Skip to main content

AGFG2 Antibody - BSA Free

Novus Biologicals, part of Bio-Techne | Catalog # NBP1-83213

Novus Biologicals, part of Bio-Techne
Catalog #
Availability
Size / Price
Qty
Loading...
NBP1-83213
NBP1-83213-25ul

Key Product Details

Validated by

Orthogonal Validation

Species Reactivity

Human

Applications

Immunohistochemistry, Immunohistochemistry-Paraffin, Western Blot

Label

Unconjugated

Antibody Source

Polyclonal Rabbit IgG

Format

BSA Free

Concentration

Concentrations vary lot to lot. See vial label for concentration. If unlisted please contact technical services.

Product Specifications

Immunogen

This antibody was developed against Recombinant Protein corresponding to amino acids: FGAFTNPFTAPAAQSPLPSTNPFQPNGLAPGPGFGMSSAGPGFPQAVPPTGAFASSFPAPLFPPQTPLVQQQNGSSFGDLGSAKLGQRPLSQPAGISTNPFMTGPSSSPFASKPPTTN

Clonality

Polyclonal

Host

Rabbit

Isotype

IgG

Theoretical MW

49 kDa.
Disclaimer note: The observed molecular weight of the protein may vary from the listed predicted molecular weight due to post translational modifications, post translation cleavages, relative charges, and other experimental factors.

Description

Novus Biologicals Rabbit AGFG2 Antibody - BSA Free (NBP1-83213) is a polyclonal antibody validated for use in IHC and WB. All Novus Biologicals antibodies are covered by our 100% guarantee.

Scientific Data Images for AGFG2 Antibody - BSA Free

Immunohistochemistry-Paraffin: AGFG2 Antibody [NBP1-83213]

Immunohistochemistry-Paraffin: AGFG2 Antibody [NBP1-83213]

Immunohistochemistry-Paraffin: AGFG2 Antibody [NBP1-83213] - Staining in human salivary gland and skeletal muscle tissues using anti-AGFG2 antibody. Corresponding AGFG2 RNA-seq data are presented for the same tissues.
Immunohistochemistry-Paraffin: AGFG2 Antibody [NBP1-83213]

Immunohistochemistry-Paraffin: AGFG2 Antibody [NBP1-83213]

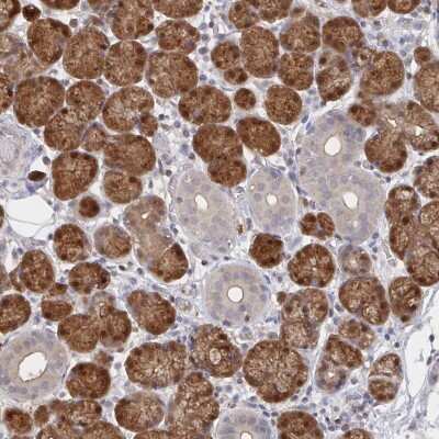
Immunohistochemistry-Paraffin: AGFG2 Antibody [NBP1-83213] - Staining of human salivary gland shows high expression.
Immunohistochemistry-Paraffin: AGFG2 Antibody [NBP1-83213]

Immunohistochemistry-Paraffin: AGFG2 Antibody [NBP1-83213]

Immunohistochemistry-Paraffin: AGFG2 Antibody [NBP1-83213] - Staining of human skeletal muscle shows low expression as expected.

Applications for AGFG2 Antibody - BSA Free

Application
Recommended Usage

Immunohistochemistry

1:2500 - 1:5000

Immunohistochemistry-Paraffin

1:2500 - 1:5000

Western Blot

0.04-0.4 ug/ml
Application Notes
For IHC-Paraffin, HIER pH 6 retrieval is recommended.

Formulation, Preparation, and Storage

Purification

Immunogen affinity purified

Formulation

PBS (pH 7.2) and 40% Glycerol

Format

BSA Free

Preservative

0.02% Sodium Azide

Concentration

Concentrations vary lot to lot. See vial label for concentration. If unlisted please contact technical services.

Shipping

The product is shipped with polar packs. Upon receipt, store it immediately at the temperature recommended below.

Stability & Storage

Store at 4C short term. Aliquot and store at -20C long term. Avoid freeze-thaw cycles.

Background: AGFG2

AGFG2 codes for a protein is 481 amino acids long and weighs approximately 49 kDa, with a short isoform with a length of 156 amino acids and a weight of approximately 17 kDa. AGFG2 codes for a protein that helps control the necleocytoplasmic transfer of proteins and RNAs, which is a process known as the Rev export pathway. Current studies are being done on several diseases and disorders relating to this gene, including xerophthalmia and bronchiectasis. AGFG2 has also been shown to have interactions with EPS15L1, EPS15, and ITSN1.

Alternate Names

ArfGAP with FG repeats 2, HIV-1 Rev binding protein-like, HIV-1 Rev-binding protein-like protein, HRBLnucleoporin, RAB-R, RABRarf-GAP domain and FG repeats-containing protein 2, Rev/Rex activation domain binding protein-related, Rev/Rex activation domain-binding protein related

Entrez Gene IDs

3268 (Human)

Gene Symbol

AGFG2

UniProt

Additional AGFG2 Products

Product Documents for AGFG2 Antibody - BSA Free

Certificate of Analysis

To download a Certificate of Analysis, please enter a lot number in the search box below.

Product Specific Notices for AGFG2 Antibody - BSA Free

This product is for research use only and is not approved for use in humans or in clinical diagnosis. Primary Antibodies are guaranteed for 1 year from date of receipt.

Loading...
Loading...
Loading...
Loading...