Skip to main content

AG-2/AGR2 Antibody - BSA Free

Novus Biologicals, part of Bio-Techne | Catalog # NBP2-27393

Novus Biologicals, part of Bio-Techne
Catalog #
Availability
Size / Price
Qty
Loading...
NBP2-27393SS
NBP2-27393

Key Product Details

Validated by

Knockout/Knockdown, Orthogonal Validation

Species Reactivity

Validated:

Human, Mouse

Cited:

Human, Mouse

Applications

Validated:

Immunohistochemistry, Immunohistochemistry-Paraffin, Immunohistochemistry-Frozen, Western Blot, Immunocytochemistry/ Immunofluorescence, Simple Western, Immunoprecipitation, Knockdown Validated

Cited:

Immunohistochemistry-Paraffin, Immunohistochemistry-Frozen, Western Blot, Immunofluorescence, Immunoprecipitation, IF/IHC

Label

Unconjugated

Antibody Source

Polyclonal Rabbit IgG

Format

BSA Free

Concentration

1.0 mg/ml

Product Specifications

Immunogen

This antibody was developed against synthetic peptides corresponding to amino acids 55-72 of human AGR2.

Specificity

Researchers are encouraged to use the sequence and accession number (NP_006399.1) that were used to design the peptide immunogen in order to assess potential cross-reactivity of the antibody to their species of interest. The AGR2 antibody is specific to AGR2 and does not recognize AGR3 (Verma et al, 2012)

Clonality

Polyclonal

Host

Rabbit

Isotype

IgG

Description

Novus Biologicals Rabbit AG-2/AGR2 Antibody - BSA Free (NBP2-27393) is a polyclonal antibody validated for use in IHC, WB, ICC/IF, Simple Western and IP. Anti-AG-2/AGR2 Antibody: Cited in 18 publications. All Novus Biologicals antibodies are covered by our 100% guarantee.

Scientific Data Images for AG-2/AGR2 Antibody - BSA Free

Simple Western: AG-2/AGR2 Antibody [NBP2-27393]

Simple Western: AG-2/AGR2 Antibody [NBP2-27393]

Simple Western: AG-2/AGR2 Antibody [NBP2-27393] - Analysis using the Azide Free version of NBP2-27393. Simple Western lane view shows a specific band for AGR2 in 0.5 mg/ml of MCF-7 lysate. This experiment was performed under reducing conditions using the 12-230 kDa separation system.
Knockdown Validated: AG-2/AGR2 Antibody [NBP2-27393]

Western Blot: AG-2/AGR2 Antibody [NBP2-27393]

AG-2-AGR2-Antibody-Knockdown-Validated-NBP2-27393-img0013.jpg
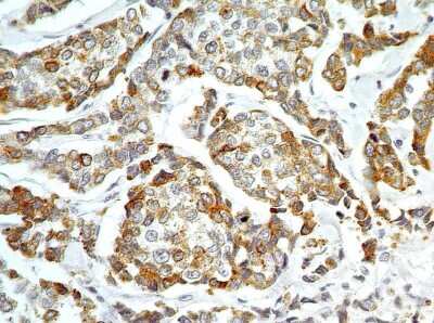
Immunohistochemistry-Paraffin: AG-2/AGR2 Antibody [NBP2-27393]

Immunohistochemistry-Paraffin: AG-2/AGR2 Antibody [NBP2-27393]

Immunohistochemistry-Paraffin: AG-2/AGR2 Antibody [NBP2-27393] - Analysis using the Azide Free version of NBP2-27393. Staining of human adenocarcinoma of the colon stained with AGR2 antibody (2-5 ug/ml), peroxidase-conjugate and DAB chromogen. Staining of formalin-fixed tissues is enhanced by boiling tissue sections in 10 mM sodium citrate buffer, pH 6.0 for 10-20 min followed by cooling at RT for 20 min.

Applications for AG-2/AGR2 Antibody - BSA Free

Application
Recommended Usage

Immunocytochemistry/ Immunofluorescence

reported in scientific literature (PMID 22945649)

Immunohistochemistry

reported in scientific literature (PMID 22945649)

Immunohistochemistry-Frozen

1:20-1:1000

Immunohistochemistry-Paraffin

1:100~

Immunoprecipitation

1:10-1:500

Simple Western

1:50

Western Blot

1:100
Application Notes
In Simple Western only 10 - 15 uL of the recommended dilution is used per data point.
See Simple Western Antibody Database for Simple Western validation: Tested in MCF-7 lysate 0.5 mg/mL, separated by Size, antibody dilution of 1:50, apparent MW was 22 kDa.

Formulation, Preparation, and Storage

Purification

Protein G purified

Formulation

PBS

Format

BSA Free

Preservative

0.05% Sodium Azide

Concentration

1.0 mg/ml

Shipping

The product is shipped with polar packs. Upon receipt, store it immediately at the temperature recommended below.

Stability & Storage

Store at 4C short term. Aliquot and store at -20C long term. Avoid freeze-thaw cycles.

Background: AG-2/AGR2

hAG-2 and hAG-3 are recently discovered human homologues of the secreted Xenopus laevis proteins XAG-1/2 (AGR1 and AGR2) that are expressed in the cement gland, an ectodermal organ in the head associated with anteroposterior fate determination during early development (1). Although the roles of hAG-2 and hAG-3 in mammalian cells are unknown, both proteins share a high degree of protein sequence homology and lie adjacent to one another on chromosome 7p21.

Long Name

Anterior Gradient 2 Homolog

Alternate Names

AG2, AGR2, GOB-4, HPC8, PDIA17

Gene Symbol

AGR2

Additional AG-2/AGR2 Products

Product Documents for AG-2/AGR2 Antibody - BSA Free

Certificate of Analysis

To download a Certificate of Analysis, please enter a lot number in the search box below.

Product Specific Notices for AG-2/AGR2 Antibody - BSA Free

This product is for research use only and is not approved for use in humans or in clinical diagnosis. Primary Antibodies are guaranteed for 1 year from date of receipt.

Loading...
Loading...
Loading...
Loading...