA followed by Tukey's post hoc test, *P < 0.05, **P < 0.01, ***P < 0.001). Image collected & cropped by CiteAb from the following publication (https://pubmed.ncbi.nlm.nih.gov/31359456), licensed under a CC-BY license. Not internally tested by Novus Biologicals.
Immunocytochemistry/ Immunofluorescence: AIF-1/Iba1 Antibody [NB100-1028] -
Immunocytochemistry/ Immunofluorescence: AIF-1/Iba1 Antibody [NB100-1028] - Blood–brain barrier is compromised in old APP mice upon LPS injectionIba‐1 (green) & fibrinogen (red) staining in cortex of 5 & 15 months old of wild‐type & Nlrp3−/− mice. Scale bar: 10 μm.Iba‐1 (green) & fibrinogen (red) staining in cortex of 5 & 15 months old of APP & APP/Nlrp3−/− mice. Scale bar: 10 μm.Fibrinogen integrated density in wild‐type & Nlrp3−/− mice (left panel) & APP & APP/Nlrp3−/− mice (right panel) (mean of 5 ± SEM; two‐way ANOVA followed by Tukey's post hoc test, ***P < 0.001). Image collected & cropped by CiteAb from the following publication (https://pubmed.ncbi.nlm.nih.gov/31359456), licensed under a CC-BY license. Not internally tested by Novus Biologicals.
Immunocytochemistry/ Immunofluorescence: AIF-1/Iba1 Antibody [NB100-1028] -
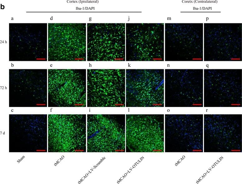
Immunocytochemistry/ Immunofluorescence: AIF-1/Iba1 Antibody [NB100-1028] - OTULIN overexpression reduced the number of Iba-1+ microglial cells in the cortical ischemic penumbra in focal cerebral ischemia/reperfusion rats. A Representative images of Iba-1+ microglial cells that were morphologically classified into three types; scale bar = 10 μm. B Iba-1+ microglial cells in the ischemic penumbra & contralateral cortex of each group were detected by confocal immunofluorescence at 24 h, 72 h, & 7 days; scale bar = 75 μm. C The histogram represents the quantitative analysis of mean Iba-1 immunofluorescence intensity in each group (n = 6). Data are presented as the means ± SEMs; ###P < 0.001 versus the tMCAO group; &&&P < 0.001 versus the tMCAO+LV-Scramble group Image collected & cropped by CiteAb from the following publication (https://pubmed.ncbi.nlm.nih.gov/29544517), licensed under a CC-BY license. Not internally tested by Novus Biologicals.
Immunocytochemistry/ Immunofluorescence: AIF-1/Iba1 Antibody [NB100-1028] -
Immunocytochemistry/ Immunofluorescence: AIF-1/Iba1 Antibody [NB100-1028] - ABIN1 knockdown impairs the antineuroinflammatory effect of EA. (a) The concentrations of TNF-alpha, IL-1 beta, & MCP-1 in the peri-infarct cortex were detected using ELISAs at 24 h after reperfusion (n = 5 rats per group). (b) Microglial morphology was observed by conducting immunofluorescence staining for Iba-1 (green) in the peri-infarct cortex at 24 h after reperfusion (n = 3 rats per group). Scale bar = 50 μm. (c & d) Quantification of microglial endpoints/cell & process length/cell (∗∗P < 0.01 compared to the MCAO/R group; #P < 0.05 & ##P < 0.01 compared to the MCAO/R + EA group). Image collected & cropped by CiteAb from the following publication (https://pubmed.ncbi.nlm.nih.gov/33110436), licensed under a CC-BY license. Not internally tested by Novus Biologicals.
Immunocytochemistry/ Immunofluorescence: AIF-1/Iba1 Antibody [NB100-1028] -
Immunocytochemistry/ Immunofluorescence: AIF-1/Iba1 Antibody [NB100-1028] - a Heatmap of regulated genes related to phagocytosis in the corpus callosum (CC), cerebellum (Cb) & cortex (Cx) at different ages [postnatal day (P)7, 10, 42]. b Heatmap of known priming genes in the CC, Cb & Cx at P7, P10 & P42. Asterisks highlighting genes confirmed on protein level; Representative immunofluorescence pictures of wildtype mice depicting SPP1 [red (c, e)], CLEC7a [white (c, e)] & CD206 [white (d)] expression in IBA-1+ microglia (green) in the CC (c, d), Cx (e left) & Cb (e right) at P7, P10 & P42. Scale bar 50 µm; blue = DAPI; arrow indicating IBA-1+/SPP1+ cell in Cb; N = 3–4 mice per timepoint Image collected & cropped by CiteAb from the following publication (https://pubmed.ncbi.nlm.nih.gov/31262353), licensed under a CC-BY license. Not internally tested by Novus Biologicals.
Immunocytochemistry/ Immunofluorescence: AIF-1/Iba1 Antibody [NB100-1028] -
Immunocytochemistry/ Immunofluorescence: AIF-1/Iba1 Antibody [NB100-1028] - Iba1-positive myeloid cells in the ischemic peri-infarct area express cleaved caspase-8 in a pMCAO mouse model of ischemic stroke. Consecutive frozen tissue sections of the ischemic core & the peri-infarct regions from mice after 48 h of permanent middle cerebral artery occlusion (pMCAO) were analyzed by immunohistochemistry with a mouse specific antibody recognizing active caspase-8 when cleaved at Asp 387, or an Iba1 antibody used to detect myeloid cells (a). Double immunofluorescent staining demonstrated the co-localization of cleaved caspase-8 & the myeloid cell marker Iba1 (b). Scale bars represent 850 μm (a) & 300 μm (b) Image collected & cropped by CiteAb from the following publication (https://pubmed.ncbi.nlm.nih.gov/27566702), licensed under a CC-BY license. Not internally tested by Novus Biologicals.
Immunocytochemistry/ Immunofluorescence: AIF-1/Iba1 Antibody [NB100-1028] -
Immunocytochemistry/ Immunofluorescence: AIF-1/Iba1 Antibody [NB100-1028] - Microglia proliferate in APP/PS1 mice upon peripheral immune challengeA, BIba‐1, Ki67, & MXO4 staining in the cortex & hippocampus of APP & APP/Nlrp3−/− (5 & 15 months old). Microglia proliferate upon LPS injection (white arrows). Non‐microglia cells proliferation was observed as well (yellow arrows). Scale bar: 20 μm.CQuantification of microglial proliferation in cortex (left panel) & hippocampus (right panel) (mean of 5 ± SEM; two‐way ANOVA followed by Tukey's post hoc test, *P < 0.05, **P < 0.01, ***P < 0.001). Image collected & cropped by CiteAb from the following publication (https://pubmed.ncbi.nlm.nih.gov/31359456), licensed under a CC-BY license. Not internally tested by Novus Biologicals.
Immunohistochemistry: AIF-1/Iba1 Antibody [NB100-1028] -
Immunohistochemistry: AIF-1/Iba1 Antibody [NB100-1028] - Iba1-positive myeloid cells in the ischemic peri-infarct area express cleaved caspase-8 in a pMCAO mouse model of ischemic stroke. Consecutive frozen tissue sections of the ischemic core & the peri-infarct regions from mice after 48 h of permanent middle cerebral artery occlusion (pMCAO) were analyzed by immunohistochemistry with a mouse specific antibody recognizing active caspase-8 when cleaved at Asp 387, or an Iba1 antibody used to detect myeloid cells (a). Double immunofluorescent staining demonstrated the co-localization of cleaved caspase-8 & the myeloid cell marker Iba1 (b). Scale bars represent 850 μm (a) & 300 μm (b) Image collected & cropped by CiteAb from the following publication (https://pubmed.ncbi.nlm.nih.gov/27566702), licensed under a CC-BY license. Not internally tested by Novus Biologicals.
Immunohistochemistry: AIF-1/Iba1 Antibody [NB100-1028] -
Immunohistochemistry: AIF-1/Iba1 Antibody [NB100-1028] - Microglia infiltrate 3×Tg-AD mice brains in a perivascular fashion. Representative hippocampal bright-field × 40 micrographs with × 100 insets. Perivascular infiltration with CD-68+ cells of control (A) & norvaline-treated mice (B) hippocampi. Iba1+ microglia in control (C) & norvaline-treated (D) mice. Measurement of the CD-68 immunopositive surface area (E) & stain intensity (F) with ZEN 2.5 revealed a significant effect of the treatment. (G) The relative intensity of perivascular Iba1+ microglia. Student’s unpaired t-test, n = 20, * p < 0.05. Image collected & cropped by CiteAb from the following publication (https://pubmed.ncbi.nlm.nih.gov/31540372), licensed under a CC-BY license. Not internally tested by Novus Biologicals.
Immunocytochemistry/ Immunofluorescence: AIF-1/Iba1 Antibody [NB100-1028] -
Immunocytochemistry/ Immunofluorescence: AIF-1/Iba1 Antibody [NB100-1028] - OTULIN overexpression reduced the number of Iba-1+ microglial cells in the cortical ischemic penumbra in focal cerebral ischemia/reperfusion rats. A Representative images of Iba-1+ microglial cells that were morphologically classified into three types; scale bar = 10 μm. B Iba-1+ microglial cells in the ischemic penumbra & contralateral cortex of each group were detected by confocal immunofluorescence at 24 h, 72 h, & 7 days; scale bar = 75 μm. C The histogram represents the quantitative analysis of mean Iba-1 immunofluorescence intensity in each group (n = 6). Data are presented as the means ± SEMs; ###P < 0.001 versus the tMCAO group; &&&P < 0.001 versus the tMCAO+LV-Scramble group Image collected & cropped by CiteAb from the following publication (https://pubmed.ncbi.nlm.nih.gov/29544517), licensed under a CC-BY license. Not internally tested by Novus Biologicals.
Immunocytochemistry/ Immunofluorescence: AIF-1/Iba1 Antibody [NB100-1028] -
Immunocytochemistry/ Immunofluorescence: AIF-1/Iba1 Antibody [NB100-1028] - OTULIN overexpression decreased LPS-induced microglial activation. Pure brain inflammation without neuronal death was induced by IP injection of LPS, & tissues were collected 24 h later. B The mean Iba-1 immunofluorescence intensities in the A LPS(−) group (a), the LPS(+) group (b), the LPS(+)+LV-Scramble group (c), & the LPS (+)+LV-OTULIN group (d) were quantitatively analyzed (n = 6); scale bar = 75 μm. All data are presented as the means ± SEMs; ##P < 0.01 versus the LPS(+) group; &P < 0.05 versus the LPS(+)+LV-Scramble group Image collected & cropped by CiteAb from the following publication (https://pubmed.ncbi.nlm.nih.gov/29544517), licensed under a CC-BY license. Not internally tested by Novus Biologicals.
Immunocytochemistry/ Immunofluorescence: AIF-1/Iba1 Antibody [NB100-1028] -
Immunocytochemistry/ Immunofluorescence: AIF-1/Iba1 Antibody [NB100-1028] - a Heatmap of regulated genes related to phagocytosis in the corpus callosum (CC), cerebellum (Cb) & cortex (Cx) at different ages [postnatal day (P)7, 10, 42]. b Heatmap of known priming genes in the CC, Cb & Cx at P7, P10 & P42. Asterisks highlighting genes confirmed on protein level; Representative immunofluorescence pictures of wildtype mice depicting SPP1 [red (c, e)], CLEC7a [white (c, e)] & CD206 [white (d)] expression in IBA-1+ microglia (green) in the CC (c, d), Cx (e left) & Cb (e right) at P7, P10 & P42. Scale bar 50 µm; blue = DAPI; arrow indicating IBA-1+/SPP1+ cell in Cb; N = 3–4 mice per timepoint Image collected & cropped by CiteAb from the following publication (https://pubmed.ncbi.nlm.nih.gov/31262353), licensed under a CC-BY license. Not internally tested by Novus Biologicals.
Immunocytochemistry/ Immunofluorescence: AIF-1/Iba1 Antibody [NB100-1028] -
Immunocytochemistry/ Immunofluorescence: AIF-1/Iba1 Antibody [NB100-1028] - Norgestrel significantly abrogates rd10 microglial-induced 661W cell death. (B) Representative fluorescent microscopic image of primary rd10 microglial cells (Iba1; red) in culture with 661W cells (Cone arrestin; green). Hoechst (blue) staining reveals cell nuclei. Scale bar 30μm. Image collected & cropped by CiteAb from the following publication (https://dx.plos.org/10.1371/journal.pone.0165197), licensed under a CC-BY license. Not internally tested by Novus Biologicals.
Immunocytochemistry/ Immunofluorescence: AIF-1/Iba1 Antibody [NB100-1028] -
Immunocytochemistry/ Immunofluorescence: AIF-1/Iba1 Antibody [NB100-1028] - a Heatmap of regulated genes related to phagocytosis in the corpus callosum (CC), cerebellum (Cb) & cortex (Cx) at different ages [postnatal day (P)7, 10, 42]. b Heatmap of known priming genes in the CC, Cb & Cx at P7, P10 & P42. Asterisks highlighting genes confirmed on protein level; Representative immunofluorescence pictures of wildtype mice depicting SPP1 [red (c, e)], CLEC7a [white (c, e)] & CD206 [white (d)] expression in IBA-1+ microglia (green) in the CC (c, d), Cx (e left) & Cb (e right) at P7, P10 & P42. Scale bar 50 µm; blue = DAPI; arrow indicating IBA-1+/SPP1+ cell in Cb; N = 3–4 mice per timepoint Image collected & cropped by CiteAb from the following publication (https://pubmed.ncbi.nlm.nih.gov/31262353), licensed under a CC-BY license. Not internally tested by Novus Biologicals.
Immunohistochemistry: AIF-1/Iba1 Antibody [NB100-1028] -
Immunohistochemistry: AIF-1/Iba1 Antibody [NB100-1028] - CXCR2+neutrophils are not required for microglial activation. a Representative images of Iba1 immunohistochemistry staining in lumbar spinal cord ventral horns of naïve control, control EAE, & Cxcr2 cKO EAE mice. Quantitative analysis of Iba1+ cell (b) soma area as shown in a. A total of 2338 Iba1+ cells were included in our analyses of soma size (cont naive, 222 Iba1 cells; control EAE, 1236 Iba1+ cells; Cxcr2 cKO EAE, 880 Iba1+ cells). Control naïve, n = 3; control EAE, n = 3; Cxcr2 cKO EAE, n = 3. *p < 0.05, two-tailed unpaired Student’s t test Image collected & cropped by CiteAb from the following publication (https://pubmed.ncbi.nlm.nih.gov/32019585), licensed under a CC-BY license. Not internally tested by Novus Biologicals.
Immunocytochemistry/ Immunofluorescence: AIF-1/Iba1 Antibody [NB100-1028] -
Immunocytochemistry/ Immunofluorescence: AIF-1/Iba1 Antibody [NB100-1028] - Antibody-based neutralization of Nogo-A mitigates inflammation in the injured retina.a, b Retinal gene expression analysis by qRT-PCR at 3 & 7 days after NMDA injection (0.5 nmol) & antibody treatments (2 μg/eye). Four-six mice were used per condition. 11C7 reduced the expression of major genes involved in inflammation & monocyte activation (*P < 0.05; **P < 0.01; unpaired t-test). In particular, 11C7 injection led to sustained decrease of Tnf transcript & Sprr1a mRNA, the expression of which reflects the severity of neuronal injury response. c The level of TNF alpha trimers was studied by Western Blotting the day after antibody injection. Compared with control IgG (n = 3 mice), 11C7 injections (n = 4 mice) significantly decreased the content of TNF alpha in the vitreous of injured eyes (**P < 0.01, Unpaired t-test). d TNF alpha was mainly observed in Iba1-expressing monocytes by immunofluorescence on retinal flat-mounts. Its signal was much weaker with 11C7 than in control mice. Immunofluorescent staining observations were repeated in three different mice for each antibody treatment. Scale bar in d = 100 μm. Image collected & cropped by CiteAb from the following publication (https://pubmed.ncbi.nlm.nih.gov/32029703), licensed under a CC-BY license. Not internally tested by Novus Biologicals.
Immunocytochemistry/ Immunofluorescence: AIF-1/Iba1 Antibody [NB100-1028] -
Immunocytochemistry/ Immunofluorescence: AIF-1/Iba1 Antibody [NB100-1028] - A20 silencing prevents the anti-inflammatory effects of EA after focal cerebral ischemia reperfusion. Experiments were performed 24 h after reperfusion in the ischemia/reperfusion cortex, n = 5 per group. a TNF-alpha & b IL-1 beta content was measured using ELISA. $$$P < 0.001 vs. the sham group; *P < 0.05, ***P < 0.001 vs. the MCAO group; ###P < 0.001 vs. the MCAO + EA group. The relative mRNA levels of cA1 & dGFAP were measured using RT-qPCR. $$$P < 0.001 vs. the sham group; ***P < 0.001, *P < 0.05 vs. the MCAO group; ###P < 0.001 vs. the MCAO + EA group. The activated morphology of astrocytes & microglia was demonstrated using e GFAP & f Iba-1 immunofluorescence staining (green), respectively. Yellow arrows indicate reactive astrocytes with thick cell bodies, & red arrows indicate hypertrophied activated microglia, noted by their stout, dense appearance with shorter & thicker branched projections. Scale bar = 50 μm Image collected & cropped by CiteAb from the following publication (http://jneuroinflammation.biomedcentral.com/articles/10.1186/s12974-016-0731-3), licensed under a CC-BY license. Not internally tested by Novus Biologicals.
Immunocytochemistry/ Immunofluorescence: AIF-1/Iba1 Antibody [NB100-1028] -
Immunocytochemistry/ Immunofluorescence: AIF-1/Iba1 Antibody [NB100-1028] - Norgestrel dampens pro-inflammatory microglial activity in vivo & decreases DAMP release from photoreceptors.(A) Confocal microscopic images of microglia (Iba1; red) & activated microglia (CD68; green) in the central retina from P15-P25 control & Norgestrel-fed rd10 mice. Less microglia including CD68+ microglia were observed at P15 & P20 in Norgestrel-fed mice. Hoechst (blue) staining reveals the cell layers in the retina. Scale bar 50μm. N = 3 mice per group, n = 8 sections per mouse. (B & C) Quantification of microglial number & CD68-positivity confirmed (B) significantly less microglia at P15 & P20 & (C) significantly less CD68-positivity at P20 with Norgestrel-supplementation. (D) RT-qPCR analysis of mRNA encoding (i) pro-inflammatory (M1) & (ii) & (iii) anti-inflammatory (M2) microglial markers in whole retina from P20-P30 control & Norgestrel-fed rd10 mice. Norgestrel significantly reduced pro-inflammatory & increased anti-inflammatory markers in the retina. Control column represents age-matched rd10 mice on control diet. N = 3 mice per group, n = 3 technical replicates per mouse. (E) RT-qPCR analysis of mRNA encoding danger associated molecular patterns (DAMP), (i) high motility box group 1 (HMGB1) & (ii) interleukin-1 alpha (IL-1 alpha) in whole retina from P20-P30 control & Norgestrel-fed rd10 mice. Norgestrel significantly reduced DAMP expression at P20 & P25 in Norgestrel-fed mice. Control column represents age-matched rd10 mice on control diet. N = 3 mice per group, n = 3 technical replicates per mouse. Results are presented as mean ± SEM (t-test, *p<0.05, ***p<0.005, ****p<0.0001). Image collected & cropped by CiteAb from the following publication (https://dx.plos.org/10.1371/journal.pone.0165197), licensed under a CC-BY license. Not internally tested by Novus Biologicals.
Immunocytochemistry/ Immunofluorescence: AIF-1/Iba1 Antibody [NB100-1028] -
Immunocytochemistry/ Immunofluorescence: AIF-1/Iba1 Antibody [NB100-1028] - Representative & quantitative immunohistochemistry of the peri-infarct cortex before the bregma (coordinate + 0.58) in normal WT, normal sEH KO, MCAO WT, MCAO sEH KO, MCAO with vehicle treatment & MCAO with AUDA treatment mice (n = 2 for normal groups, n = 5–6 for all groups subjected to MCAO). (A–F, S) The number of CD31-positive endothelial cells significantly increased in the sEH KO before & after MCAO & post-MCAO AUDA-treated mice, while (G–L) Note the increased phosphorylated TrkB (p-TrkB) immunoreactivity that partially co-localized with NeuN-positive neurons, particularly in the sEH KO & AUDA-treated mice (arrows) (T). The percentage of NeuN- & p-TrkB-positive double labeling in the neuronal population was significantly increased compared to that in the corresponding controls. (M–R, U–V) GFAP-positive astrogliosis & Iba1-positive microglial infiltration decreased in post-MCAO sEH KO & AUDA treatment groups relative to that in the corresponding controls. The scale bar represents 50 µm. *p < 0.05, **p < 0.01, ***p < 0.001. Image collected & cropped by CiteAb from the following publication (https://pubmed.ncbi.nlm.nih.gov/29311641), licensed under a CC-BY license. Not internally tested by Novus Biologicals.
Immunocytochemistry/ Immunofluorescence: AIF-1/Iba1 Antibody [NB100-1028] -
Immunocytochemistry/ Immunofluorescence: AIF-1/Iba1 Antibody [NB100-1028] - SCF+G-CSF treatment increases the association of Iba1+ microglia/macrophages with senile plaques & enhances uptake of 4G8+ A beta by the Iba1+ microglia/macrophages in the brains of aged APP/PS1 mice. (A) Representative confocal images illustrate the association of Iba1+ cells (green) with 4G8+ A beta plaques (red) in the brains of aged APP/PS1 mice. Blue: Nuclear counterstaining by DAPI. (B) Quantification of the percentage of Iba1+ area in/surrounding the 4G8+ A beta plaques in the brains of aged APP/PS1 mice with or without SCF+G-CSF treatment. (C) Representative 3-dimensional projected images reveal the overlapped (yellow) Iba1+ cells (green) with 4G8+ A beta (red) in the brains of aged APP/PS1 mice. The white arrows indicate the co-expression (yellow) of 4G8+ A beta & Iba1+ cells in the brains of aged APP/PS1 mice. (D & E) Representative orthographic view of z-stack images (12 z-stacks with 1μm intervals) shows the co-expression (yellow) of 4G8+ A beta (red) & Iba1+ cells (green) in the brains of aged APP/PS1 mice. (F) Quantification data present the percentage of 4G8+ A beta volume within the Iba1+ cells in the brains of aged APP/PS1 mice treated with or without SCF+G-CSF. N=4-5. Mean ± SEM. *p<0.05 by Student’s t-test. Image collected & cropped by CiteAb from the following publication (https://pubmed.ncbi.nlm.nih.gov/33269098), licensed under a CC-BY license. Not internally tested by Novus Biologicals.
Immunocytochemistry/ Immunofluorescence: AIF-1/Iba1 Antibody [NB100-1028] -
Immunocytochemistry/ Immunofluorescence: AIF-1/Iba1 Antibody [NB100-1028] - The spatial distribution & cell-type location of A20 in the rat brain after I/R. Brain sections of the ischemia/reperfusion cortex of rats in the MCAO + EA group 24 h after reperfusion. Sections were stained with double immunofluorescence labeling (a–d), which showed the upregulated expression of A20 protein (red) in neurons (green, identified using NeuN). e–h Very few of A20-positive (red) astrocytes (green, identified using GFAP) were observed. i–l A20 (red) was barely presented in microglial cells (green, identified using iba-I). Scale bar = 50 μm. 1–3 were the magnified parts from the merged images of d, h, l which more clearly showed the location relationship between A20 & neurons, astrocytes, & microglia, respectively. Scale bar = 25 μm Image collected & cropped by CiteAb from the following publication (http://jneuroinflammation.biomedcentral.com/articles/10.1186/s12974-016-0731-3), licensed under a CC-BY license. Not internally tested by Novus Biologicals.
Immunocytochemistry/ Immunofluorescence: AIF-1/Iba1 Antibody [NB100-1028] -
Immunocytochemistry/ Immunofluorescence: AIF-1/Iba1 Antibody [NB100-1028] - Increased perivascular microglia in rTg-DI rats. a–l Brain sections from 3-month-old wild-type (a–c) & rTg-DI (d–f) rats & 12-month wild-type (g–i) & rTg-DI (j–l) rats were labeled with Amylo-Glo to detect fibrillar amyloid (blue), rabbit polyclonal antibody to collagen IV to detect cerebral microvessels (red), & goat polyclonal antibody to Iba-1 to identify microglia (green). Scale bars = 50 μm. m, n Enlarged images of the highlighted regions of panels g & j, respectively. Scale bars = 10 μm. o Quantitation of microglia numbers from wild-type rats (black bars) & rTg-DI rats (gray bars) in different brain regions at 3 & 12 months of age. Data shown are mean ± SD of n = 5–6 rats per group. Compared to wild-type rats the microglia numbers were markedly elevated in rTg-DI rats & increased from 3 to 12 months of age in the measured brain regions. *P < 0.02, **P < 0.01, ***P < 0.001 Image collected & cropped by CiteAb from the following publication (https://pubmed.ncbi.nlm.nih.gov/32127016), licensed under a CC-BY license. Not internally tested by Novus Biologicals.
Immunocytochemistry/ Immunofluorescence: AIF-1/Iba1 Antibody [NB100-1028] -
Immunocytochemistry/ Immunofluorescence: AIF-1/Iba1 Antibody [NB100-1028] - Temporal activation of caspase-8 in Iba1-positive myeloid cells. Frozen tissue sections from mice upon pMCAO (n = 9) were analyzed by immunohistochemistry for expression of active caspase-8 or for expression of the microglia/macrophage marker Iba1. The contralateral side to the ischemic area was used an internal control for each animal. A small increase in body size of Iba1 positive cells was detected in the peri-infarct area at 6 h, with larger increase in cell body & numbers of cells expressing Iba1 detected at 24 & 48 h post occlusion (a). Cleaved caspase-8 was detected at low levels at 6 h, but a significant increase in expression levels was observed at 24 & 48 h in the peri-infarct area, but not at the contralateral side (a). Double immunofluorescent staining revealed that increased active caspase-8 expression was localized in Iba1-positive cells (b). Scale bar represent 100 μm in IHC images (a) & 10 μm in IF images (b) Image collected & cropped by CiteAb from the following publication (https://pubmed.ncbi.nlm.nih.gov/27566702), licensed under a CC-BY license. Not internally tested by Novus Biologicals.
Immunocytochemistry/ Immunofluorescence: AIF-1/Iba1 Antibody [NB100-1028] -
Immunocytochemistry/ Immunofluorescence: AIF-1/Iba1 Antibody [NB100-1028] - ABIN1 is colocated with A20 & NeuN & Iba-1, respectively, in the peri-infarct cortex. (a) Double immunofluorescence staining for ABIN1 & A20 in the peri-infarct cortex at 24 h after reperfusion (n = 3 rats per group). Scale bar = 50 μm. (b) Coimmunoprecipitation of ABIN1 & A20 in the peri-infarct cortex at 24 h after reperfusion (n = 3 rats per group). (c) Double immunofluorescence labeling of ABIN1 (red) & NeuN (green, neurons), Iba-1 (green, microglia), & GFAP (green, astrocytes), respectively (n = 3 rats per group). White arrows show that ABIN1 is colocalized with NeuN & Iba-1, respectively. Scale bar = 50 μm. (d) Comparisons of the percentage of ABIN1+ NeuN+ cells among ABIN1+ cells & ABIN1+ Iba-1+ cells among ABIN1+ cells in the peri-infarct cortex. ∗∗P < 0.01 compared to ABIN1+ NeuN+/ABIN1+. Image collected & cropped by CiteAb from the following publication (https://pubmed.ncbi.nlm.nih.gov/33110436), licensed under a CC-BY license. Not internally tested by Novus Biologicals.
Immunocytochemistry/ Immunofluorescence: AIF-1/Iba1 Antibody [NB100-1028] -
Immunocytochemistry/ Immunofluorescence: AIF-1/Iba1 Antibody [NB100-1028] - Differential expression analysis in cognitively normal older adults & Plcg2- inactivated mouse model identified inflammation-related pathways. The volcano plot shows significant DEGs (fold change>1.5, FDR-corrected p<0.05) in cognitively normal older adults (CN) with lower (bottom 25%; n=50; low) versus higher (top 25%; n=50; high) expression of PLCG2 (a). Gene-set enrichment analysis was performed on the DEGs (fold change>1.5, FDR-corrected p<0.05) to identify GO terms, including inflammatory response (b). The volcano plot shows significant DEGs derived from the NanoString analysis of the brains of Plcg2 inactivation (PLCG2 inact, n=3) & WT (n=3) mice (1-month male) (c). Immunostaining of microglial markers with IBA1 (green) & P2RY12 (red) & quantification of percent area in brain sections of 1-month-old male WT & PLCG2 inact demonstrate unchanged microglial morphology & area coverage (d). GO gene ontology, BP biological process, DEGs differentially expressed genes, FDR false discovery rate Image collected & cropped by CiteAb from the following publication (https://pubmed.ncbi.nlm.nih.gov/35180881), licensed under a CC-BY license. Not internally tested by Novus Biologicals.
Immunocytochemistry/ Immunofluorescence: AIF-1/Iba1 Antibody [NB100-1028] -
Immunocytochemistry/ Immunofluorescence: AIF-1/Iba1 Antibody [NB100-1028] - Representative & quantitative immunohistochemistry of the peri-infarct cortex before the bregma (coordinate + 0.58) in normal WT, normal sEH KO, MCAO WT, MCAO sEH KO, MCAO with vehicle treatment & MCAO with AUDA treatment mice (n = 2 for normal groups, n = 5–6 for all groups subjected to MCAO). (A–F, S) The number of CD31-positive endothelial cells significantly increased in the sEH KO before & after MCAO & post-MCAO AUDA-treated mice, while (G–L) Note the increased phosphorylated TrkB (p-TrkB) immunoreactivity that partially co-localized with NeuN-positive neurons, particularly in the sEH KO & AUDA-treated mice (arrows) (T). The percentage of NeuN- & p-TrkB-positive double labeling in the neuronal population was significantly increased compared to that in the corresponding controls. (M–R, U–V) GFAP-positive astrogliosis & Iba1-positive microglial infiltration decreased in post-MCAO sEH KO & AUDA treatment groups relative to that in the corresponding controls. The scale bar represents 50 µm. *p < 0.05, **p < 0.01, ***p < 0.001. Image collected & cropped by CiteAb from the following publication (https://pubmed.ncbi.nlm.nih.gov/29311641), licensed under a CC-BY license. Not internally tested by Novus Biologicals.
Immunocytochemistry/ Immunofluorescence: AIF-1/Iba1 Antibody [NB100-1028] -
Immunocytochemistry/ Immunofluorescence: AIF-1/Iba1 Antibody [NB100-1028] - Representative & quantitative immunohistochemistry of the peri-infarct cortex before the bregma (coordinate + 0.58) in normal WT, normal sEH KO, MCAO WT, MCAO sEH KO, MCAO with vehicle treatment & MCAO with AUDA treatment mice (n = 2 for normal groups, n = 5–6 for all groups subjected to MCAO). (A–F, S) The number of CD31-positive endothelial cells significantly increased in the sEH KO before & after MCAO & post-MCAO AUDA-treated mice, while (G–L) Note the increased phosphorylated TrkB (p-TrkB) immunoreactivity that partially co-localized with NeuN-positive neurons, particularly in the sEH KO & AUDA-treated mice (arrows) (T). The percentage of NeuN- & p-TrkB-positive double labeling in the neuronal population was significantly increased compared to that in the corresponding controls. (M–R, U–V) GFAP-positive astrogliosis & Iba1-positive microglial infiltration decreased in post-MCAO sEH KO & AUDA treatment groups relative to that in the corresponding controls. The scale bar represents 50 µm. *p < 0.05, **p < 0.01, ***p < 0.001. Image collected & cropped by CiteAb from the following publication (https://pubmed.ncbi.nlm.nih.gov/29311641), licensed under a CC-BY license. Not internally tested by Novus Biologicals.
Immunocytochemistry/ Immunofluorescence: AIF-1/Iba1 Antibody [NB100-1028] -
Immunocytochemistry/ Immunofluorescence: AIF-1/Iba1 Antibody [NB100-1028] - Norgestrel reduces pro-inflammatory & promotes anti-inflammatory phenotypes in rd10 microglia.(A) RT-qPCR analysis detected similar levels of mRNAs encoding progesterone receptor membrane complexes 1 & 2 (PGRMC1, PGRMC2) & all three membrane progesterone receptor isoforms, alpha, beta & gamma (mPR alpha, mPR beta, mPR gamma) in rd10 retinal microglial cells. Classical progesterone receptor (PR A/B) was not expressed. Actin, HPRT & GAPDH served as reference genes. (B) Immunolabeling confirmed the presence of these progesterone receptors in primary rd10 microglial cells. Hoechst (blue) staining reveals the cell nuclei. Scale bar represents 10μm. (C) Fluorescent microscopic images of primary rd10 microglia immunolabeled for (C) (i) markers of activation (CD68) & pro-inflammation (M1) (iNOS) & (C) (ii) anti-inflammatory activation (M2) (MRC1); after treatment with 20 μM Norgestrel over 24h. Norgestrel reduced pro-inflammatory & increased anti-inflammatory markers in rd10 microglia. Scale bar 10μm. (D) Quantification of fluorescence intensity of (D) (i) CD68 & iNOS & (D) (ii) MRC1 in primary rd10 microglial cultures following Norgestrel treatment over 24h. N = 8 mice, n = 4 technical replicates per group. (E) Nitrite concentration in the media of rd10 microglia in vitro treated with Norgestrel or vehicle over 24hr. Norgestrel significantly reduced nitrite release from rd10 microglia. N = 8 biological replicates, n = 2 technical replicates per sample. Results are presented as mean ± SEM (t-test, *p<0.05, ***p<0.005, ****p<0.001). Image collected & cropped by CiteAb from the following publication (https://dx.plos.org/10.1371/journal.pone.0165197), licensed under a CC-BY license. Not internally tested by Novus Biologicals.
Immunohistochemistry: AIF-1/Iba1 Antibody [NB100-1028] -
Immunohistochemistry: AIF-1/Iba1 Antibody [NB100-1028] - Temporal activation of caspase-8 in Iba1-positive myeloid cells. Frozen tissue sections from mice upon pMCAO (n = 9) were analyzed by immunohistochemistry for expression of active caspase-8 or for expression of the microglia/macrophage marker Iba1. The contralateral side to the ischemic area was used an internal control for each animal. A small increase in body size of Iba1 positive cells was detected in the peri-infarct area at 6 h, with larger increase in cell body & numbers of cells expressing Iba1 detected at 24 & 48 h post occlusion (a). Cleaved caspase-8 was detected at low levels at 6 h, but a significant increase in expression levels was observed at 24 & 48 h in the peri-infarct area, but not at the contralateral side (a). Double immunofluorescent staining revealed that increased active caspase-8 expression was localized in Iba1-positive cells (b). Scale bar represent 100 μm in IHC images (a) & 10 μm in IF images (b) Image collected & cropped by CiteAb from the following publication (https://pubmed.ncbi.nlm.nih.gov/27566702), licensed under a CC-BY license. Not internally tested by Novus Biologicals.
Western Blot: AIF-1/Iba1 Antibody [NB100-1028] -
Western Blot: AIF-1/Iba1 Antibody [NB100-1028] - GM1 effects on brain microglia in vivo, after peripheral administration of LPS. A Schematic representation of in vivo administration of GM1 after LPS-induced systemic inflammation in mice (N = 5 per treatment). B Representative images of Iba-1 stained microglia in the cortex of control animals infused with vehicle (CTRL) or GM1 (CTRL + GM1), & in animals treated with LPS & subsequently infused with vehicle artificial cerebrospinal fluid (LPS) or GM1 (LPS + GM1). C Immunoblot in whole brain lysates & densitometric analysis show LPS-dependent increase in Iba 1 expression. D Cortical & striatal microglia (Iba-1+ cells) cell body area quantified with MetaXpress software. GM1 administration significantly decreases cell body area in the cortex, but not in the striatum. E IL-6 protein levels in whole mouse brain homogenate. aCSF, artificial cerebrospinal fluid. Bars show mean values ± STDEV. Two-way ANOVA with Tukey’s multiple comparisons test; *p < 0.05, **p < 0.01, ***p < 0.001 Image collected & cropped by CiteAb from the following publication (https://pubmed.ncbi.nlm.nih.gov/34991625), licensed under a CC-BY license. Not internally tested by Novus Biologicals.
Immunocytochemistry/ Immunofluorescence: AIF-1/Iba1 Antibody [NB100-1028] -
Immunocytochemistry/ Immunofluorescence: AIF-1/Iba1 Antibody [NB100-1028] - ABIN1 knockdown increases proinflammatory cytokine production & microglial activation. (a-b) Levels of the ABIN1 mRNA & protein were detected 24 h after reperfusion using RT-qPCR & western blot, respectively, to confirm the efficiency of ABIN1 gene knockdown (n = 5 rats per group). (c) ELISA was used to detect the concentrations of TNF-alpha, IL-1 beta & MCP-1 in the peri-infarct cortex at 24 h after reperfusion (n = 5 rats per group). (d) Microglial morphology was observed using immunofluorescence staining for Iba-1 (green) in the peri-infarct cortex at 24 h after reperfusion (n = 3 rats per group). Scale bar = 50 μm. (e & f) Quantification of microglia process endpoints & cell & process lengths/cell (∗∗P < 0.01 compared to the sham group; ##P < 0.01 compared to the MCAO/R group). Image collected & cropped by CiteAb from the following publication (https://pubmed.ncbi.nlm.nih.gov/33110436), licensed under a CC-BY license. Not internally tested by Novus Biologicals.
Immunocytochemistry/ Immunofluorescence: AIF-1/Iba1 Antibody [NB100-1028] -
Immunocytochemistry/ Immunofluorescence: AIF-1/Iba1 Antibody [NB100-1028] - SCF+G-CSF treatment increases TREM2 expression in the Iba1+ microglia/macrophages surrounding the 6E10+ senile plaques. (A) Representative confocal images of TREM2 (red), 6E10 (purple) & Iba1 (green) triple immunofluorescence staining in the brains of aged APP/PS1 mice. Blue: Nuclear counterstaining by DAPI. (B) Representative orthographic view of z-stack images (12 z-stacks with 1μm intervals) illustrates the location & interaction of TREM2 + cells (red) & 6E10+ A beta plaques (white) in the brains of aged APP/PS1 mice. (C) Quantification data show the percentage of TREM2+ area surrounding the 6E10+ A beta plaques (within 10μm from the border of the A beta plaques) in the brains of aged APP/PS1 mice with or without SCF+G-CSF treatment. (D) Representative orthographic view of z-stack images (12 z-stacks with 1μm intervals) displays the location & interaction of TREM2+/Iba1+ co-expressing cells (yellow) & 6E10+ A beta plaques (white) in the brains of APP/PS1 mice. (E) Quantification data show the percentage of TREM2+/Iba1+ co-expression area in the total of Iba1+ area in the vicinity of 6E10+ A beta plaques in the brains of aged APP/PS1 mice with or without SCF+G-CSF treatment. N=4-5. Mean ± SEM. * p<0.05 by Student’s t-test. Image collected & cropped by CiteAb from the following publication (https://pubmed.ncbi.nlm.nih.gov/33269098), licensed under a CC-BY license. Not internally tested by Novus Biologicals.
Immunocytochemistry/ Immunofluorescence: AIF-1/Iba1 Antibody [NB100-1028] -
Immunocytochemistry/ Immunofluorescence: AIF-1/Iba1 Antibody [NB100-1028] - SCF+G-CSF treatment increases the association of Iba1+ microglia/macrophages with senile plaques & enhances uptake of 4G8+ A beta by the Iba1+ microglia/macrophages in the brains of aged APP/PS1 mice. (A) Representative confocal images illustrate the association of Iba1+ cells (green) with 4G8+ A beta plaques (red) in the brains of aged APP/PS1 mice. Blue: Nuclear counterstaining by DAPI. (B) Quantification of the percentage of Iba1+ area in/surrounding the 4G8+ A beta plaques in the brains of aged APP/PS1 mice with or without SCF+G-CSF treatment. (C) Representative 3-dimensional projected images reveal the overlapped (yellow) Iba1+ cells (green) with 4G8+ A beta (red) in the brains of aged APP/PS1 mice. The white arrows indicate the co-expression (yellow) of 4G8+ A beta & Iba1+ cells in the brains of aged APP/PS1 mice. (D & E) Representative orthographic view of z-stack images (12 z-stacks with 1μm intervals) shows the co-expression (yellow) of 4G8+ A beta (red) & Iba1+ cells (green) in the brains of aged APP/PS1 mice. (F) Quantification data present the percentage of 4G8+ A beta volume within the Iba1+ cells in the brains of aged APP/PS1 mice treated with or without SCF+G-CSF. N=4-5. Mean ± SEM. *p<0.05 by Student’s t-test. Image collected & cropped by CiteAb from the following publication (https://pubmed.ncbi.nlm.nih.gov/33269098), licensed under a CC-BY license. Not internally tested by Novus Biologicals.
Immunocytochemistry/ Immunofluorescence: AIF-1/Iba1 Antibody [NB100-1028] -
Immunocytochemistry/ Immunofluorescence: AIF-1/Iba1 Antibody [NB100-1028] - Representative & quantitative immunohistochemistry of the peri-infarct cortex before the bregma (coordinate + 0.58) in normal WT, normal sEH KO, MCAO WT, MCAO sEH KO, MCAO with vehicle treatment & MCAO with AUDA treatment mice (n = 2 for normal groups, n = 5–6 for all groups subjected to MCAO). (A–F, S) The number of CD31-positive endothelial cells significantly increased in the sEH KO before & after MCAO & post-MCAO AUDA-treated mice, while (G–L) Note the increased phosphorylated TrkB (p-TrkB) immunoreactivity that partially co-localized with NeuN-positive neurons, particularly in the sEH KO & AUDA-treated mice (arrows) (T). The percentage of NeuN- & p-TrkB-positive double labeling in the neuronal population was significantly increased compared to that in the corresponding controls. (M–R, U–V) GFAP-positive astrogliosis & Iba1-positive microglial infiltration decreased in post-MCAO sEH KO & AUDA treatment groups relative to that in the corresponding controls. The scale bar represents 50 µm. *p < 0.05, **p < 0.01, ***p < 0.001. Image collected & cropped by CiteAb from the following publication (https://pubmed.ncbi.nlm.nih.gov/29311641), licensed under a CC-BY license. Not internally tested by Novus Biologicals.
Immunocytochemistry/ Immunofluorescence: AIF-1/Iba1 Antibody [NB100-1028] -
Immunocytochemistry/ Immunofluorescence: AIF-1/Iba1 Antibody [NB100-1028] - Antibody-mediated Nogo-A blockade decreases the number of cells expressing TNF alpha without affecting the number of Iba1-positive monocytes.Cells expressing TNF alpha, Iba1, & CD68 were labeled on cryosections by immunofluorescence in 4 mouse retinae, 24 h after control IgG or 11C7 injection. a Retinal sections showed many TNF alpha-containing cells located in the inner retina, between the outer plexiform layer & the ganglion cell layer 1 day after control IgG injection. A majority of cells was positive for Iba1 & exhibited vesicular staining of the lysosomal protein CD68, indicating their active state. b The injection of 11C7 strongly attenuated TNF alpha & CD68 expression & to a lower extent the intensity of Iba1 in macrophages/microglia. c Quantification of the number of cells expressing TNF alpha & Iba1 suggesting potent & specific effects of 11C7 on TNF alpha cytokine reduction. Six sections were examined for each retina. Statistics: one-way ANOVA, Dunnett’s post hoc test, **P < 0.01; ****P < 0.0001. Scale bars = 50 μm. Image collected & cropped by CiteAb from the following publication (https://pubmed.ncbi.nlm.nih.gov/32029703), licensed under a CC-BY license. Not internally tested by Novus Biologicals.
Immunocytochemistry/ Immunofluorescence: AIF-1/Iba1 Antibody [NB100-1028] -
Immunocytochemistry/ Immunofluorescence: AIF-1/Iba1 Antibody [NB100-1028] - SCF+G-CSF treatment increases TREM2 expression in the Iba1+ microglia/macrophages surrounding the 6E10+ senile plaques. (A) Representative confocal images of TREM2 (red), 6E10 (purple) & Iba1 (green) triple immunofluorescence staining in the brains of aged APP/PS1 mice. Blue: Nuclear counterstaining by DAPI. (B) Representative orthographic view of z-stack images (12 z-stacks with 1μm intervals) illustrates the location & interaction of TREM2 + cells (red) & 6E10+ A beta plaques (white) in the brains of aged APP/PS1 mice. (C) Quantification data show the percentage of TREM2+ area surrounding the 6E10+ A beta plaques (within 10μm from the border of the A beta plaques) in the brains of aged APP/PS1 mice with or without SCF+G-CSF treatment. (D) Representative orthographic view of z-stack images (12 z-stacks with 1μm intervals) displays the location & interaction of TREM2+/Iba1+ co-expressing cells (yellow) & 6E10+ A beta plaques (white) in the brains of APP/PS1 mice. (E) Quantification data show the percentage of TREM2+/Iba1+ co-expression area in the total of Iba1+ area in the vicinity of 6E10+ A beta plaques in the brains of aged APP/PS1 mice with or without SCF+G-CSF treatment. N=4-5. Mean ± SEM. * p<0.05 by Student’s t-test. Image collected & cropped by CiteAb from the following publication (https://pubmed.ncbi.nlm.nih.gov/33269098), licensed under a CC-BY license. Not internally tested by Novus Biologicals.
Immunocytochemistry/ Immunofluorescence: AIF-1/Iba1 Antibody [NB100-1028] -
Immunocytochemistry/ Immunofluorescence: AIF-1/Iba1 Antibody [NB100-1028] - Representative & quantitative immunohistochemistry of the peri-infarct cortex before the bregma (coordinate + 0.58) in normal WT, normal sEH KO, MCAO WT, MCAO sEH KO, MCAO with vehicle treatment & MCAO with AUDA treatment mice (n = 2 for normal groups, n = 5–6 for all groups subjected to MCAO). (A–F, S) The number of CD31-positive endothelial cells significantly increased in the sEH KO before & after MCAO & post-MCAO AUDA-treated mice, while (G–L) Note the increased phosphorylated TrkB (p-TrkB) immunoreactivity that partially co-localized with NeuN-positive neurons, particularly in the sEH KO & AUDA-treated mice (arrows) (T). The percentage of NeuN- & p-TrkB-positive double labeling in the neuronal population was significantly increased compared to that in the corresponding controls. (M–R, U–V) GFAP-positive astrogliosis & Iba1-positive microglial infiltration decreased in post-MCAO sEH KO & AUDA treatment groups relative to that in the corresponding controls. The scale bar represents 50 µm. *p < 0.05, **p < 0.01, ***p < 0.001. Image collected & cropped by CiteAb from the following publication (https://pubmed.ncbi.nlm.nih.gov/29311641), licensed under a CC-BY license. Not internally tested by Novus Biologicals.
Immunocytochemistry/ Immunofluorescence: AIF-1/Iba1 Antibody [NB100-1028] -
Immunocytochemistry/ Immunofluorescence: AIF-1/Iba1 Antibody [NB100-1028] - Representative & quantitative immunohistochemistry of the peri-infarct cortex before the bregma (coordinate + 0.58) in normal WT, normal sEH KO, MCAO WT, MCAO sEH KO, MCAO with vehicle treatment & MCAO with AUDA treatment mice (n = 2 for normal groups, n = 5–6 for all groups subjected to MCAO). (A–F, S) The number of CD31-positive endothelial cells significantly increased in the sEH KO before & after MCAO & post-MCAO AUDA-treated mice, while (G–L) Note the increased phosphorylated TrkB (p-TrkB) immunoreactivity that partially co-localized with NeuN-positive neurons, particularly in the sEH KO & AUDA-treated mice (arrows) (T). The percentage of NeuN- & p-TrkB-positive double labeling in the neuronal population was significantly increased compared to that in the corresponding controls. (M–R, U–V) GFAP-positive astrogliosis & Iba1-positive microglial infiltration decreased in post-MCAO sEH KO & AUDA treatment groups relative to that in the corresponding controls. The scale bar represents 50 µm. *p < 0.05, **p < 0.01, ***p < 0.001. Image collected & cropped by CiteAb from the following publication (https://pubmed.ncbi.nlm.nih.gov/29311641), licensed under a CC-BY license. Not internally tested by Novus Biologicals.
Immunocytochemistry/ Immunofluorescence: AIF-1/Iba1 Antibody [NB100-1028] -
Immunocytochemistry/ Immunofluorescence: AIF-1/Iba1 Antibody [NB100-1028] - The presence or absence of TRPV1 influences microglial pathophysiological changes in recurrent febrile seizures mice. (A) Images of the cortex immunostained for the microglial marker Iba-1 (visualized in green FITC) & the lysosomal marker CD68/ED1 (visualized in red Alexa Fluor 594) & DAPI (visualized in blue) 5 days after rFS from wild type (WT) & TRPV1−/− mice (Scale bars: 50 μm). (B,C) Bar graph of quantification of Iba1+(B) & Iba1+ ED1+(C) in 5 days after rFS mice cortex. (D) Representative photomicrographs of different microglial morphological subtypes including resting/ramified (Ram), hypertrophic/intermediate (Inter) & round/ameboid (Amoeboid; Scale bars: 5 μm). (E) Quantification of relative percentage of microglia with different morphologies in the cortex of WT & TRPV1−/− mice (n = 6 per groups, **p < 0.01, ***p < 0.001, two-way ANOVA followed by Tukey’s multiple comparisons). (F–H) Representative Immunoblot bands (F) & densitometric analysis of Iba1 expression (G) & ED1 expression (H) were significantly increased in rFS from WT mice than in TRPV1−/− mice. Data were presented as means ± SEM, n = 6 per groups, *p < 0.05, **p < 0.01, ***p < 0.001, two-way ANOVA followed by Tukey’s multiple comparisons. Image collected & cropped by CiteAb from the following publication (https://pubmed.ncbi.nlm.nih.gov/31680864), licensed under a CC-BY license. Not internally tested by Novus Biologicals.
Immunohistochemistry-Frozen: Goat Polyclonal AIF-1/Iba1 Antibody [NB100-1028]
Immunohistochemistry-Frozen: Goat Polyclonal AIF-1/Iba1 Antibody [NB100-1028] - AD Mouse Model. FxFr:10 µm thickness 1:200. Secondary antibody AF647. Image from a verified customer review.
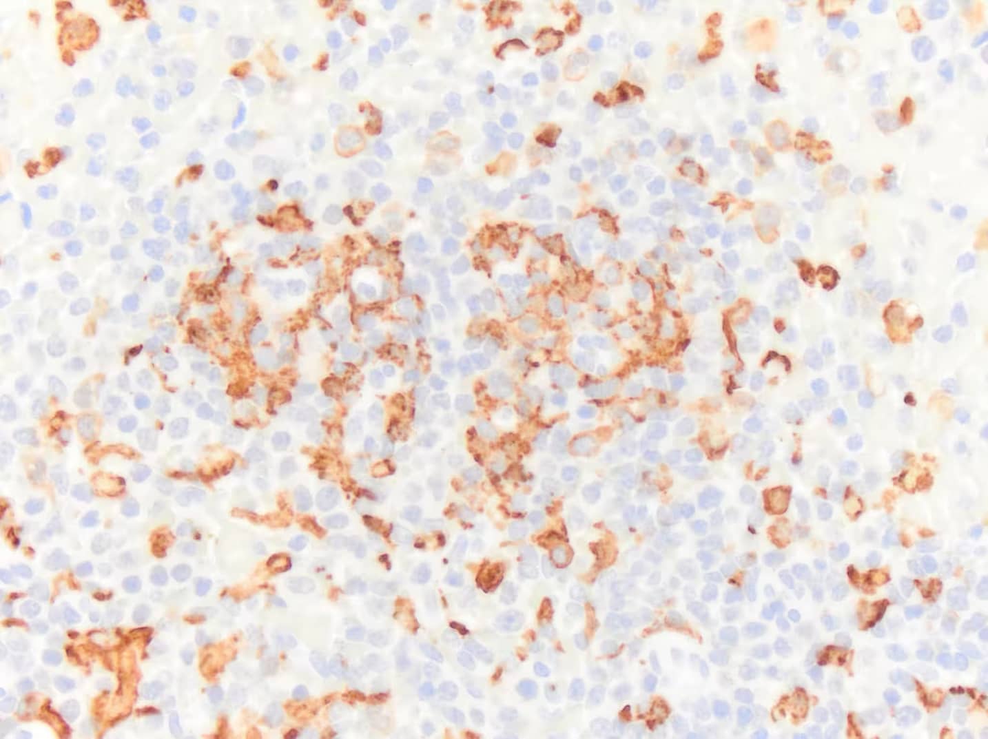
Immunohistochemistry: Goat Polyclonal AIF-1/Iba1 Antibody [NB100-1028]
Immunohistochemistry: Goat Polyclonal AIF-1/Iba1 Antibody [NB100-1028] - Pax5 and Iba1 immunoreactivity in a formalin fixed paraffin embedded classic Hodgkin's lymphoma biopsy. Formalin fixed paraffin embedded sections were deparaffinized and rehydrated. Sections then underwent heat induced epitope retrieval in a citrate-based solution for 20min in a food steamer. Sections were cooled, then blocked in phosphate buffered saline containing 0.2% Triton-X100 and 10% normal donkey serum for 1h at room temperature. Sections were then incubated with the primary antibody for 16h at room temperature. The following day slides were washed three times with PBS containing 0.05% Tween-20. Sections were then incubated with donkey anti-goat (647 conjugate) at 5ug per mL for 45min at room temperature. Slides were then washed as above and mounted with a coverslip. Image from a verified customer review.